💜💜štěstí💜💜
Na začátek uvedu, že by mě ani ve snu nenapadlo, že nebudu moct přirozeně otěhotnět. Ještě na střední jsem se i přes braní HA bála, že budu těhotná, kdybych tenkrát tušila 😀 Po pár neúspěšných vztazích a po vyblbnutí se jsem našla toho pravého a po cca roce jsme se začali snažit o mimi. Zprva to snažení bylo o tom, že jsem vysadila HA a zkrátka jsme se nechránili, ale už jsem po pár měsících začala být nervózní. Jelikož jsem tenkrát chodila na gyndu, která byla zíroveň i carem, tak jsem to začala s dr řešit, udělal hormonální profil, ale to, že ve 23 letech jsem měla špatné amh nijak moc neřešil, stejně tak špatné hodnoty štítné žlázy a Prolaktin tam vůbec nebyl. Na co jsem se nezeptala, to jsem nevěděla, no a já nevěděla na co se mám ptát 😀 Ještě zmíním že od 19 nemám jeden vejcovod z důvodu prodělání velikého zánětu, který i přes mé prosby neřešila moje úplně první gyndařka. Tak, dr v caru mi delal cca rok ultrazvuky, zjišťoval, kdy bude ovu, naordinoval styk a vyžádal si 900,- Já naivně řešila, že takový má být postup.Po několika měsících mi už ale docházela mi trpělivost, přirozeně. Ještě stihli spermiogram a v listopadu jsme letěli do jiného caru, naštěstí cary máme ve městě dva. Pak jsem zjistila, že tehdejší dr řešil rozvod a tím pádem na pacientky zkrátka kašlal, ale to mě nezajímalo, neměla jsem už důvěru. V novém centru jsme inseminaci odmítli s tím, že jdeme rovnou do ivf. První stimulace měla být v lednu 2016, ale vyskytly se komplkace s hormonem Prolaktin, takže odklad o pár měsíců a já měla nervy a vztek, kdybych věděla, že tím to jen začíná. Taak v dubnu první ivf. Ve vzduchu plno obav plno strachu a naděje, a to všechno ale vystřídal fakt, že nereaguju správně na stimulaci lékem Puregon. Vytvářelo se mi málo folikulů až tak málo, že to chtěli stopnout, ale přišli by jsme o jeden z části hrazený pokus od pojišťovny a to jsme nechtěli, když už jsme došli až sem. Po punkci byly 4 folikuly a jen 3 vajíčka z toho 2 embrya. Cca 2 dny před transferem šok, že bohužel transfer nebude, protože se obě embrya přestala vyvíjet. Když mi asi po 5 minutách od telefonátu došlo, že to celé bylo na nic, propukla jsme v pláč, ale takovou bezmoc jsem ještě nikdy necítila, ještě teď, kyž to píšu mám nakrajíčku. Nevím jak, ale druhý den to opadlo a jako by se nic nestalo. Šli jsme do car s tím co bude dál. Dle dr je další postup takový, že mi dají nejvyšší dávky hormonů. no když měla být druhá stimulace, musela se odložit o měsík kvůli cystě, nasadili mi na jeden měsíc HA jako pojistku, aby se mi cysta neudelala zase, kdyby to neudělali a já měla zase cystu, museli by jsme znova žádat o schválení léků u poj. Pojišťovna je schvaluje na 3 měsíce, pokud se nevyzvednou musí se žádat znova a na schálení mají cca 30 dní. To jsme si dovolit nemohly celé by se to rapidně oddálilo. Nakonec cysta zmizela a my mohli začít druhý pokus. Píchala jsem si kolem 300 jednotek Gonalu a dalších preparátů. Během druhé stimulace se mi honilo hlavou, jak asi budu reagovat teď. Reakce byla lepší, ale žádný zázrak, po punkci 6 folikulů a 3 vajíčka, čili stejný počet jako při prvním ivf. Propadla jsem panice. 