NAŠE MIMINKO
Tak se nám to na třetí pokus povedlo a v červnu čekáme maličké štorčátečko 🙂 Teď jen,aby vše klapalo,jak má.....
Bude to:
14.10. 21,00 hod. jsem se rozhodla udělat si test (nějak jsem se cítila jinak a myslela jsem si,že mi z toho už hrabe, tak jsem se chtěla dát do klidu...a pak prostě očekávat tu potvůrku)....po chviličce se začala rýsovat druhá čárka a já málem zkolabovala šokem....za hodinu jsem si dělala raději další testík (abych neplašila tatínka zbytečně), byla tam opět, takže jsem šla pro tatínka chystat překvapení (šel s kamarádama na pivko)
15.10. 1,30 hod.jsem miláčkovi vyklopila, co vím....úžasnej šok i pro něj a pochopitelně radost....
Od té doby stále testuju,zatím nemizí a neptrpělivě čekám na přístí týden,kdy půjdu k MUDr. tak snad bude vše tak,jak ma být!!!!! zatím se moc bojím....
23.10. asi v 11,45 jsem viděla malinkatý černý flíček!!! příští čtvrtek jdu zase,musi povyrůst,je moooc maličkaté 🙂)
1.11. tak jsem viděla tlukot srdíčka-neskutečnéééééééé, snad je vše tak,jak má být!
7.11. tak mám neschopenku, trpím nevolnostma ☹
22.11. hospitalizace, hubnu, nejim a nepiju
29.11. krááásnej ultrazvuk,nožicky, hlavička, ručičky a srdíčko jak zvon, pijavička měří už 5 cm -má se dobře,ať je mamince jak chce špatně
31.11. a mám průkazku ( a stejně nemůžu uvěřit,že jsem těhu)
-asi od 15.12. jsem začala vnímat okolní svět, nevolnosti přetrvávají,ale dokážu už něco dělat, něco sníst...hurááá
Silvestr, Nový rok-vypadá to,že mi konečně trochu roste bříško-teda jen večer,ale i to je dost!
2.1.,3.1.,.4.1.-něco v břiše cítím,když si položím ruku na břicho-uvidíme,jestli se mimi hýbe....
10.1.- odběry krve - nešlo mi najít žílu, takže asi 7 vpichů 🙂)
17.1. všechny testy jsou v pořádku, především vývojové vady, huráááá,jsem děsně šťastná!!! Mimi se krásně hýbalo,viděla jsem dokonce i prstíčky, žebra a krásně mi ukázalo ohýbání nožičky,je to náš poklad!
26.1. - den před výročím (půl roku od svatby, 4,5 roku společného života) jsme byli na obědě a hurááá,já jím a moc mi to chutná, byla jsem nadšená
Někdy v tuto dobu jsem si začala konečně uvědomovat, že jsem těhotná, dělá se mi častěji dobře a konečně si to můžu vychutnávat. Vybírám oblečky a další věci pro mimi, povídám si s miminkem,co má několikrát denně v mém břiše projížďku na horské dráze 🙂))
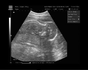
4.2. Byli jsme na velkém ultrazvuku, všechno se nám vyvíjí přesně na termín!!!! Je to nádherný!!! Miminko vážilo 340g.
13.2. Kardiologie - srdíčko se vyvíjí na jedničku, huráááá 🙂)
15.2. Tatínek poprvé ucítil to správné kopnutí, ten koukal!
22.2. Maminka to rozsekla a zálohovala kočárek,aby nám ho nikdo nevyfoukl! A je to, hurááá!!!
Konec února-tak konečně mám svoji původní váhu a přestávám zvracet!!!!! Už mám jen záchvaty jako že budu,ale stačí rychle něco sníst....takže teď jím skoro pořád,za chvíli budu hroch 🙂) Navíc teď musím pořád čokoládu!!!! Ach jooo
Začínám si taky dopřávat pomalé procházky a prodlužuju trasy, to je taaaaak krásnýýýý
4.3. Začala jsem chodit na cvičení a plavání pro těhule-konečeně pohyb po těch měsících hrůzy,jsem nadšená jak malé dítě!
Začíná mi hodně tvrdnout bříško, budu teď ujíždět ještě na magnézku...
13.3. Test na cukrovku - dopadl dobře 🙂
Tak už jsem přibrala 2 kg!
15.3. Začíná se s přípravou bytu na miminko- nejprve se dneska začíná montovat vestavná skříň do ložnice,aby mohla z dětského pokojíčku zmizet prozatimní šatna. Nakoupeny barvy na malování, koberec...
19.3. Dorazilo povlečení do postýlky a první čast dekorací....
20.3. Dorazil zbytek dekorací do pokojíčku, konečeně stojí skříň a vyklízí se pokojík...
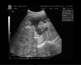
21.3. 4D ultrazvuk - neskutečně krááááásnýýýýýý.........za odměnu jsme pro mimi nakoupili skříně a další věci do pokojíčku
22.3. Malujeme
23.3. Pokládáme koberec a lištujeme ho, koupili jsme si další postele,abychom měli kde u miminka spát
24.3. Dodělaný koberec a sestavené skříně, pokojík se začíná rýsovat....
25.3. Pokojík stojí!!!!! zbývá vybrat postýlku a přidělat dekorace
2.4. Tak jsem konečně rozhodla, vybrala a objednala postýlku a matraci - dneska dorazil balíček a postýlka už zdobí pokojíček
5.4. Máme dodělaný pokojíček - lampičky, poličky,lustr, závěsy,.....
10.4. Byli jsme se podívat na kočárek a rozhodli se,že ho vezmeme,ikdyž jsme měli o něco jinou představu....
15.4. Jela jsem si pro kočárek, nejdřív jsem si ho vzala k nám domu,abych si vyzkoušela nájezd a tak...a pak jsem ho poctivě a hrdě převezla na parkování k babičce - je úúúúžasneeeej 🙂))
18.4. Další velký nákup, co mě ještě trápilo,že nemám-výplně do povlečení, nepromokavá podložka, prostěradla, tetra osušky, plenky, deka do kočárku, odsávačka hlenů, polohovací podložka,.......
7.5. Koncert TEAM-nečekaně jsem si ho užila -až na skákání-to jsem si teda odpustila,no 🙂 (lístky na sezení jsme nevyužili)
14.5. Peru první pračku oblečků- a dalších 10 dní v tom pokračuju-snad to neskončí!
17.5. Registrace v porodnici, miláček si prohlédl místo činu a uklidnil se trochu,je rád,že ví, kam jdem....já se rozbrečela,když jsem tam viděla paní rodit, doják-hormony se bouří!
20.5. Pomalu raději balím tašky do porodnice (pojednou na výlet raději s námi)
23.-25.5. Výlet do Budějovic - krásné počasí-procházky, papáníčko, pohodička - no relax!!!
1.6. Vzali jsme chobotničku na MDD do Příbrami na letiště, moc se jí to líbilo, celý den mi bylo dobře a užili jsme si i vystoupení Dědy Mládka a No name 🙂)
3.6. Myslím,že mi začala odcházet po malých částech zátka...rychle chystám pokojíček,ať jsem
v klidu,kdyby se něco dělo dřív....
5.6. Byli jsme se ještě s miláčkem fotit s bříškem-no jsem na to teda zvědavá,moje představy se nějak plnit nedařilo,snad z toho něco pěkného bude i tak....
8.6. Udělali jsme si s bříškem výlet do Varů lanovkou na vyhlídku...

















































