Bílé patro a slabost. Ucpané slinné žlázy?
Zodpovězené15. led 2025
Dobrý den,
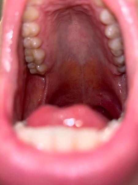
už včera jsem se cítil slabý a dnes je to podobné. Mám trochu povléklý jazyk, ale v krku mě nebolí ani jiné příznaky nemám. Žádná teplota ani rýma. Ráno jsem viděl na mandlích bělavý pupen nikoliv čep, ale ten zmizel. Jednou jsem ho už tam měl a byly to ucpané slinné žlázy. Kromě povlaku v puse a slabosti nemám jiné příznaky. Dokonce tepovou frekvenci mám nízkou. Kolem 50 t/min (jsem sportovec).
Mohou to být tedy pouze ucpané slinné žlázy?
Děkuji



Dobrý den,
na mandlích, ani na jazyku slinné žlázy nejsou přítomny, proto těžko říct, co za pupen mohlo na mandli být. Pokud nepociťujete na mandlích či v dutině ústní bolest a celkově se cítíte dobře, pak bych tomu nevěnovala větší pozornost. Povlak na jazyku je ovlivněn též stravou či léky a může rychle zmizet. Na mandli mohou být zbytky jídla, které po polknutí zmizí.
Kdyby se objevily příznaky jako horečka, bolest v krku nebo bolest v dutině ústní, doporučuji navštívit Vašeho PLDD k dovyšetření.
Přeji Vám krásný den,
MUDr. Pavlína Koucká