Je uvnitř dásně uzlina? Zkušenosti a rady.
5. dub 2023
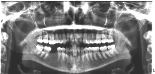
Holky pokud se nekdo vyzna muzete mi zkouknout ten rengen??
Byla jsem na zubni hygieně a pak u zubare na kontrole, a rikala jsem mu, ze mam na strane jak mi chybi sestka pod sedmickou mozna uz skoro pod osmickou na dasni takovej hrbolek….jazykem to necejtim jen kdyz prejedu prstem…jak kdyby uzlinka podobny tomu to je, takova mekka cast dasne pohybliva mozna do 5mm…ale je to zenvnitr ne zvenku dasne…je to melky hybe se to…doktor mi na to nic nerekl na druhy strane mi odvrtal kaz, a prej kontrola dalsi za pul rok…
Mate nekdo s tim zkusenosti? Jsou vubec uvnitr na dasni nejaky uzliny? Vim, ze jsou pod celisti a tak ale jakoze pod zubem?
Diky za kazdou radu!
N.

