Těhotenství týden po týdnu - 9 týden

9. týden těhotenství
Co se děje s vámi?
To, že jste těhotná, zatím poznáte v tomto týdnu těhotenství na sobě jen vy (a lékař).
Maximum změn pozoruje většina žen na prsou (zvláště ty, které tyto změny pozorovaly i během menstruace). Prsy jsou plnější, s rýsujícími se žilkami, na pohmat citlivé, prsní dvorec a bradavky tmavnou. U žen, které pociťují výrazné zvětšování prsou, je na místě použít krém proti striím (k dostání v lékárně) nebo alespoň zvláčňující krém či olej, je vhodné zakoupit též těhotenskou podprsenku.
Některé ženy mohou být v tomto období zvýšeně citlivé, plačtivé a emočně labilní, typické bývá střídání nálad. Změny připomínají vystupňovaný premenstruační syndrom. Některé ženy však bývají naopak ve velmi dobré pohodě.
Hladina hCG (těhotenského hormonu choriogonadotropinu) mezi 8. – 11. týdnem těhotenství dosahuje vrcholu.
Těhotenství na vás není vůbec znát, ale i přesto si můžete všimnout, že vám jsou kalhoty těsnější. Zvětšuje se dutina břišní, děloha se od doby početí zdvojnásobila. Vaše tělesná teplota neklesá pod 37 °C.
Především se zvyšuje množství již existujících hormonů a dále se vylučují hormony specifické jen pro těhotenství. Tím je například lidský choriový gonadotropin (HCG), který vylučuje vyvíjející se placenta od chvíle, kdy se oplozené vajíčko uchytí v děloze. Spouští produkci dalších hormonů, které udržují těhotenství, a zabraňuje spuštění menstruačního krvácení. V těhotenství dosahují vysoké hladiny také ženské pohlavní hormony – progesteron a estrogen. Progesteron brání děložním kontrakcím, udržuje funkci placenty, zpevňuje stěny pánve a naopak rozvolňuje některé vazy a svaly. Je tedy zodpovědný za případné pálení žáhy. Estrogen pomáhá na začátku těhotenství připravit děložní sliznici, podporuje zmnožení cév a žláz v její sliznici. Je zodpovědný za zvětšení krevního objemu. Vývoji dítěte pomáhá lidský choridový somatomamotropin (HCS), kalcitonin zvyšuje tvorbu vitaminu D a zabraňuje vyplavování vápníku u matky, inzulin pomáhá s ukládáním živin a regulací cukru plodu, prolaktin napomáhá připravit mléčné žlázy matky na kojení. V průběhu porodu se pak uvolňuje oxytocin, který způsobuje kontrakce rozšiřující děložní hrdlo.
V ústech se vám tvoří nadbytek hořkých slin a vy nevíte, co s tím? Tomuto jevu se odborně říká ptyalismus. Objevuje se pouze v první polovině těhotenství, a to zejména u žen, které trpí ranními nevolnostmi. Typickými příznaky jsou: tuhý jazyk, otok tváře v důsledku zvětšení slinných žláz a zhruba dvojnásobné množství hořkých slin. Příznaky ptyalismu může zmírnit ovoce, máta, žvýkačka, časté malé porce jídla a sušenek. Snižte potraviny obsahující škrob a mléčné výrobky.