5 dní kultivace pro mě byly peklo. Nakonec se stalo to čeho jsem se obávala nejvíce. V den transferu mi volal sám dr s tím, že ho to mrzí, ale že embrya opět nevydržela. Když jsem položila telefon zase mi cca 3 minuty trvalo, než mi to došlo. Ale když mi to došlo, bylo to hrozný, hysterický pláč, nepopsatelná bezmoc.Vyplácali jsme druhý pokus a nic z toho nebylo, úplně zbytečný. Bylo ještě ráno, leželi jsme s přítelem v posteli a přítel mě hladil věděl, že nemá nic říkat, jen mě hladil. Ten den jsem chodila jak bludná duše a byla bez nálady. Druhý den jsme se zbalili a jeli na 3 denní dovolenou jen tak a blind. No když už to pominulo a byly myšlenky na to co bude dál, zavolala jsem do caru mému dr a ten mi sdělil naše možnosti : 1) minimální stimulace- paradoxně telo může vytvořit více vajíček- pojišťovna nehradí, ale stojí to jako jedno hrazené ivf což je kolm 16 tis. Šance né o moc vyšší než byly teď s tím, že opět nemusí dojít na transfer,ale neubyde nám pokus od poj, jediné co ubude, tak 16 tis a další kus našich sil. 2) ivf s darovanými vajíčky - garance min 2 embrii v perfektnim stavu, možných transferu do dělohy. Pro nás vítězí bod číslo 2) s mými vajíčky nechci už počítat a nepočítám🙂 Vidím v darovaných výhodu, i když by mimi nemělo ze mě nic po genové stránce, oni už dnes vyberou dárkyni, tak šikovně, že mi bude potomek i podobný. Hlavně, že já ho odnosím, porodím a vychovám 🙂 Tak to beru. Nyní máme konec prázdnin a máme pauzu od všeho kolem umělého oplodnění. Pauza potrvá min do Vánoc. Během tohoto volna si necháme udělat genetiku a imunologické vyšetření po domluvvě s dr. Viděla jsem zde na koníku spoustu případů, kdy žena měla zasebou i 10 neúspěšných pokusů a nelze říci, že já se 2 neúspěšnými bych měla cítit menší trápení, každá to vnímáme jinak. Jediné co vím, že nikomu na světě, ani nejhoršímu nepříteli nepřeju, aby někdy musel řešit podobnou situaci. Jediné za co jsem vděčná, že to, že žiju v této době, kdy je možné mít dítě i jinými metodami, díky bohu za ně!! Jinak nevím. Přeji všm ženám hodně sil, pokud řeší podobný problém.
Rok 2017 v lednu mi našel car dárkyni vajíček s tím, že vše proběhne v únoru. Mezitím jsme dostali výsledky z imunologie a v krvi mám zvýšené NK buňky, což jsou buňky které vypuzují vše cizí z těla, tedy embrya. Takže mi byly předepsány nitrožilně intralipidové infuze. První týden před ET druhá týden po a posledni týden po pozitivním tt. No a teď k únoru, první infuze byla za mnou vse jsme zaplatili, dárkyni odebrali vajíčka a druhý den na Valentýna mi volala dr, ze má špatnou zprávu. Z 28 odebraných folikulů nebylo ani jedno vajíčko. Takže mi najdou novou dárkyni, a taky že našli, asi za hodinu mi volali, že už jí maji a odsouvá se to celé na březen 2017. ET je naplánovaný na 11.3.2017. Transfer probehl v poradku a ja doufsla, ze ted uz to konecne vyjde. Cekani do testu bylo umorne, po 11.dnech jsem to uz nevydrzela a udelala jsem ho. Nechala ho lezet v kuchyni na stole a bala jsem se na nej jit podivat, kdyz jsem se odhodlala nemohla jsem uverit!! Takovy dalnice!!! Hned jsem zacala bulit 😀 byl to krasny pocit po tom vsem a stale jeste je👶🏻 Byla to dlouha cesta a vime, ze jeste zdaleka nekonci.....




























































































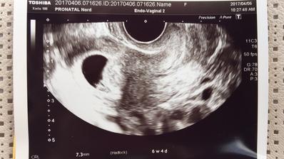
@dagmarka13 ahojky zitra me ceka prvni uktrazvuk. Ted jsem delala jeste jeden kontrolni test jestli neslabne a ok. Zaludek zlobi, bricho obcas da o sobe vedet tak beru na doporuceni dr magnesium a taky lehke spineni, ale to by melo byt v tom 6tt v poradku. To vis strach mam, ale uz se chci radovat ❤️🤰🏻
@kathlinkata Člověk se bude bát asi uz stále.. Ale To je normalni🙂 Držím pastičky a pak dej vědět jak dopadl ultrazvuk .. 🙂 :-*
@dagmarka13 juju dam 😊😊🌸
@verryk dekuji moc. Dnes byla kontrola a vse v poradku. Mi i je o 3 dny napred tedy 11+0 a mela sem byt 11+4
@kubuska nebreec☺️🤣 kdyby nebyla moznost ze si koupime vajicka, tak bych tehotna nebyla nikdy jsem za to strasne vdecna ❤️ taky gratuluju m tehu👶🏻
Moc gratuluji k chlapeckovi ty nase bojovnice😍😍😍
Ahoj.Dnes jsem na tebe myslela...jak se máš a jak se cítíš... 🙂