Deník našeho "bříška"
JSME V TOM ....
Termín porodu dle PM 15.12.2009
Termín porodu dle UTZ 16.12.2009
Termín porodu dle UTZ z 20 týdne 14.12.2009
Leden:Začínáme spolu mluvit o miminku, je to téměř denní téma...
Únor: Nasazuji Calibrum BABYPLAN
9. Duben: První test s linkou..
10. Duben: Druhý test s linkou o něco málo fialovější...
15. Duben: Gynekolog potvrdil těhotenství a nasadil hormony (Utrogestan) na udržení plodu. Odebrali mi krev, což mne čeká ještě jednou v pátek, v pondělí pak odevzdám moč a ve středu půjdu znovu na kontrolu, abychojm si byli jistí, že je vše ok. Na ultrzvuku se objevila malá tmavá skvrna (více vpravo) - žloutkový váček. Občas mám křeče v podbřišku a taky se mi pořád chce na záchod. Prsa mám hodně citlivé na dotek a bez podprdy nedám ani ránu. A neustále mám chuť na něco slaného, hlavně s česnekem a taky na pivo. Co se týká životosprávy, nebyla jsem poslední dny moc vzorná, ale teď na to "hupsnu" a začnu se chovat jako těhule 🙂
Mišák z toho byl trochu vedle, musí to všechno zpracovat a rozmyslet, nečekal, že se nám to povede takhle rychle.
17. Duben: Bříško dostalo od Mišáka první pusu:-* a po vzoru filmu vetřelec 1,2,3,4... taky novou přezdívku - Alien.
18. Duben: Ráno se objevilo špinění, ale snad to nic nebude.
20. Duben: Byla jsem odevzdat moč a sestřička mi potvrdila, že množství HCG v krvi je přes 4000 mIU/ml. Takže jasná těhule. Pracovní název bříška - Ruprt 😀
22. Duben: Vyšetření ultrazvukem... je vidět folikul a žloutkový váček a taky šedá skvrna - miminko. Zvyšujeme dávku Utrogestanu na tři denně.
23. Dubem: Radostná zpráva pro naše.. budou dvojnásobný děda a dvojnásobná babička😀
24. Duben: Vyšetření u urologa. moč je v pořádku, ale gynekologický nález obsahuje nějaké bakterie... no uvidíme. Prognóza ledvin je neveselá: děloha se stáčí doprava a je možnost, že v pozdějším stupni těhotenství bude tlačit na pravý močovod a ten nebude správně fungovat... snad se to nepotvrdí, uvidíme.
26. Duben: Už je mi 3 dny zle... je to hrozné, skoro nic nejím a ze všeho se mi chce zvracet. Trochu jsem zhubla, a taky trochu zmizly prsa...
28. Duben: Dneska je mi lépe, ale konečně se naplno projevily ty bakterie v pochvě. Hnusný zeleno-žlutý výtok mne trochu děsí. Zítra jdu ke gynekologovi, tak mi třeba něco předepíše, doufám, neboť to mimojiné hrozně "kouše".
29. Duben: Takže u doktora prohlídka dopadla v pořádku - už nám tluče srdíčko a je vidět - Hurá. Taky mi udělali stěry z děložního čípku a z pochvy, odebrali hektolitr krve a předepsali Fungicidin na mazání a Pimafucin na zavádění, abychom se zbavili toho něpříjemného výtoku. Taky Torecan v případě že by mi bylo špatně, což je mi pořád. Na kontrolu jdu 13.5. a to už dostanu i průkazku...Taky se mi ráno vyrazilo něco na obličeji, na čele. tak jsem pro jistotu skákla i na kožní a výsledek - mám opar. Myslím, že to mi ještě chybělo ke "štěstí" . (tzn. budu se mazat Herpesinem a doufat, že to hned ustoupí.)
