A z tej lásky...bude SAMUELKO 🙂
Jedného anjelika už máme v nebíčku a ten nás stráži...
°°°°Ďalšieho sme sa dočkali neuveriteľne rýchlo,dva cykly po revízii sme zistili,že sa niečo...neustála únava a trápenie žalúdka...tak dva dni po vynechaní som si vyskúšali testík a dve čiarky naskočili rýchlo ako blesk...nemohla som uveriť...a nastali obavy...ten strach...
°°°°po zistení,že čakáme dvojčatká som bola úplne bez slov...na ďalšej kontrole bolo už však len jedno,to druhé malo "syndrom mizejíciho dvojčete",ale pevne verím,že ten náš prcek to zvládne a bude nám robiť radosť...po tých mojich pesimistických obavách som sa konečen dočkala...
°°°°15.1.som maminke krásne ukázalo,že mala zbytočné obavy,mám 3cm,som 10+1tt,pekne som zamávalo ručičkami,urobilo zopár kotrmelcov,aj keď maminke to moje divočenie sposobuje migrénu a nízky tlak,ale určite to zvládne...dievčatám so srpnoviek moc ďakujem za podporu 🙂 a tiež mojim dvom spriazneným dušiam 🙂
°°°°ďalšia poradňa: 12.2.dopadlo dobre,krvné výsledky sú na jedničku,miminko som nevidela,pán dr.ma skontroloval len pohmatom,ale povedal,že deloha zodpovedá mojím tt 🙂
°°°°26.2.2009 ma čaká odber na tripple testy,12.3.poradňa a potom veľký ultrazvuk priamo v Gennete 🙂 pán dr.tam posiela všetky svoje pacientky.Tak uvidíme ako sa darí malému slniečku,veríme,že dobre,aj keď sa na mňa občas hnevá,pretože mi je stále zle...
°°°°25.2.2009 som bola na EKG,asi je to v poriadku,v tých doktorských skratkách sa nevyznám 🙂
°°°°28.2.2009 00:10hod som bola hospitalizovaná s velkými bolesťami v bříšku,krvácením kvuli hematomu ☹ poriadne nás to vystrašilo,takže už zostávam doma a žiadna námaha ani stres nehrozia...už sme tu týždeň,tak snáď nás zajtra 6.3.pustia domkov a bude to v poriadku.Jediné,čo ma potešili bolo,že som videla prcka-no a je to teda divoch 🙂
°°°°ďalšia skvelá správa-dnes 5.3. sme si volali na výsledky triple testov-sú NEGATÍVNE!!!!
°°°°30.3. 12:00hod ideme na veľký ultrazvuk do Gennetu 🙂
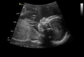
Tak dnes sme s budúcim tatinkom boli v slávnom Gennete a obaja sme odtiaĺ odchádzali s nadšením,pán docent bol skvleý,veĺký profesionál a odborník a hlavne nás ubezpečil,že malý je v poriadku a už teraz je to poriadny chlapisko 🙂
°°°°6.3.tak nás pustili domkov na priepustku,musíme sa ukázať 13.3.na kontrolu,sice nám zistili kvasinky,ale dali nám vagin.lieky na týždeň,tak verím,že piatok 13teho bude šťastný 🙂,inak na kontrolnom uzv sme videli,že hematom je už polovičný,čo je úžasné,pani doktorka mi prcka zase zmerala a ukázala orgány,keď sa dostala ku stehennej kosti a močovému mechúru,tak sme zistili,že máme nestydu 🙂,pani dr.sa smiala,že už chápe,prečo tak rozťahuje nožičky,ukazuje nám totiž hrdo,na čo je pyšný 🙂 °°°°budeme mať CHLAPČEKA 🙂°°°°
tak už máme vybraný a skoro objednaný kočiarik pre princa,už nám chýba len postieĺka a nejaké drobnosti,ale na to máme ešte čas 🙂
zajtra 19.5.2009 nás čaká ultrazvuk u novej pani doktorky v Motole,ktorá na nás bude dohliadať až do porodu 🙂 som zvedavá,koľko ten náš prcek už váži 🙂,kilá pekne rastú a bruško tiež 🙂...sme zaevidovaný v Motole 🙂
21.5.nás čaká poradňa,uvidíme,ako dopadol test na tehotenskú cukrovku...tak a test na cukrovku vyšiel ukážkovo NEGATÍVNE 🙂 a poradňa dopadla dobre 🙂
11.6.nás čaká ďalšia poradňa a veĺký ultrazvuk,aby sme vedeli,koľko ten náš macík váži 🙂 tak Samko je hlavičkou dole,váži 1598g a všetko je v poriadku,zobrali nám krvičku na protilátky,tak verím,že to dopadne dobre,čípok nezmenený a hrdlo stále uzatvorené 🙂už teraz mi dáva slušné kopance a je to niekedy až neuveriteĺné,čo predvádza,keď naňho hovorí tatino 🙂
26.6.09 hospitalizácia v nemocnici-príšerne krče v brušku,čípok skrátený na 0,5cm a hroziaci predčasný porod-holt som to prehnala s upratovaním a preťažovaním a tá moja neposlušná deloha sa tak ohlásila...prepustili ma 30.6.09,nič mi nezistili,ani streptokoka nemám,mám vydržať ešte dva týždne a potom už možem porodiť 🙂
2.7.ďalšia poradňa a nástup na materskú 🙂-vystavená materská
9.7.posledná poradňa-všetko OK,CS2 a už sa mám hlásiť do porodnice 🙂,tak to som zvedavá,koľko u mňa ten náš poklad bude chcieť zostať 🙂










































