Těhotenství týden po týdnu - 29 týden

29. týden těhotenství
Co se děje s vámi?
29. týden těhotenství již vážíte asi o 7 – 8 kg více. Hůře se vám dýchá, při rychlejší chůzi či chůzi do kopce se velmi zadýcháte. Mohou vás začít trápit stahy dělohy (tzv. poslíčky), které nyní již můžete vnímat i mírně bolestivě. V prsech se začíná ve větší míře tvořit nažloutlé kolostrum, které bude po porodu první důležitou stravou pro vaše dítě. U některých žen jej lze vytlačit bradavek již od počátku těhotenství.
Děloha tlačí na močový měchýř, chodíte často močit, a to i v noci. Hodně se potíte, dbejte o dostatek tekutin!!
Je zcela běžné, že už byste těhotenství chtěla mít za sebou. V posledním trimestru se celý organismus včetně psychiky ženy začíná připravovat na blížící se porod. Někdy se vám dokonce může v noci opakovat sen, že už rodíte.
Právě jste se přehoupla do osmého lunárního měsíce vašeho těhotenství. Plod během následujících týdnů začne zaujímat polohu hlavičkou dolů.
Děloha je nyní asi centimetr pod hrudním košem. Pohyby miminka můžete někdy vnímat bolestivě. Stále častěji potřebujete močit, v noci někdy musíte kvůli tomu vstávat. Od nynějška budete přibírat asi 1,5 kilogramu za měsíc. Vaše pánev se začíná rozšiřovat, připravuje se na porod. Přemýšlíte, jaký bude? Zvyšte denní příjem vápníku, který najdete v mléce či sýrech. Pravděpodobně vás také potrápí dušnost při pohybu. Dýcháte totiž za dva a vaše plíce musí vstřebat o 20 % kyslíku více a samozřejmě vylučují více oxidu uhličitého.
Podle čeho si mám vybrat porodnici? Pokud máte v okolí více porodnic nebo vůli jet i do porodnice vzdálenější, určitě si můžete udělat určitý obrázek i ze statistických údajů. Ptejte se: kolik císařských řezů se v ní ročně provede, kolik a jakých má porodních pokojů, musí se platit za přítomnost otce u porodu, zda porod vede porodní asistentka či lékař, zda jsou k dispozici nadstandartní pokoje, jaké procento žen se v porodnici rozkojí, jak jsou novorozenci označeni, aby nedošlo k záměně, zda si můžete vybrat porodní polohu či porod do vody a podobně.
Relaxujte, nohy na stůl – a to doslova! Některým ženám se vytvoří v důsledku zvýšeného tlaku a působením těhotenských hormonů, které oslabují stěny cév a tepen, křečové žíly a hemoroidy. Odtoku krve pomůžete přirozeným způsobem podepřením chodidel například při spánku, přes den noste podpůrné punčochy a nestůjte dlouhou dobu na jednom místě ani na jedné noze. Proti hemeroidům (tedy nateklým svědícím cévkám kolem řitního otvoru) můžete použít dočasnou záchranu – pytlík s ledem, klasický toaletní papír nahraďte zvlhčenými ubrousky. Jezte stravu bohatou na vlákninu a dbejte na dostatečný pohyb.

Co se děje v bříšku?
Miminko postupně tloustne, vytváří si zásoby tuku, aby udrželo stálou teplotu těla po narození. Rychle tudíž přibírá na váze.
V šedé mozkové kůře, která dosud byla téměř hladká, se začínají vytvářet mozkové závity. Tvoří se též další a další nová nervová spojení, dotváří se mozkové obaly a obaly nervů pro jejich ochranu a správnou funkci.
Smyslové orgány jsou již vytvořeny, jsou dotvořena očička (zornice reaguje stahováním a rozšiřováním na světlo), miminko má dobrý sluch (pozná váš hlas i hlasy blízkých, rádo poslouchá hudbu, hlasitých zvuků se poleká), je vytvořen hmat i chuť.
Protože polyká velké množství plodové vody, často trpí škytavkou, což vy zcela jistě poznáte také.
Hlavička už proporčně odpovídá celku. Mozek roste velmi rychle a vytlačuje měkké lebeční kosti ven. Zvětšuje se nejen objem mozku, ale i jeho povrch se zvětšuje díky rozrůzňování záhybů a rýh. Může řídit dýchání a tělesnou teplotu. Miminko má otevřené oči, stále lépe rozeznává zvuky a chutě. Očička se pohybují, zorničky reagují na světlo. Přibývá tuku v podkoží. Orgány pokračují v růstu. Děťátko má delší vlásky. Kosti miminka se prodlužují a sílí. Pohyby jsou v tomto období poměrně intenzivní, prostor pro akrobacii se pomalu zmenšuje, ale stále ještě mámu kope a napíná končetiny. Dítě je velmi citlivé na nejrůznější podněty – světlo, zvuk, chutě i vůni. Dokáže dokonce rozlišit rozdíl mezi přirozeným světlem a umělým osvětlením v místnosti.
Ve 29. týdnu těhotenství měří plod zhruba 39 cm. Pro určení délky plodu se nyní používá součet délky hlavičky, trupu a nohou. Váha plodu je nyní zhruba 1150 g.



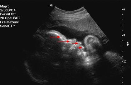
Profil obličeje při III. ultrazvukovém screeningu ve 30. týdnu těhotenství. Šipky zleva doprava označují: čelo, nos, horní a dolní ret.

Doporučujeme
Začni psát komentář...