12. Květen: Střídavě oblačno, špatně mi bývá hlavně odpoledne mezi třetí a šestou. Pomáhá mi jakkdy a jakco, někdy citronová zmrzlina, někdy ledová cola, někdy višňové lízátka pro těhule, ale spolehnout se na to 100% nemůžu. Z potrvain, které jsem schopna sníst převažují přílohy, hlavně brambory a rohlíky. Zbytek problémů a potíží zatím ustoupil do pozadí. Včera jsme měli rodinnou schůzi u Miškových rodičů, takže teď už to ví všechny babičky a všichni dědové. 😀
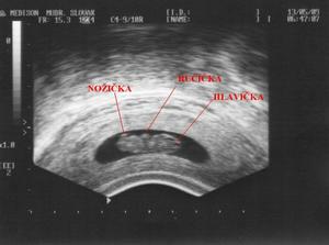
13. Květen: Dneska jsem byli na vyštření. Dostali jsme obrázek, průkazku a kufřík se spoustou nezbytných maličkostí. Z bříška nám Rupík zamával ručičkou a pak si chvilku hrál na schovku, nakonec se ale krásně ukázal a nechal se i vyfotit. Všechno je v nejlepšímpořádku, máme negativní toxoplazmozu, HIV a žloutenky, krevní skupinu 0Rh+. Taky jsme dostali žádanku na "velký" ultrazvuk do Brna, kde si zjistíme pravděpodobnost Downova syndromu a zároveň necháme vyšetřit i genetiku, kvůli tomu oparu. Na vyšetření jdeme 3.6. a půjde s námi i Mišáček. Ráno jsme se oba "rozplývali" nad fotkou (já víc, samozřejmě 🙂 ), a taky jsme si pro jistotu vyrobili hned několik kopií. Už se moc těšíme, až budeme vědět, že je v bříšku všechno v pořádku.
20. Květen: na vyšetření z výtěru pochvy mi našli Ureoplasmata - takže antibiotika v podobě krému (ale až po 12 týdnu) a bobulky na kvasinky, aby jsme to vymlátili všechno. Ach jo ☹
25. Květen: Postupujeme dále. Už se nevejdu do riflí a taky mi vůbec nechutná maso. S jídlem je to spíše horší než lepší. Ale těšení a radost je veliká. Doufám jen, že ultrazvuk i genetika dopadnou OK.
9. Červen: Velký ultrazvuk v Brně dopadl dobře. Ze zprávy "v děloze 1 plod, dle biometrie 12+0, morfologické anomalie nezastiženy, NB+, ASP+, linea nuchea 1,3 mm". Fotečku přikládáme dole, je na ní vidět hlavička a nosík, taky páteř. I když vyfotit se skoro nechtěl, hopsal nahoru a dolů jako na klouzačce. Od hlavičky k zadečku měříme přes 5,2 mm.🙂
Pokud se týká oparu, na genetické konzultaci jsem byla ujištěna, že pokud jsem prodělala neštovice, pásový opar a trpím na opary rtu, je virus v mých buňkách a miminku tedy neublíží. Horší by to bylo v případě, že bych měla opar poprvé, protože to by došlo k nákaze celého organismu, miminka nevyjímaje.
Jinak bříško už nám roste. Zasvěcení si už určitě všimnou, pro nezasvěcené jsem trošku ztloustla:D S jídlem je to jak kdy, maso nám stále nechutná, za to nám jedou rohlíky, měkký sýr a tvaroh. Už jsem přibrala celých 30 dkg 😀 Speciální chutě nemám... i když občas vypiju trochu vody z okurek. Zítra jdu k naší paní doktorce do poradny, tak jsem zvědavá co nám řekne.
13. Červen: Po gynekologické stránce vše v pořádku. Ještě musím k obvoďačce pro razítko do průkazky.
15. Červen: Odběry krve a moči u obvoďáka z důvodu "pobolívání" ledvin, acho jo... Taky se mi vyrazily drobné uhříky v hojném počtu na hrudníku a zádech... zatím mi v lékárně doporučili počkat, ale mne se to moc nelíbí, tak to zkusím něčím vysušit (asi salicilovým lihem), ať nevypadám jako poďobanec 😀
1. Červenec: Uhříky byly opravdu od sluníčka, mazala jsem je dva dny kalciovou mastí a docela zmizely. S ledvinama už to tak lehké není ☹ V pravé ledvině se zadržuje moč a stent bude nevyhnutelný. V současné době beru antibiotika (Augmentin) na zánět, který už se tam stihl vytvořit. Ledvina pobolívá, ale zatím se snažím cvičit, ležet na druhém boku a hlavně vydržet...
7. Červenec: Včera se mi na levém boku vyboulila veliká boule a taky jsem se nemohla moc nadechnout. A pak jsem se dověděla, že si náš mrňousek nejspíš protahoval nožky a cvičil gymnastiku. Mišáček se mu snažil domovat, prosil a nakonec i sliboval (hamburgera), ale nebylo to nic platné, mrňousek "cvičil" víc jak dvě hodiny. Dneska na prohlídce zase pro změnu spinkal. Dumlal si prstík a nechtěl se vůbec vzbudit. Viděli jsme ouško, ručičky, nožičky, srdíčko a páteř. A několika šťouchnutích jen mávnul ručičku, jako ať neotravujeme, převalil se a pokračova v pochrupkávání. 31. 7. jdeme na screening do Brna a to už by nám mohli prozradit i pohlaví. Chceme to vědět i když nám je jedno jestli to bude holčička nebo chlapeček. Už se moc moc mco těšíme.
