Yvka+manžílek Míša+naše holčička Michaelka
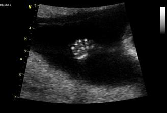
Tak se na nás snad už štěstí konečně usmálo a na IVF už nepůjdeme....... Měli jsme těsně před stimulkou na 2.IVF a čekali na mrchu. Místo toho jsme 15.3.2009 objevili naše krásné //. 17.03.2009 bylo na UTZ vidět plodové vejce, cca 2,7mm, další kontrola 31.3.2009. Tam už byl vidět náš bobeček, 6,3mm veliký a srdíčko mu bilo jako o závod. Dostali jsme krásné fotečky a jsme moc šťastní. Tak konečně je 23.4.2009 a jsme i s taťkou na dalším UTZ, jsme 9+6. Paní doktorka z nás měla velkou radost, říkala, že tak mrskající se miminko už dlouho neviděla. Velikostí odpovídáme úplně na den, máme už těhu průkajdu a dneska jsem se objednala na časný genet. skr. k MUDr. Břešťákovi. Termín porodu je 20.11.2009 a manža má narozky 24.11. 2009. No a já je mám zítra, takže super dnešní dárek. Tak dneska 11.5. 2009 jsem byla u zubaře pro razítko do těhu průkajdy a už ho mám. Další den 12.5.2009 jsme byli u mé praktické paní doktorky, natočila mi EKG a dala nám razítko do těhu průkajdy. Dneska 14.5.2009 jsme byli s manžílkem na genetickém screeningu. Pan doktor a sestřička byli moc hodní. Sestřička mi nabrala krev, vůbec jsem nezaznamenala, že je po odběru, je moc šikovná. Výsledky budou do 14-ti dnů. Pan doktor nám ukázal miminko v celé své kráse, jsme obříci, máme skoro 8 cm, NT 1,8 mm. Dle pana doktora jsme o 6 dnů větší a odpovídáme 13+5 (dle MS 12+6), tak nám upravil termín porodu na 14.11.2009. Slyšeli jsme tlukot srdíčka a bylo to nádherné, 160 úderů /min.. Pan doktor nám dal fotečky na CD, tak jsme moc šťastní. Jelikož nám pan doktor posunul termín porodu o týden dříve, tak jsme se byli 19.05.2009 zaregistrovat k porodu do FN Motol. Dneska 21.05.2009 jsme byli na kontrole a dostali jsme fotečky obličejíčka našeho mimíska. Je to celý tatínek. Mimísek na nás koukal a pěkně skotačil, paní doktorka nám ukázala jak má právě nožičku u hlavičky. Na den dětí 01.06.2009 jsme se dozvěděli, že výsledky screeningu jsou v pořádku. Jsme moc rádi. Dne 04.06.2009 jsem si volala na výsledky krevních triple testů a sestřička mi sdělila, že jsou v pořádku. Jsme s taťkou moc šťastní. Tak dneska 11.06.2009 jsme byli na kontrole u naší paní doktorky a s taťkou jsme byli zvědaví, jestli se nám už ukáže holčička nebo chlapeček. Paní doktorka se moc snažila, říkala, že by to viděla na holčičku, ale že opravdu spíše tipuje, protože miminko nechtělo roztáhnout nožičky. Tak uvidíme, jestli nám to řekne pan doktor na velkém UTZ, kam se objednáme. Bylo vidět, jak si miminko podpírá ručičkou bradičku a paní doktroka nám udělala nějaké fotečky. Jsme s tatínkem moc rádi, že se má miminko fajn. Dneska končíme 4. měsíc. Po měsíci -7.7.2009 jsme konečně zase viděli naše miminko. Paní doktorka nám ukázala močový měchýř, srdíčko, žaludek. Miminko se mrskalo, dokonce nám zamávalo. Paní doktorka nám řekla, že na 90% čekáme holčičku!
