ZÁZRAKY SE DĚJÍ / čekame chlapečka a přirozeně :()
Po několika letech neuspěchu,jsme se 23.5.2008 dočkali vytouženého miminka po IVF-přirozeně prý mít děti nemužeme...a 19.9.2009 jsem našla na testu // 🙂 A PŘIROZENĚ 🙂)
21.9. potvrzené Hgq z krve...tak přeci jen 🙂
06/10/ bije srdííčko !!!!
16+1 geneticka konzultace OK,nemusíme na AMC
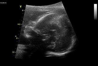
Zaplatila jsem si ale přesto UTZ a vypada to,že budeme mit chlapečka 🙂) pry tak na 80% jistota je vždy až po porodu 🙂)
CHLAPEČEK POTVRZENY Dr Břeštákem ))
Bohužel nastaly komplikace v podobě infekce,vysokého tlaku,krvacení,tvrdnutí břicha :(
Chlapeček ma neco malo přes kilo,moc si přejeme,aby v bříšku ještě vydržel...
Ted už by klidně mohl jít ven,už jsem ve 37tt,takže by to problém byt neměl a je to zase jako s Ájou-porad,že porodím zarucene drive,udržovaní a ja to vidím zase na přenášení :(
Jinak nic moc,mam už víc než jsem šla rodit malou a břicho mam přímo obří.Ten konec těhu je fakt už opruz.Co Ty,jak to zvladáš?A Kubík,těší se na segru?
Jasně rozumím, ale zase každý den navrch je pro toho malýho lepší. Však uvidíš, kdy se nakonec rozhodne ukázat.
Věřím, že je to náročný, já to pociťuji už teď. A to jsem nějaký ten týden za tebou. No Kuba tomu, že bude mít ségru, zatím moc nerozumí, ale dává břišku pusinky a hladí ho.
A jak u vás?
Ája je uplně na větvi,na všech UTZ byla semnou a uplně vypleskla z miminka-kdykoliv vidi jaoukoliv fotku z UTZ tak ví,že je to miminko,ekla bych,že tomu rozumí,zatím to vypada,že se těší,ale do hlavičky jí nevidím,tak nevím,jak to ma.Ale hodně se toho bojím.Přeci jen čekáme ty prcky opravdu kousek od sourozencu.Snad se sžijou co nejdřív,ale po pravdě si to pořad nejak neumím představit.








Tak snad chlapeček v bříšku vydrží co nejdéle. Jak se cítíš teď?