Elenka už 14 dní brouká, povídá a vydává různé zvuky, před cca týdnem objevila ručičky, tak na ně nevěřícně kouká a prohlíží si je ze všech stran a poslední dny se ji podaří ručičkou trefit do hračky, ale zatím je to spíš náhodné 🙂
Tak včera jsme měli jít s Petrem na koncert a raut od něj z práce, je jednou za rok. Nikolka byla u jedné babičky, druhá babička přijela k nám hlídat Elenku, vše bylo připravené a v pohodě. Elenka je moc hodné mimčo, tak jsem se nijak nebála ji mojí mamce svěřit. Už jsme byli v bundě, já se těšila jak malá a co se stalo?? Dokrmím, odříhne, dám babičce Elenku a za minutu neuvěřitelný řev. Řičela minimálně 30min v kuse přišlo mi, že bolestí... Jestli měla poprvé večer koliku nebo spolkla blbě vzduch nebo je jen tak chytrá, že poznala, že jdeme pryč??? No asi holt mám ještě na nějaký čas smůlu někam jít.....Tak snad příští rok.
Nikolka má takovou tu čůrající panenku a k tomu lahvičku s mizejícím mlíčkem.
( pro nezasvěcené- z lahvičky nic neteče, ale když se nakloní, mlíčko jako mizí )
Je celá špatná, že miminko nečůrá, tak jsem přistoupila jako na dětskou hru a říkám, možná je nemocná, potom se na ni podíváme a ona na mě :
ASI NEMÁ BATERKY NEBO JÁ NEVÍM.....
ano tak reaguje dítě moderní doby ....🙂
Většina dětských hraček zabíjí dětskou fantazii a je úplně na prd. Zrovna v tv dávali reklamu na panenku CHOU CHOU a dokonce s chůvičkou, která dítěti řekne, co má s panenkou udělat- nakrmit, přebalit..... Kde je nějaká invence od dítěte, nějaká fantazie, výmysly..? V dnešní době je hraček spousta, ale většina je fakt na nic...
Nikolka byla například strašně štastná, když se mohla patlat v kuchyni a jako péct. Stačil ji jen papír, voda, mouka, kafe, obal od másla a nějaká nádoba a opravdická mámina váha 🙂 Jo a potom hodně mojí trpělivosti a úklidu.
Ale byla neskutečně štastná a vydržela u toho dlouho.
To se potom člověk fakt trochu zamyslí.....hlavně před Vánoci a úprkem za dárky....
Dneska k doktorce do centra, hurááááá vyplením pár obchodů, snad něco stihnu a Elča vydrží jako poslušná holka co nejdéle bez mlíčka, když tak to bude jistit fláša....... Mám velké pomocníky, přijede v poledne manžel a babička, tak ty dvě dračice určitě zvládnou 🙂 Já už jsem dospat nemohla 🙂
Elenka už se směje někdy nahlas nebo lépe řečeno jako hejká 🙂 je to roztomilý, ale co už je méně roztomilý, že za celý den zaspí dobře jen v kočáře, což je ted v zimě na prd....
No a ještě má jeden nešvar díky kterému nejsem schopna udělat nic.. Nejenom že nespí přes den, ale ona chce ještě 100% pozornost, jakmile dělám opičky, chrastím hračkama, zpívám, nosím, tak je v poho, jinak vyřvává ☹
jak se peče cukroví s mimčem, které chce celodenní pozornost a přes den nespí:
ráno zapnu troubu, vyndám těsto........není čas........ vyválím těsto, nejde vykrajovat, je moc měkké, takže na chvilku ho hodím do mrazáku.....není čas..... vyndám těsto z mrazáku, je jak beton, trouba stále běží.....není čas..... vyválím a vykrájím pár kousků..... není čas...... oblékám Elen a jdeme do deště ven, když jsem totálně durch, jdu s kočárkem domů a skoro ještě v bundě vykrajuju a dávám do trouby, potom ještě ven s kočárem a potom házím poslední zbytky do trouby.... a výsledek, pár kousků lineckého a to ještě není slepené....
No asi to bude moje jediné cukroví letos.... 🙂 Ale tak nevzdala jsem to úplně...🙂
moc děkuji za srdíčka 🙂
Nikolka minulý týden zaperlila, ráno jsem přebalovala Elenku a Niki vždy zajímá, jestli je pokakaná, zajásala s upřímnou dětskou radostí a pronesla:
" Hurá není pokakaná, už je veliká, asi bude moct jít do školky..." Nikolka se totiž do školky moc těší a vždy, když se jí něco povede, že se třeba sama oblékne, tak jí říkáme, že asi bude moct jít do školky 🙂
Tak Nikolka je po 5 dnech co byla zdravá zase marod, kašel a rýma, horší je, že to chytla Elenka a já jsem z toho na nervy ☹ Je ji teprve měsíc.... mohla bych odsávat pořád, dost pláče chudinka a já si nějak nevěřím, že to vše zvládnu......
Elenka 5 týdnů a 1 den-4690g a 58cm, no moc nepřibrala, při propuštění z porodnice měla 4000g, ale zatím to kojení nějak jde..... Ale vyrostla pěkně 🙂
Někdy mě ty rady, co tady čtu přijdou fakt vtipný, př: podpořte laktaci : co nejvíc přikládat ve dne v noci, odsávat ve dne v noci, jíst a pít ve dne v noci... A kde je spánek? To mám po třech dnech padnou vysílením, ale mlíka budu mít dostatek??? A co druhé dítě, které je se mnou celý den doma a chce taky chvilku mého času? No to jsem si jen tak postěžovala 🙂 Nebo prostě nejsem super matka...
