Těhotenství týden po týdnu - 5 týden

5. týden těhotenství
Co se děje s vámi?
5. týden těhotenství se již Vaše menstruace se nedostavila. Udělala jste si těhotenský test a na něm spatřila 2 proužky!
V tuto chvíli vás jistě zavalila vlna emocí. Čeká vás to nejkrásnější v životě ženy. Mít dítě.
Je úplně normální, že spolu s radostí vás zachvátí i obava, jestli vše dobře dopadne a vy porodíte zdravé dítě – ničeho se neobávejte, dodržujte zdravý životní styl, poslouchejte své tělo a lékaře. Toto období si užívejte.
Některé ženy mohou být k hormonálním změnám a rozvoji těhotenství velmi vnímavé (cítí, že jsou těhotné), jiné ženy v tomto období nemusí pociťovat změny žádné. Můžete pociťovat zvýšené napětí v prsou a podbřišku, to však bývá i známkou blížící se menstruace. V důsledku hormonálních změn jste nezvykle přecitlivělá, můžete mít častý pocit na omdlení (v dopravních prostředcích, v přetopených místnostech). Trpíte zvýšenou únavou. Častá bývá zvláštní (kovová) chuť v ústech. Nevolnosti či zvracení většinou v tomto stadiu těhotenství ještě nebývají časté.
Pro potvrzení gravidity je možno použít těhotenský test (z moči), běžně dostupný v lékárně či drogerii. Většina z nich je poměrně spolehlivá a žena si může potvrdit graviditu již několik dnů po vynechání menstruace (někdy již první den skluzu menses). Známkou pozitivity jsou 2 proužky.
Pozitivita těhotenského testu je důvodem objednat se k lékaři, který může potvrdit těhotenství pomocí krevních testů (pozitivní již cca 9. den po oplodňujícím pohlavním styku (- zjišťuje se hladina těhotenského hormonu v krvi (lidského choriogonadotropinu hCG). Jeho hladina stoupá v prvních týdnech těhotenství každý den na dvojnásobnou hodnotu (tzv.dubling time). Jeho zvýšená hodnota se prokáže jako druhý proužek na těhotenském testu z moči.
5. týden těhotenství je možno graviditu ověřit pomocí ultrazvukového vyšetření – prokáže se přítomnost zárodku v děloze. Srdeční akce plodu lze prokázat na ultrazvuku až o 1-2 týdny později.
Nedostala jste menstruaci? To může znamenat dobrou zprávu, kterou potvrdí domácí test a později váš gynekolog. Miminku začíná tlouct srdíčko.
Pokud máte pravidelný cyklus, jistě jste si všimla, že se menstruace začíná zpožďovat. Dva až tři dny po vynechání menzes si můžete udělat těhotenský test. Ten ale nemusí být pozitivní, přestože jste těhotná. Chcete-li mít větší jistotu, proveďte ho znovu za dva až tři dny. V současné době je na trhu řada testů, které jsou velice citlivé a reagují již na malé množství koncentrace těhotenského hormonu.
Domácí těhotenský test dělejte z první ranní moči, která je nejkoncentrovanější. Pokud bude test neprůkazný, ještě to nemusí znamenat, že nejste těhotná. Raději se objednejte ke svému gynekologovi – obvykle je možné potvrdit nitroděložní těhotenství vaginálním ultrazvukem.
Pokud ještě neužíváte kyselinu listovou, začněte co nejdříve. Její nedostatek vede k chudokrevnosti, zažívacím potížím, poruchám hybnosti. Také může vést k vývojovým vadám plodu, ke zpomalenému vývoji plodu či předčasnému porodu. Kyselina listová se přirozeně vyskytuje ve tmavozelené listové zelenině, například ve špenátu, dále v brokolici, chřestu, fazolích, droždí či citrusech.

Co se děje v bříšku?
Dvouvrstevný zárodečný terčík se začíná 5. týden těhotenství prodlužovat. Mezi vnějším a vnitřním zárodečným listem vzniká střední zárodečný list – mezoderm. V 5. týdnu těhotenství (asi 17. den vývoje po oplodnění) jsou založeny všechny 3 zárodečné listy – trojvrstevný zárodek. Ze zárodečných listů vznikají později všechny tělní tkáně a orgány. Z vnitřní vrstvy (entodermu) se vyvíjí základ plic, jater, trávicího systému a slinivky břišní. Z mezodermu (střední vrstvy) se vyvíjí kostra, svaly, ledviny, cévy a srdce. Zevní vrstva (ektoderm) je základem pro vznik nervového systému, kůže, oční čočky a zubní skloviny.
Mozek a mícha vznikají nejprve přeměnou vnější části zárodku na nervovou ploténku. Z ní se vyvine základ nervové trubice. Její horní konec se zvětšuje do základu mozku, z dolní štíhlejší části vzniká základ hřbetní míchy. Po jejich stranách se začnou rýsovat základy obratlů.
Pro zajištění výživy zárodku je nezbytně nutné časné založení vlastního krevního oběhu. Jeho první základ tvoří krevní ostrůvky ve žloutkovém váčku, z nich se postupně vyvinou jednoduché cévy, které obsahují krvinky. Již před koncem 5. týdne je krevní oběh tvořen jednoduchou trubicí se základem srdce. Srdeční základ začíná tepat a krev začíná proudit již na konci 5. týdně těhotenství (3. týdny od oplození) - krevní oběh je tedy prvním systémem, který se ujímá funkce.
V této době je tedy zárodek (embryo) vzpřímený, na horním konci dominuje tlustý, dosud neuzavřený základ mozku, pod ním jsou v podobě jamky založena primitivní ústa, pod nimi je základ srdce.
Během tohoto týdne se kulatá masa buněk prodlouží a je patrná hlava a ocas. Na hlavičce se vytvořily základy pro oči a uši, vytváří se srdeční stěny tak, aby na konci týdne mohlo začít srdíčko pracovat. Začala se vyvíjet také trávicí soustava a ledviny, svalovina a kostra. Živiny čerpá ze žloutkového váčku, děložních stěn a už také z placenty.
Na konci 5. týdne měří zhruba 2 mm.Váha embrya je zhruba 1 gram.



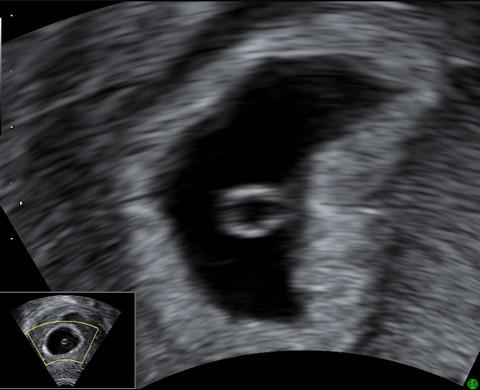
Ultrazvukový snímek pochází z ukončeného 5. týdne (5+0). Je na něm vidět žloutkový váček o velikosti 5 mm.

Doporučujeme
Začni psát komentář...