6. Srpen: Screening proběhl v pořádku. Máme dvě ručičky a taky dvě nožičky. Ledviny a srdíčko jsou v pořádku. Byla jsem odeslána na vyšetření cukru a na cévní, kvůli křečovým žilám. Přibrala jsem celé 4 kila a teď vážím už 53kg.
Podle paní doktorky bude Rupík holčička 🙂
21. Srpen: Včera jsem byla na poradně. Všechno probíhá, tak jak má. Rupík už se začíná projevovat i na venek, občas už i obstojně kopne, takže to jde cítít i z venku. Oba z Miškou máme hroznou radost z toho že je cítit jak se hýbe (jen kdyby se nehýbala vždycky pozdě večer a v noci ☹ ) Břicho mi parádně roste, takže nosím věci po "babičce" Pavle a po tetě Kamile. V úterý se chystáme s Mišákem na dovču do Španěl, poletíme letadlem (u doktora říkali, že nevidí problém...). Hrozně se těšíme, hlavně na moře (to Mišáček) a na španělskou kuchyni (to já 🙂 ). Už abychom tam byli.
7. Září: Dovolná byla báječná. Moře, sluníčko, dobré jídlo a víno. Parádně jsme si to užili. Rupík byl v letadle hodný a ani moc nekopal, u moře se mu taky líbilo, protože jen tak spokojeně škrabkal prstíčkem zevnitř na bříško. Na fotkách je vidět, jak krásně rosteme. už se do ničeho nevejdu, musela jsem si koupit nové kalhoty a a taky šaty, aby se mi tam bříško vezlo. Taky jsem už koupila něco do výbavičky - peřinky, mantinel a podložku na přebalování. oblečků máme dost, tak ty už nekupuju...
9.Září: Cukrovka dopadla dobře.. sice mám cukr trošku vyšší, ale pořád v normě. Na cévním mi uděllali vyšetření a předepsali lioton a punčochy (hurá, už mne nebudou tak strašně bolet nohy). Taky jsme začali brát magnesium v dávce 1-1-1, abych neměla křeče v nohách. Přibrala jsem něco kolem 8 kg a to už je znát. Na nepatrný kousavý výtok jsme dostali glubulky Macmiror, ale ty už známe, takže pohoda 🙂
17. Září: Minulý týden mne v noci začala bolet ledvina, tak jsem si pak týden poležela v nemocnici, ale naštěstí už jsem doma. Ve výsledcíh se nic neukázalo, tak mám dojem, že si Rupík jen šprajcl nožku mezi ledvinu a páteř a proto to tak bolelo. Teď jsme doma a je nám moc dobře. V nemocnici nám udělali ultrazvuk, takže víme, že placenta je vzadu, což je dobré, a hlavička je už dole. Rupík váží 860g a podle všech měření odpovídá svému "věku". Taky jsem trošku zpanikařila a dneska si nachystala tašku do porodnice. Zbývají nám tři měsíce, ale teď už můžeme rodit klidně bez problémů každý den, tak chci být připravená, aby pak zase Mišák nemusel jezdit na třikrát, protože něco zapomeněl doma 😀
30. Září: Tak jsme ve 29. týdnu. Rupík kope vždycky od půl osmé do půl deváté ráno i večer a taky dost přes den. V noci je hodný, zlatíčko. Bolí mne úplně všechno kyčle, záda a kůže na bříšku. Taky chodím pořád čůrat. Příští týden jdeme do poradny, už se moc těším, až Rupíčka zase uvidím.
12. Říjen: Kontrola v pořádku. Rupík má kebulku dole. Měl zavřené očička, ale usmíval se. Přibrala jsem přes 10 kilo a bolí mne hrozně záda, ještě že mám ten pás, bez toho bych vůbec nemohla vegetovat. V pátek jdeme na velký UTZ do Brna, tak se těším, že mi dají fotku. Někdy si hrozně přeju ať už je prosinec... i když se docela bojím. Snad bude všechno v pořádku.
14. Říjen: Dneska se mi poprvé zdálo o porodu :-O. jestli to bude probíhat jako v tom snu, tak jsem v klidu. Zdálo se mi o naprosté pohodě - žádný stres ani bolesti... jen to, že jsem měla břicho a najednou jsem měla miminko v náručí... A mimochodem bylo hrozne krásné. Už se na něj těším.
