pet.s
30. črc 2009
Moje album
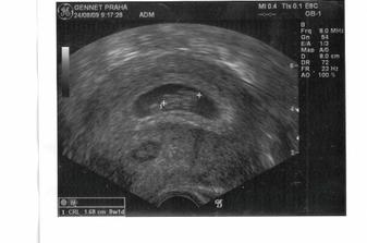
Dnes 25.9.2009 musel být ukončen kraťounký život našeho vytouženého mimíska. Kvůli závažné vývojové vadě neslučitelné se životem. Sbohem, broučku. Moc jsme se na Tebe všichni těšili. Moc jsme to oplakali. Snad se ještě někdy setkáme. Máma, táta, ségra a brácha.
