Elenka se po ránu už krásně usmívá, dnes hodila i pár úsměvů na Nikolku a Nikolka pronesla : " Asi mě má ráda ." Začínám chápat kouzlo mít 2 děti, i přes ten každodenní kolotoč 🙂
Tak klid končí, Elen už taky řve, ach jo, myslela jsem, že to bude lepší než s Nikolkou.... Tak že by zase strašné první 3 měsíce... ☹
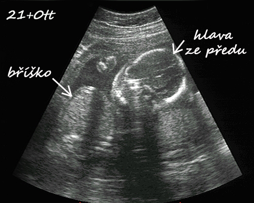
40+3tt
Tak skóre po dnešním dni, Niki má možná spálu, já možná tím pádem taky a v porodnici dnes okomentovali, že mám velké břicho a tak mi udělali odhad váhy a je 4000 g, jdu se odstřelit, snad se sekli ☹
Dnes termín porodu a Niki má horečku přes 39°C, nic jiného ji zatím není... To vyšlo fakt skvěle ☹((
Dnes termín porodu a já jsem v celku. Holky vy mi teda v tom břiše dáváte, jedna se drala ven brzy a druhé se zase nechce...... Jestli já se z vás, až bude i ta druhá venku nezblázním 🙂))) Jste paličaté už v tom břiše, ale asi máte po kom 🙂))
9 dní, nikdy jsem si nemyslela, že takové číslo na počítadle uvidím, snad nebudu přenášet... Že by bylo první dítě nedonošené a druhé zase přenošené? To moje tělo si dělá co chce.
Nikolky oblíbená hra, vezme vařečku v kuchyni a zahuláká na tátu: " Táto utíkej. " a honí ho s jekotem po bytě. No a za nějakou dobu se vystřídají,ale ta první část hry ji baví víc obzvlášt, když táta při každé trefě zařve 🙂
20dní do termínu, 38tt, tak kdy to přijde??? Po včerejší kontrole v porodnici otevřená na prst a cs 5, tak uvidíme 🙂 Jinak včera super den, sluníčko, dobré jídlo, Niki spokojená na velkém hřišti a večer grilovačka, takže super finále 🙂))
Není nic lepšího, než mít před termínem porodu nemocnou celou rodinu, že bych si nakonec užila třeba porod s parádní chřipkou a úplně zacpaným nosem..... Jak mi ten podzim a zimu přežijeme a hlavně to miminko ....
aaa 37tt tady, 28 dní do termínu, dotáhla jsem to fakt daleko, snad nakonec nebudu přenášet 🙂 Bolí mě už všechno, ale hrdině jsem se dnes namalovala, hezky oblékla a jdu si ten den užít, Niki odjela s babičkou a dědou na chalupu, tak mám pár posledních chvil pro sebe a venku je nádherně 🙂
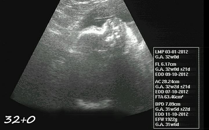
55 dní, začínám 33tt, miminko má cca 1930g po včerejším měření, je hlavičkou dolů. Jsem na tu naši druhou holčičku zvědavá, jestli bude podobná Niki nebo jiná. V noci už se moc nevyspím a po porodu to nebude lepší 🙂
60 dní, ty jo to už není moc velké číslo.... Prcku drž se v bříšku i když je to náročný, místo klidového režimu předělávání ložnice a do toho tvoje divoká sestřička, ale když to jen trochu jde snažím se ležet.........
Nikolka byla včera odpol. s babičkou na koupališti a píchla ji vosa do jazyku. Jela sanitkou do nemocnice, dostala léky, ale naštěstí ji to moc nenapuchlo. Snad ji to dnes už nebude moc bolet. Já jsem jela vystresovaná hned za nimi, byla jsem totiž doma a snažila se ležet. Tak klidový režim byl ten tam. Doufám, že budou holky držet partu a malé se nebude po včerejším lítání po Praze chtít ven....Chudák babička, ta je vyklepaná ještě ted...
začínám 30tt-24.7. ultrazvuk, malá je snad zdravoučká a už ted je to naše láska 🙂 má odhadem v 29+0tt 1357g, rozměry bříška a hlavičky odpovídají stáří, ale nožička je o týden delší. No prý to bude dlouhán, což mě pobavilo, protože Nikolka měla při narození jen 43cm ( 36+3tt ). Tak uvidíme, jestli budou sestřičky každá úplně jiná 🙂
Tak dnes rovných 80 dní do TP, jen tak dál. 🙂 Už začínám být klidnější, že to snad zvládnem nějak donosit, ale zároven nervóznější, že ještě není nic hotovo, hlavně nová ložnice. To je tak, když se člověk díky prvnímu těhu bojí dělat něco dopředu....



































































































































































