30. Říjen: Tak na ultrazvuku je všechno v pořádku. Vážíme skoro 2 kila a všechny orgánu už máme hotové. Obrázek jsme ale zase nedostali☹ Rupík měl přes čumáček ručičky a jak slyšel o fotografování, tak tam šoupnul i nožičky. 🙂 Už se ale brzo dočkáme. Začíná mít asi málo místa, protože se moc nehýbe, jen občas trošku kopne (hlavně když je Mišák nablízku🙂 )
4. Listopad: Poslední tři dny mně pobolívalo bříško, hlavně když jsem stála nebo chodila. Dneska na kontrole mně paní doktorka chtěla poslat do nemocnice. Naštěstí jsem jí to rozmluvila a slíbila, že budu co nejvíce ležet a odpočívat. Čípek je zatím dobrý, ale může se to změnit každým dnem a to bych docela nerada. Dostala jsem globulky Polygynax a prášek Magnosolv. Příští týden jdu zase na kontrolu, tak uvidíme. Taky jsme dneska dostali fotky. Není na nich sice moc vidět, ale já to vidím. Miška tvrdí, že jsou tam jen nějaké šmouhy, že to přece není miminko 🙂. Rupík se hýbe čím dál víc, což je moc moc dobře. Už se na něj moc těším, jen doufám, že v bříšku vydrží co nejdéle.
5.Listopad: Na první fotce je prý vidět, že je to holčička (chybí pytlík) '😀. Na druhé fotce je prý vidět nosík a ručička před obličejíkem. Takže se snažte tam něco vykoukat 😎.
30.Listopad: Tak uz se to blíží. Chybí mi 15 dnů... ? Rupík váží 3020g, hrdlo sakrálně, 2,5 xm, polotuhé, pro prst, hlavička naléhá, PV neteče. Už mi z toho trošku hrabe, všechno mne boli a nemůžu se dočkat. Snad půjde všechno podle plánu. Ve středu jdu zase na kontrolu, tak uvidím jak to bude vypadat. Tašku už mám nachystanou a pořád si ji vozím s sebou. Pořád mám pocit, že něco nestihnu a něco zapomenu udělat, ale to je asi normální.
2.Prosinec: Pomalinku začíná odcházet hlenová zátka. Dnes mi u doktora řekli, že už jsme připravení a že porod bude každou chvilku. Domluvili jsme se s Miškou, že zkusíme vydržet nejméně do devátého, aby mohl být u toho 🙂 No uvidíme co na to bude říkat Rupík, jak dlouho tam ještě vydrží. Včera odpoledne jsem měla silnější kontrakci (zřejmě to bylo v souvislostii s "lumpačením" s Miškou). Dneska mne trošku bříško pobolívá, ale je to na 99% reakce na vyšetření. Taky jsme dneska k vyšetření pozvali babičku Táňu, aby se jukla jak vypadáme na ultrazvuku. Rupík měl otevřené očička a zamával nám nožičkou, abychom viděli, že má pět prstíků.
8. Prosinec: Včera jsme měly pohovor s porodní asistentkou Bárou, takže jsem zase o malinko klidnější. Smiřuji se s tím, že to prostě bude bolet, ale zároveň se začínám hrozně těšit.
11. Prosinec: Na středeční kontrole jsme zjistili, že se zatím nic neděje. Stav pořád stejný. Další kontrola v pondělí. Bříško mne pobolívá a taky záda a vůbec nemůžu spát (aspoň v noci ne, přes den bych spala pořád).
14. Prosinec: Dneska jsem byly zase na poradně. Rupík váží 3250-3331 gramů. jsem otevřená asi na dva prsty. Paní doktorka mi provedla Hamiltonův zákrok - bolelo to a ještě teď to bolí, prý abych nepřenášela - sakra jaké přenášení, když jsem teď právě ve 40+0. Bára asistentka taky říkala, že to nebylo úplně nutné a že teď se to pravděpodobně rozjede mnohem rychleji, než jsme chtěly. Holt doktoři, no.... Takže bolí mne podbřišek, hlavně když se postavím, taky záda a občas mi ztvrdne bříško.Chtěla jsem počkat až do 17. aby měl děda radost že dostal Rupíka k narozeninám a tak jsem z toho trošku rozmrzelá. No uvidíme, kdy se nakonec Rupíček rozhodne a půjde ven.



