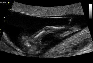
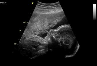
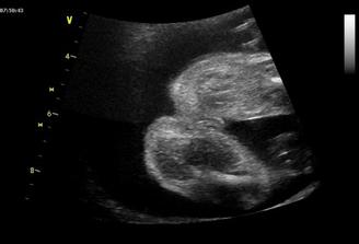
14.7.2009 jsme byli s taťkou na velkém UTZ (22+3) u pana MUDr. Břešťáka. Pan doktor byl fajn, ukázal nám miminka srdíčko, frekvenci srdíčka, tok krve do srdíčka a do aorty, játra, ledviny, močový měchýř..., dokonce i základy zoubků. Změřil všechny orgány a tělíčko a byl moc spokojený, vše je tak, jak má být. Nakonec nám potvrdil, že čekáme HOLČIČKU! Mrskala s sebou , chvíli trvalo, než pan doktor mohl změřit srdeční frekvenci. Vážíme 492g. Jsme s tatínkem moc šťastní, že je malá v pořádku. Dneska objednáme kočárek casualplay s4. Tak dneska 26.7.2009 jsme se byli s tatínkem podívat na naši holčičku na 4D UTZ. Udělali nám dvd a fotečku. Malá se nejdřív moc nechtěla ukazovat, schovávala se a točila se k nám zády. Pak si ale dala říct a krásně se nám ukázala. Je moc hezká, je to celý tatínek. Má jeho nosánek, pusinku, bradičku. Byla to sranda, zívla si a dala si nožičku k pusince, pak se pošťourala v oušku. A je to malá čertice, mrskala s sebou pěkně. Když jsme si jí doma prohlíželi na dvd, tak taťkovi dala pořádný kopanec, až vyskočil. 4D UTZ je fajn a my jsme spokojení. 4.8.2009 jsem byla na testu na cukrovce, ble. Ale nebylo to tak hrozný a máme splněno. 5.8.2009 jsme volali na vysledky jak nám cukrovka dopadla a výsledky jsou v pořádku, jupíí. Hnedka jsem to oslavila 2x koblihou a 2x croisantem. 11.8.2009 jsme byli na kontrole, malinká je v pořádku a je otočená hlavičkou dolů. Paní doktorka říkala, že je šikovná a že si myslí, že už takhle zůstane. Tak konečně uběhl měsíc a kousek a my se jdeme s taťkou podívat na naši holčičku. Paní doktorka říkala, že bude Michalku měřit, jsme totiž 32. týden. Paní doktorka malou změřila, odpovídáme úplně na den 31+3 a vážíme 1445g. Paní doktorka říkala, že Michalka je krásně proporční miminko, úplně podle tabulek a že by měla při porodu mít okolo 3500g. Michalka je moc šikovná, je stále hlavičkou dolů. Jupííí, jsme s tatínkem moc rádi. 01.10.2009 jsme byli u paní doktorky na další kontrole a Michalka se má dobře, krásně jí tlouklo srdíčko a je stále hlavičkou dolů, jupíí. Dostali jsme formulář na mateřskou a od 09.10.2009 na ní nastupujeme, jůůů, toto letí. Tak dneska je 13.10.2009 a byli jsme na poslední kontrole u naší paní doktorky, malá se má dobře, hlavičkou je stále dolů a váží 2300g, je to pěkný cvalík. Máme s tatínkem radost. CS máme 2. Už budeme chodit na kontroly do porodnici v Motole, kam se musíme objednat. 27.10.2009 jsem byla poprvé v poradně v Motole, paní doktorka nás vyšetřila, CS asi 4, pak jsme poslouchaly srdíčko naší malé princezny, zrovna cvičila spartakiádu. Kontrola v pořádku. Další kontrola bude i s monitorem, tak se moc těšíme. Dnes 03.11.2009 jsem byla v poradně v Motole, poprvé nám dělali monitor a malá se tak vrtěla, až mi sklouzla sonda a musela jsem si jí tam pak držet. Malá měla výsledky monitoru v pořádku, tak jsme moc s tatínkem rádi. Paní doktorka mě dnes nevyšetřovala, až zase na příští kontrole. Dneska je 10.11.2009, náš další den, kdy jsme se vydali do poradny. Natočili nám monitor, výsledky monitoru jsou v pořádku a paní doktorka mě i vyšetřila. CS 4, čípek zkrácený, měkký, hlavičkou je hezky nastavená. Je to naše malá šikulka a už se na ní s tatínkem móóc těšíme!!!



























