lopata49
7. čer 2009
Testy
Takže po neúspěšném 1.IVF (MA v 5-6tt) aneúspěšném KETu, proběhlo 2.IVF:
14 D po ET hcg 3 243,
21 D po ET hcg 35 935,
(25 D po ET hcg 97 742)
28 D po ET hcg 168 053
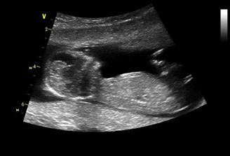
23.6.2009 dle utz 6+4 tt, dvě bušící srdíčka, předběžný termín porodu 15.2.2010,
30.6.2009 dle utz 7+3 tt, stále dvě bušící srdíčka,
14.7.2009 dle utz A 10+0tt, B 9+4tt, u obou aktivní pohyb 🙂termín porodu upřesněn na 11.2.2010, a 4.8.jdu na NT screening -dopadl skvěle, jsme 13+0tt, obě stejně velká, termín 9.2.2010
26.8. výsledek integrovaného test za 1.a2.trimestr - negativní, hurááá,
23.9.velký ultrazvuk



