teda, ten tatínek si nás rozmazluje...dnes nám koupil nové autíčko.. jak já se těším, až ho vyrobí...Huinday ix20
tak jsem si dnes Pavlíčka přivezla pod stromeček... nejkrásnější Vánoční dáreček.. narodil se 20.12.2011 v 15:04, měřil 51cm a vážil 3,66 kg..je to zlatíčko
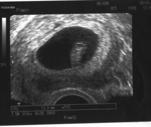
uf uf... už jen osm dní 🙂
"Terinko,spinkej už,je deset" a odpověď? "ale maminko,já nemůžu spinkat,mám strach, že vítr na mě spadne strop"..."co tě to napadlo?" "táta tam dal málo lepidla".. no já se z ní... ve dvou letech a takové hlášky už... jsem se málem umlátila smíchy :-
tak dnešní monitor a kontrola v porodnici.. vše v naprostém pořádku, jen máme lenocha a ven se mu prostě nechce.. do Vánoc to prý nevypadá..tak snad budu na Vánoce alespoň doma s malou a mimísek třeba vykoukne na Silvestra 🙂
12 dní do TP... jak to jen urychlit.. tolik bych chtěla být na Vánoce doma.. představa trávení Vánoc v porodnici, když mám doma svou malou princeznu..to se mi teda vůbec nelíbí ☹
*14* dní do termínu porodu.. ty jooooooo.... to už je fakt za pár 🙂
ach jo.. tak jsem si dnes pochvalovala, ze mam konecne vsechny doktory vyrizene a ted uz budu jen cekat, az se malemu bude chtit na svet a zrovna mi vypadla plomba.. tak v pondeli hura k zubari ☹
*18* dní do TP a Terinka dnes druhý den bez dudlíčku..huráááá.. tak už jen ty náš Pavlíčku, pojď za náma.. 🙂
20 dní do TP a od zítřka už jen náct.. uf uf uf.. ale Pavlíčku, pojď už ven.. se sotva plazím.. Ježíííšku, jeslti jsi, dej nám miminko už pod stromeček, ať nemusím být v porodnici..🙂
ty jooo..27 dní do TP.. to snad není ani možné..vždyť to už není ani měsíc... uf uf.. to bude krásný zápřah.. jak já se těšíííím
tak dnešním dnem jsem na druhé mateřské dovolené.. to je neuvěřitelné, jak to letí.. a to, když jsem rodila malou, tak jsem říkala, že už nikdy...chich 🙂
tak dnes první návštěva porodnice..a musím teda zaťukat.. o proti Apolináři je porodnice v Krči naprostý luxus..i personál je úžasnej.. jen Terinka to ráno nemohla nějak rozdýchat, že ji maminka jde opět k doktorovi..ta plakala..chudinka...
tak poslední velký ulz u mého gynekologa.. malej je zdravouckej, hlavičkou dolu a má 2,26 kg.. uf uf.. doufám, že nebudu přenášet, jinak budu rodit obříčka 🙂 ale jak já se na něj už těšííím.
já mám tak šikovnou holčičku..dnes poprvé zvládla se školkou cestu mikrobusem do divadýlka..byla prý moc hodňoučká a pak spapala ve školce celý oběd..jen tak dál, Terinko naše 🙂
chjo..to je dnes den..59 dní do TP a ze mě odchází hlednová zátka a bolí mě šíleně podbřišek.. Pavlíčku, vydrž ještě, prosíííím ☹
Tak Terinka má angínu ☹ ať žijou bacily ze školky ☹
ach joooo.. tak jak se zítra rozhodnout? Mám být v půl deváté na gyndě..ale malá má horečky..tak gynda nebo doktor s malou? Jak se sakryš rozpůlit?? ☹
Dnes dorazil kočárek.. ježiškote, ten je nádhernej... iCandy sourozenecký.. ale to je fakt bomba 🙂 Mám hroznou radooooost 🙂 Tak Pavlíčku, už můžeš na svět..máme přibližovadlo 🙂
holky,máte někdo zkušenost s autosedačkou maxi cosi cabrio fix? Sháním nějakou "z druhé ruky" a nejsem si jistá,zda se dá do auta přidělat "jen tak" a nebo je potřeba dokoupit ta základna ????????
tak dnes Terezka poprve sama na dopoledne ve školce. Šmudlinka moje.. slzičky jen na začátku,pak se krásně zapojila..jen musí chodit do skupinky se staršíma..jediná ve skupince mluví a jediná je zcela bez plín..no já prostě musím být pyšná máma 🙂
dnes v Letňanech na veletrhu hraček.. jsme celá rodinka unešená...tolik jsme si vyhráli..dopoledne skoro žádní lidé a ještě jsem dostala zadarmo zavinovačku na miminko, hračky pro Terezku a spoustu dobrůtek..dokonce tam byla osobně Inka Rybářová
Tak test cukrovky dnes za mnou.. a docela v pohodě.. až na to šílené ranní vstávání.. Terinka to nějak nemohla rozdýchat, že ji takhle brzy ráno opouštím..to bylo slziček..je to kouzelný, když člověk vidí, jak ho někdo opravdovsky miluje 🙂
Jupíííí...zítra na 4D ultrazvuk..ten čas tak letí..nedávno jsem zírala na testík a už 4D..se ani neotočím a budu rodit 🙂 Terinka dnes na 4.dávce Prevenaru.. uf uf.. to byl histeráček
Holky, pokukuju po nějakém sourozeneckém kočárku, ale vůbec nevím, který vybrat.. nemáte některá zkušenost? Je lepší kočárek s korbičkou a sedačkou vedle, nebo za sebou.. koukám, hledám, ale mám hlavu jak pátrací balon a ne a ne něco vybrat ☹
























































































































