Těhotenství týden po týdnu - 7 týden

7. týden těhotenství
Co se děje s vámi?
7. týden těhotenství můžete pozorovat první malé změny tělesné hmotnosti, tělo se jakoby mění.
Váhový přírůstek (pokud není naopak úbytek vzhledem ke zvracení či nevolnosti) je asi 0,5 – 1 kg, odpovídá však i kolísání hmotnosti před menstruací.
Pomalu se vám začínají zvětšovat prsy. Bývají napjaté, prosáklé, zmnožuje se modravá kresba podkožních žilek. Je vhodné prsy promazávat krémem proti striím či alespoň tělovým mlékem nebo olejem.
Jednou z nejčastějších obtíží v graviditě bývají žaludeční nevolnosti a zvracení. Objevují se koncem 1. měsíce a obvykle mizí ve 4. měsíci. Nemusí se však vyskytnout vůbec, stejně jako ostatní příznaky těhotenství (těhotenské chutě, pocit na omdlení, zvýšená únava, podrážděnost, časté nucení na močení) jsou velmi individuální. Každá žena může mít různé obtíže, i jednotlivá těhotenství u jedné ženy mohou probíhat různě. Děje se tak v důsledku hormonálních změn v organismu.
V tomto týdnu již lékař dobře vidí na ultrazvuku „bušící“ srdce vašeho budoucího miminka.
Těhotenství je potvrzeno.
V případě, že se dosud nedostavila menstruace, těhotenský test je pozitivní (hodnota hCG - lidského choriogonadotropinu je již vysoká - nad 1500 IU), ale plod není v děloze na ultrazvuku vidět, je potřeba vzít v úvahu i možnost mimoděložního těhotenství. Tato situace vyžaduje další důkladné lékařské vyšetření a vždy se musí na tuto nepříznivou situaci pomýšlet. Zvlášť velkou pozornost je třeba věnovat ženám, které v minulosti již podobnou událost prodělaly.
Mohou pomalu nastupovat těhotenské obtíže, jako je nevolnost, podrážděnost či nutkání k močení, únava, změny prsou. Ty jsou u většiny žen první známkou začínajícího těhotenství. Bývají těžké, napjaté. Intenzita všech častých těhotenských obtíží je velice individuální. Těhotenská nevolnost se obvykle objevuje od 3. týdne do 4. měsíce těhotenství. Pochva i děložní hrdlo začínají být překrvené, čímž získávají lehce namodralou barvu. Děloha je zvětšena jen velmi málo. Vaše srdeční frekvence a metabolismus se zrychlil o 25 %.
V tomto týdnu se vyvíjejí důležité orgány dítěte, je proto velmi zranitelné. Vyvarujte se jakýchkoli možných rizik včetně stresu, která by tento vývoj mohla narušit. Jdete v tomto týdnu na ultrazvukové vyšetření? Uvidíte, jak vašemu miminku tluče srdíčko.

Co se děje v bříšku?
Zárodek se volně vznáší v plodové vodě.
V 7. týdnu těhotenství se rychle zvětšuje zejména hlavová část zárodku (tvoří téměř polovinu délky celého těla). Její růst souvisí s rychlým vývojem mozku.
Vašemu miminku se začíná vytvářet obličej. Vchod do ústní dutiny je zatím nepřiměřeně široký. Je vytvořen základ dolní i horní čelisti. Základy očí jsou uloženy daleko od sebe po stranách formujícího se obličeje. Při pohledu zepředu nejsou vidět.
Základy horní končetiny (ručičky) rostou do délky. Původně jednoduché ploutvičky nabývají podobu maličkého pádla. Jejich horní část se formuje do tvaru válečku. Od dolní, širší, kratší a ploché části je oddělena zúžením (budoucí zápěstí).
Dolní končetiny jsou oproti horním končetinám ve vývoji téměř o týden opožděny. Toto zpoždění si udržují i ve svém dalším vývoji (i po narození).
Základy obratlů jsou v tomto období založeny v celém rozsahu, celkem je jich 42-44 párů. Několik horních a dolních párů se záhy rozpadne, nakonec zůstane zachováno 34 párů, což odpovídá počtu páteřních obratlů člověka.
Na přední straně zárodku vzniká pupeční provazec. V tomto provazci probíhají životně důležité pupeční cévy. Pupeční žíla vede okysličenou a živinami bohatou krev z těla matky do zárodku.
Mohou vás trápit těhotenské nevolnosti. Miminku se vytváří obličej, společně s orgány čichu, zraku a dolními končetinami.Na hlavě můžeme pozorovat výstupky pro oči a základ pro ústa a nos. Samotný tvar těla zárodku se nijak zásadně nemění, jen hlavička se stává zřetelnější. Tmavé skvrny po stranách jsou základy očí, viditelné jsou také prohloubeniny – budoucí nozdry, jazyk, rty a pupeny budoucích zubů. Tento týden téměř vymizí ocasní část. Vznikají základy dolních končetin, základy horních končetin se začaly vyvíjet v 5. týdnu a nyní se vyvíjejí dále. Srdce bije asi 150krát za minutu, což je dvakrát rychleji než srdce dospělých. Vývoj důležitých orgánů pokračuje, téměř před dokončením jsou játra, ledviny, střeva a vnitřní pohlavní orgány.
V 7. týdnu těhotenství měří embryo zhruba 8 mm.Při zjišťování délky embrya se měří vzdálenost od temene ke kostrči. Váha embrya je nyní zhruba 1 gram.



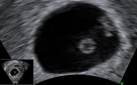
Snímek z ultrazvuku pochází z 6+5, tedy ukončeného 6. týdne + 5 dní ze sedméno, je vidět žloutkový váček s náznaky struktury plodu o velikosti 9 mm.

Doporučujeme
Začni psát komentář...


