Způsobuje vytržení zubů zdravotní rizika jako rakovina?
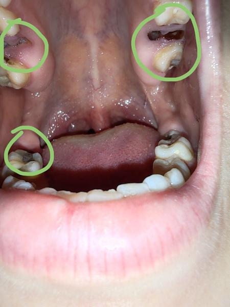
Dobrý den. Jsem 3 roky po porodu své dcery kde mi totálně zubařka doprasila zuby... Zubařka přes 50let mi vytrhla 3 zuby jelikož byli dětské tak jsem řekla že jo v té době my bylo 24let ale bohužel na snímku byli vidět že tam jsou zuby ale bohužel už nevyrostly po 2 letech mi strašně bolela místa kde zubařka trhala no a tady je výsledek...Proč nejdu k zubaři protože se jich bojím ale i to že nikdo v blízkosti nepřibírá a nemám jezdit na to ať někam 100km k zubaři...A teď mi psala kamarádka že její babička po vytržení zubu dostala rakovinu nebo laukemii a já se teď docela bojím když takhle ty zuby už mám přes 3 roky..Foto viz komentáře..

Nevěřím, že vytržení zubu bylo příčinou rakoviny. Zubaře si najdi, vypadá to děsně, je třeba s tím něco dělat. Vytržené zuby ti nikdo nevrátí, mohla je dostavět kompozitem, i když byly mléčné. Implantáty by tě vyšly na pár set tisíc a nikdy nevíš, zda je tvoje tělo přijme.
Nezlob se, ale já bych to na zubařku nesváděla....Co ty zbylé zuby, taky nevypadají zdravě....
Ty máš podle mě hlavně špatnou zubní hygienu. A zubaře teda určitě potřebuješ, klidně i 100km daleko. Já mám taky zubaře 100km daleko a prostě ho nevynecham. Ale je tedy fakt, že já ve 40nemam žádnou olplbu a zuby jsou při mne extrémně důležité
