Mimínek
Tak jsme se taky rozhodli stát se rodiči....v zimě 2007 jsme to nechali na přírodě a 21. dubna 2008 jsme zjistili, že budeme tři. Bylo to krásné zjištění, částečně i překvapení, že se povedlo docela brzy...
Těhotenství probíhá krásně, jen zkraje mne doktoři trošku vyděsili cystou a zvýšenýma onkomarkerama, tak jsme museli několikrát na krev...a vše se samo upravilo...těhotenské nevolnosti neznám,baštím vše, jen zelenina není má kámoška...a ulítávám na vývarových polévkách.... je mi fajn no, občas "těhotenská náladička", ale vše v normálu....
V 19+4 cítím první pohyby, šťouchanečky...jak kdyby mi tam pochodoval křeček🙂
V 19+5 tzn. 8.82008 jsme šli i s manželem na velký UZ a pan doktor nám potvrdil, že je vše v pořádku a že čekáme....chlapečka. (byli jsme chvíli zaražení, protože jsme byli přesvědčení o holčičce, ale po zvyknutí si na fakt, že čekáme chlapa jsme rádi a moc se těšíme). Jméno máme vybrané už 3 roky...a to Tobiáš🙂
Kompletujeme výbavičku, už máme kočárek, autosedačku, plný obří pytel oblečků po synovcích, něco pěkného nového jsme koupili, taky máme přebalovák, postýlku, chůvičky, nanny (vše díky sestře, která nám vše půjčí)...no, kromě kosmetiky a plen máme snad už vše.
Těhotenství si stále užívám, jen to tloustnutí mne děsí...na začátku 24. týdne mám + 8 kg...no, naštěstí se to na postavě 187 cm jaksi rozloží🙂. Ale zatím si nedokážu upřít mlsání a baštím vše...ať se dítě má🙂
Den 16.9.2008 měl být dalším krásným dnem našeho těhotenství, šli jsme na UZ kvůli placentě...no, měla to být brnkačka...ale ...
Panu doktorovi se nelíbily mozkové komory našeho broučka, že jsou moc velké, tak si nás pozval k Apolináři hned na druhý den. Tak to konzultoval ještě s kolegou, kterému se to taky nezdálo a ani nenašli část mozku- spojnici mezi dvěma hemisférami....proto hned mažeme na magnetickou rezonanci...40 minut si s Tobíkem "užíváme" tunelu a doufáme, že vše bude OK...ale bohužel dobré zprávy nepřišly...MR nezobrazila to, co by měla...jsme poslaní na genetiku, já brečím jak želva a jsem v šoku. Paní doktorka je moc milá, snaží se nám vše vysvětlit, ale její verdikt, že je to tak 50/50 - zdravé/postižené dítě mne děsí...vždyť je to 1:1!!!!! Po domluvě a doporučení se objednáváme na AMC, v lepším případě na odběr pupečníkové krve....
Věříme stále v to, že nebude tak zle....modlím se na všechny stany, i k Bohu, i když nejsem věřící....
Máme po odběru....nic moc příjemného, hlavně to napíchnutí pupečníku moc nešlo, netekla z něj krev...ale na poněkolikáté se zadařilo, takže máme krvinku, plodovou vodu, i krev mi brali....no, vše, co se dalo...teď čekání na výsledky. Bohužel i když vyjdou dobře, nemáme vyhráno...jsou to prý jen body k dobru...ale nic nezaručují.
29.9.2008 - výsledky KARYOTYPU VYŠLY DOBŘE!!! Je to dílčí úspěch, ale ještě nemáme vyhráno...jak poznamenal docent Calda, jsou to pouze body k dobru...a teď se bude čekat dál...na výsledky UZ, vývoj, porod...a vývoj poporodní....snad už to horší máme za sebou...prosím za to "vrchní sílu"...a děkuju všem za podporu. Prosím držte palečky dál🙂!
7.10.-výsledky cukrovky jsou v pořádku...
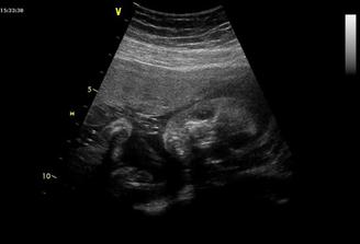
15.10.- další kontrolní UZUZ nedopadl moc dobře, komory se zvětšily na 16 mm...bohužel doktoři nedokážou nic víc k tomu říct...jen že to není dobré, ale ještě není nic ztraceno...další UZ 5.11.- Tak zas pár milimetrů nárůst (na 19 mm)...co to přinese? Bůh ví...další UZ 26.11....pak už asi kontroly v porodnici, kde budu rodit - v Motole. Komory si rostou dále jak chtějí, i když nám se to vůbec nelíbí...22,5 mm.
3.12. - První poradna v Motole...vše, co se netýká toho našeho problému OK, jinak čekání bylo opravdu, ale opravdu dlouhé...3 hodiny
5.12.- konziliární UZ v Motole....zas výsledky horší....komory 27 mm!!!! Podle doktora je jasná oboustranná totální ageneze corpus callosum, 4. mozková komora hraniční stav, to zvětšení už je hydrocefalus a mírně již zvětšuje mimču hlavičku.....Porod by chtěl doktor uspíšit, aby hlavička ještě víc nenarostla, takže před Vánoci....Myslela jsem, že už mne nic nerozhodí, ale rozhodilo...rozbrečela jsem se tam normálka natvrdo, nějak mi docházej síly a optimismus. Nevím, jak to zvládnem...
Další kontrola v Motole - poradna OK - moč, tlak, streptokok , monitor v pořádku...na vyvolání porodu se zatím nechystají...prý nejsou připravené porodní cesty a čípek je zavřenej...no, to mám teda radost, že každý doktor říká něco jiného...tak budeme čekat další týden....
















