Co se děje v bříšku?
9. týden těhotenství je hlavová část zárodku ve srovnání s trupem značně veliká. Rovněž její ohnutí (souvisí s rychlým růstem mozku) až k srdečnímu hrbolu přetrvává. Trup a oblast krku se naopak trochu napřimují.
V obličeji se postupně srůstají jednotlivé výběžky. Dokončuje se vývoj nosu, který se zvedá nad úroveň obličeje. Vyvíjející se oči se přesouvají z postranní polohy dopředu a přibližují se k sobě. Oči jsou stále široce otevřeny. Základ brady je velmi široký, stejně tak i ústa. Kolem zevního zvukovodu se objevují hrbolky, které jsou základem ušního boltce. Rysy obličeje jsou nápadně hrubé.
V dutině břišní roste do délky tenké střevo a skládá se v kličky. Značné velikosti dosahuje v tomto období nad střevem uložený základ jater. Je tak velký, že na přední straně zárodku vytváří pod srdečním hrbolem další – jaterní hrbol. Velká játra vedou k napřimování dosud stočeného zárodku.
Nápadné jsou i změny na končetinách. Na horních se rýhy mezi prstovými paprsky ztenčují, takže základy prstů jsou nyní navzájem spojeny tenkými plovacími blánami. Na dolních končetinách se rýhy a prstové paprsky teprve zakládají.
Ocásek již téměř zmizel, zbytek ocásku zůstane jako budoucí kostrč.
Mnohočetná těhotenství jsou spojena se zvýšeným nebezpečím pro matku i plod, zejména s rizikem předčasného porodu. Jsou proto považována za těhotenství riziková.
Nejméně vzácná z vícečetných gravidit jsou dvojčata, jejichž frekvence je cca 1x na 80 těhotenství. Vyskytují-li se však dvojčata v rodině, je pravděpodobnost vyšší. Mnohem vzácnější jsou trojčata (1x na 802 těhotenství) a ještě více čtyřčata (1x na 803 těhotenství). Toto pravidlo platí ale pouze u přirozeného početí, netýká se těhotenství po umělém oplodnění.
Celosvětově, ale zejména v rozvinutých zemích, lze zaznamenat zvýšený výskyt dvojčat v důsledku léčby ženské sterility ovariální stimulací (léky stimulující ovulaci umožňují dozrát více než jednomu vajíčku, a tím vytvářejí předpoklady pro vznik vícečetného těhotenství ) a zavedením metod IVF (in vitro fertilizace = oplodnění ve zkumavce).
Dvouvaječná dvojčata – jsou častější, dvě různá vajíčka jsou oplodněna dvěma různými spermiemi, každý plod má svou placentu, mohou být různého pohlaví. Jedná se vlastně o sourozence.
Jednovaječná dvojčata- vznikají oplodněním jednoho vajíčka jednou spermií, které se v rané fázi embryonálního dělení rozdělí ve dvě. Mají tedy jednotný dědičný základ (jsou vždy stejného pohlaví, mají stejnou skupinu krve, vzhled, genetickou výbavu… ). Mohou mít společnou placentu.
Vstupujete do 3. lunárního měsíce. Vaše miminko prochází zásadními změnami, velice rychle roste. V příštím měsíci svou hmotnost zdesetinásobí.
Plod začíná vypadat jako lidské dítě, ale stále má tvar písmene C. Je vidět primitivní nos s dírkami. Objevují se první svaly. Vznikají oční panenky, čočka i sítnice a oční nerv začínají být funkční. Vyvíjí se pupečník, který bude po zbytek těhotenství komunikační tepnou mezi plodem a matkou. Poměrně rychle rostou jak horní, tak dolní končetiny. Na končetinách jsou patrné loketní ohnutí, na prstech se vytvářejí bříška. V následujících dnech se vyvine základ bránice – hlavního dýchacího svalu, které dítě začne využívat hned po porodu.
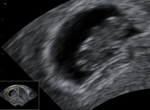
V 9. týdnu těhotenství měří plod zhruba 2,3 cm.Při zjišťování délky plodu se měří vzdálenost od temene ke kostrči. Váha plodu je nyní zhruba 2 gramy.



Na snímku je vidět plod se žloutkovým váčkem. Stáří plodu je 8 týdnů a 3 dny, velikost 19 mm. U plodu je snadno k rozeznání hlavička, horní a dolní končetiny, mezi nimi část pupečníku.

Plod stáří 8 týdnů a 6 dní, velikosti 23 mm.

Doporučujeme
Začni psát komentář...


