novotnacci
10. led 2011
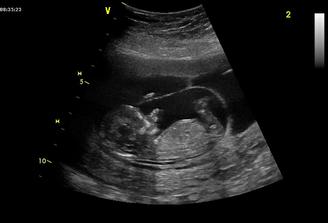
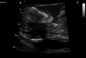
Naše dvojčátka
novotnacci
autorDěkujéééém :o))
Odpověz
10. led 2011
Gratuluju jsou to nádherný fotky a nádherný miminka ať dělají jen a jen radost a moc v bříšku nezlobí
Odpověz
10. led 2011
novotnacci
autor@marcela298 Moc moc moc ti děkuji 🙂 A copak ty? Nějaké novinky?
Odpověz
10. led 2011
zatim ne přes ovulaci jsme poctivě pracovali tak uvidíme a pokud to nevyjde tak 1.unora operace
Odpověz
10. led 2011
novotnacci
autor@marcela298 Držím ti moc moc moc palce, abys už na operaci nemusela a na testíku uviděla ty nejkrásnější dvě čárky na světě. Posílám ti těhu bacílky: tfuj, tfuj, tfuj
Odpověz
10. led 2011
děkuju moc monitor jsem oblízla tak snad to pomůže
Odpověz
10. led 2011
novotnacci
autor@ameli to buclatější je po mamince 🙂
Odpověz
12. led 2011





krásný dětičky 🙂