Hysteroskopie. Přímý přenos z dělohy.
Hysteroskopie je endoskopický gynekologický zákrok, při kterém zavádíme skrz pochvu a hrdlo děložní do dělohy kameru. Jsme tedy schopní posoudit, jak děloha vypadá uvnitř. Popsat, zda je dutina souměrná, jak vypadá děložní sliznice a jestli jsou viditelná ústí vejcovodů.
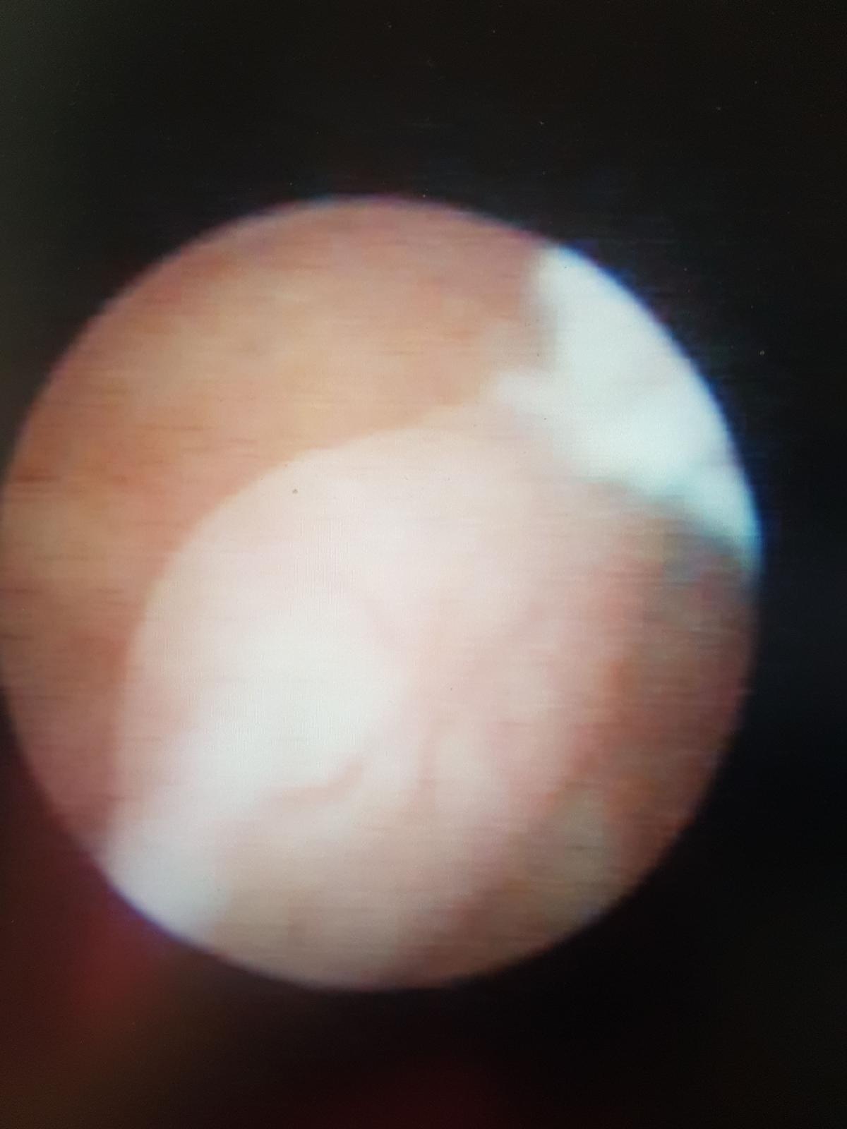
Na obrázku můžeme vidět pohled od děložního hrdla na celou děložní dutinu. V normálním stavu je přední a zadní děložní stěny na sebe ,,připláclá´´. Abychom v děloze viděly, musíme jí naplnit distenčním mediem, což je u hysteroskopie většinou fyziologický roztok. Funguje to tak, že z kamery hysteroskopu vytéká fyzologický roztok ohřátý na teplotu těla a tím se děloha naplní. Vidíme tedy přední a zadní stěnu. Levou a pravou hranu děložní a v rozích vidíme malé tmavé tečky a to jsou ústí vejcovodů.

Diagnostická hysteroskopie
U diagnostické hysteroskopie jde pouze o podívání se do dutiny děložní, zda je vše tak, jak má být. Je možné ve vybraných případech výkon provést i třímilimetrovou optikou bez anestezie a to i ambulantně. Většinou k diagnostické hysteroskopii připojujeme biopsi endometria - odebrání malého vzorku děložní sliznice.
Operační hysteroskopie
Operační hysteroskopie je nitroděložní operace prováděná pomocí hysteroskopu operačního popřípadě resektoskopu. Jsou to situace, kdy je v děloze zjištěná nějaká patologie, kterou je nutno vyřešit. Většinou se jedná o patologicky vysokou děložní sliznici, polyp nebo myom vyklenující se do děložní dutiny. U operační hysteroskopie je nutná anestezie a dilatování (roztahování) děložního hrdla.
Ve vybraných případech a při dobré spolupráci pacientky jsme schopní odstranit malý polyp nebo drobná rezidua po porodu i již zmiňovanou třímilimetrovou optikou bez anestezie. (Pozor ne na všech pracovištích!!!!)
Na obrázku máme malý přibližně 7 mm velký polyp vycházející z levé děložní hrany.

A tady jsou jž vidět rozmazané kleštičky, kterými jsem polyp chytla u jeho stopky a odstranila z dělohy. Výkon trval okolo 5 min a byl bez anestezie. Pacientka odcházela půl hodiky po operaci domů a hodnotila hysteroskopii jako naprosto bezbolestnou.

Nejčastější indikace k hysteroskopii
Polyp endometria
Submukozní myom
Silné menstruační krvácení
Sterilita, infertilta
Rezidua post partum (zbytky placenty po porodu)
Ashermanův syndrom, nitroděložní srůsty
Krvácení v postmenopauze
Patologicky vysoké endometrium
Zajímavost na konec
U nás na klinice děláme i hysteroskopickou úpravu posunutého nitroděložního tělíska do správné polohy.
Doporučujeme
Začni psát komentář...



To je super, moc děkuji za vaše články, tyhle věci je dobré vědět 🙂