Pro naše mimi 🙂
Po prvním neúspěchu se nám to hned povedlo. V 5.-6.týdnu jsem si poležela v nemocnici kvůli špinění a do konce 12.týdne beru hormony. Další kontrola až 3.12.. Na UTZ byl i budoucí taťka a viděli jsem, jak mimi dělá kotrmelce. Zdá se, že nos bude mít po manželovi-velký. Brali mi krev na testy a 19.12. jdu na první screening. Další kontrola u MUDr. bude 23.12. Screening dopadl na 1 s hvězdičkou, šance na poškození miminka jsou minimální (huráá) srdíčko bije a od hlavičky k prdelce už máme 7 cm. Termín porodu nám na screeningu posunuli o dva dny tj. na 27. června.
Další návštěva 21.1.
Paní dokotorka sice slíbila fotku, ale nakonce byl jen poslech a vše OK. Miminko jsem v bříšku cítila už v 16.tt jako motýlky, za pár dní už jemné šťouchance. V 17.tt cítí kopance i budoucí tatínek. Bříško pěkně povyrostlo, normoš kalhoty už přes břicho nedopnu, takže nosím šaty.
Další návštěva - screening u Dr. Břešťáka bude 12.2.
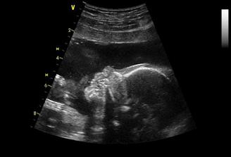
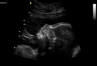
Screening dopadl dobře, máme krásný mímo. Pohlaví jsme si říct nenechali. Váží už 400g. I návštěva u mojí MUDr. dopadla dobře. Další návštěva 18.3. - trochu nám tvrdne bříško a máme menší zánět. 7.4. - přibrala jsem zase pár kilo, dohromady už 9kg. Tvrdnutí bříška neustupuje, i když to tvrdnutí skoro vůbec necítím. Miminko je hodně nízko a prý ho vytlačuju. Budu pracovat z domova a hlavu dolů 🙂 Zánět musíme léčit dál. 21.4. nás čeká screening.
Od 14. května jsem doma na mateřské. Rychle to utíká. Vypadá to, že jsme oba zdraví a je vše v pořádku. Jen máme slabší krevní obraz a syndrom neklidných nohou, takže baštíme železo. Bříško hezky roste. Mimčo už umí double kopy do žaludku a žeber najednou a někdy i triple - do močáku 🙂. Máme za sebou předporodní kurz a ještě nás čeká kurz na kojení a péči o mimi..skoro všechny věci už máme koupené.



















