Co znamená šedivý povlak po extrakci zubu?
16. srp 2025
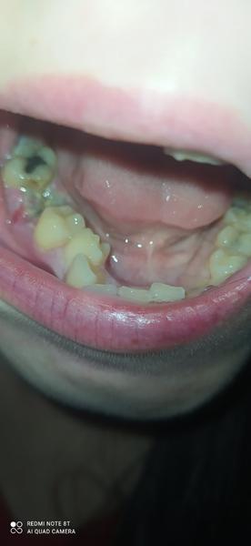
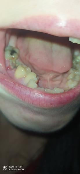
Ahojky,byla jsem ve čtvrtek na trhání stoličky šestky dole, druhý den jsem měla horečku bolesti kloubů,bolesti v zádech a okolí vaječníku + záblesky před očima. Ale dneska v sobotu jsem si všimla na zubů Šedivého povlaku,že tam není krevní sraženina. Tak se bojím zánětu.
@1pomnenka
Normální, vždyť je to 2 dny od vytržení, nevím, co jsi čekala. Pokud se ti něco nezdá, škubání v dásni, neustálá bolest, zajeď si na zubní pohotovost. Bolest okolo vaječníku rozhodně nesouvisí s vytržením zubu.
@1pomnenka Já právě nevěděla jestli tam má být krevní sraženina několik dní nebo jen jeden den, a tohle šedivý se bojím jestli to není zánět
Tohe je strup rozmočený slinama. Taky mě to minule vyděsilo, ale přímo rána po vytržení zubu vypadá ok.




Normální, vždyť je to 2 dny od vytržení, nevím, co jsi čekala. Pokud se ti něco nezdá, škubání v dásni, neustálá bolest, zajeď si na zubní pohotovost. Bolest okolo vaječníku rozhodně nesouvisí s vytržením zubu.