icon
avatar
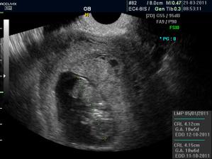
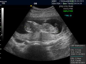
tereska
24. únor 2011

Pidižva č.2 a č.3... :o)

avatar

ahojky, no krásnýýýý, takže je to pravda, jak jsi mi psala, jupííí, jen houšť dvojčat 🙂)))))

Odpověz
7. bře 2011
avatar
tereska
autor

@elis.1 elí je to krásný, ale to víš, trošku se bojím, aby bylo všechno v pořádku. Ale jsou nádherný a jak se mrskali...:o))) mi budeš muset dávat rady jak na dvojčata...:o)))

Odpověz
7. bře 2011
avatar

Jé, to je krásný a neobvyklý vidět uz dvojčátek 🙂 Moc držím palce, ať je všechno v pořádku a přeju hodně sil 🙂

Odpověz
20. bře 2011
avatar
tereska
autor

@barbarik moc děkuji!!! :o)

Odpověz
20. bře 2011