1.IVF v červenci, srpnu 2011. Přidejte se také.
ahoj holky, v červenci nás čeká 1IVF - jste natom podobně? pojďme do toho spolu 😉
@flyaway jo jo... byla jsem dnes na krvi, ale zaspala jsem a přišla za minutu půl osmé.. takže na poslední chvíli 🙂 Ty jsi předpokládám zodpovědnější osoba a tak je jasný, že jsme se minuli 😉
Ale to nevadí... hlavně že se máme tady..... a že je nám tu spolu dobře 😉
@111janinka Já bych až tak zodpovědná nebyla (popravdě spíš všude chodím pozdě), ale manžílek je naprosto dochvilný a strašně stresuje, když někam jdem o minutu později, takže jsme tam pro jistotu byli už před sedmou 😀 . No ale tak zase jsem to měla s odvozem tam, s odvozem zpět do Vyškova a pak jel zase zpátky do Brna za prací - zlatej chlap! 😎
@111janinka Jééé, já bych hned někam odjela do přírody! 😵
No, aspoň že chodíváme na procházky do lesa o víkendech, přes týden bohužel 😒
Naštěstí mám v práci fakt velkou výhodu a to, že můžu v těchto dnech pracovat z domu a do kanclu zajít tak jednou za týden - když si tady tak čtu, jak při tom píchacím maratonu chodíte do práce a jezdíte na služebky, tak si říkám, že mám fakt víc štěstí jak rozumu 🙂 .
Jejda, akorát s tím přesným časem píchání jsi mě celkem zarazila - já se sice snažím si to píchat tak nějak ve stejnou dobu, ale občas mi to nevyjde - někdy si to píchnu v osm, někdy až kolem deváté, dneska dokonce v šest (kvůli té krvi), myslíš, že by to mohl být problém?! 😨
@cuddle ahoj, držím vše, co mám 🙂 Byla jsem i za vás pohladit Františka 😉 takže to musí vyjít a bobískům (nebo bobískovi) se bude u vás moooc líbit
Ahoj holky,mam dotaz..ve vasem Caru kdyz jdete na ET,vidite na monitoru jak vam tam embryjka zavadi??? ja chodim do Repromedy a tam absolutne nic..jen odejde embrylozka do kanclu s kukne pod microskop jestli tam udajne nezustali embrousci nalepeni na pidete..takze jistota nulova...jak je to prosim u Vas??? diky moc za info...
@bublenudle Ahojky, já na ET zatím nebyla, takže jak to probíhá v našem CAR nám pak poví cuddle, která si dnes v bříšku přinese domů bobánka (nebo bobánky 😵 ). Nicméně jsem tu absolvovala IUI a při tom mi nikde nic neukazovali, tak nevím. A Ty máš info, že někde to ukazují?
@flyaway Ahojky,,dekuji..jj,v nekterych carech to vidis na monitoru..ale u nas ne...tak jsem z toho trosku nervozni,kde je jistota,ze tam mimi jsou...no jo,po 2xIVF +1xKET nevydareny s dobryma embryjkama clovek uz mysli na vse..jdu ted na 3IVF..tak zacinam plasit..
@bublenudle Neboj, do třetice všeho dobrýho 😉
Koukám jsi tedy zůstala věrná jednomu CARu? A kdy že to vlastně začínáš se stimulkou (pokud už jsi to tu někde psala, tak se moc omlouvám za mou "ignoraci", ale už se v tom množství informací trošku ztrácím 😀 )?
@flyaway ano jsem v Repromede v Brne....ja ted v patek jdu pro vysledky vysetreni,co se delali,mela jsem na jare jeste ke vsemu mimodelozni tehu,prirozenou cestou..tak se delali testiky..no a 24 mam dostat ms,tak doufam,ze zacnu hned se stimulkou a srpen ET.... 😵
Holky, já tak nějak cejtím v kostech, že nám to všem tentokrát určo vyjde 😎 !
@bublenudle cerstvej zazitek - na monitoru pred sebou ti ukazou embryjko, doktor mi ho popsal a slecna v laboratori ho nasala do te transfer hadicky a donesla k transferu, pak na ultrazvuku ukazovali zavadeni , je to takova mala fazolka a jeste mi vytiskly fotecku, takze vsechno zdokumentovano 🙂
@flyaway byli jsme jeste na obede a tak , takze jsme dosli az nejak pred polednem, ano jak rikas, embryolozka vysvetlovala negativa vicecetneho tehu, a ze pokud par chce 2, tak jeste se to resi s primarem a ten nam ukazoval statistiky zavadeni 2 embryjek a jejich vysledky hovori - zavedes 2 - ze se ujmou obe sance 35-40%, ze jedno 50-55%, pokud zavedes 1 a 1 zamrazis, sance, ze otehotnist IVF + KET je 70-75% , a ze drivejsi myslenka, ze se udrzi aspon jedno, je spatna, ze pokud je jedno spatne spis znici i to dobre, a ze zrovna minuly tyden meli potrat dvojcat v 17 tydnu , a ze je to mnohem horsi nez kdyz ti nevyjde 1 IVF a vyjde pak KET, a ze to nase embryjko je tak krasne, ze zavadet k nemu druhe by bylo jeho promarneni , takze nakonec jsme souhlasili s nazorem odbornika a verime jim, predstava dvojcatek je sice hezika, ale tak i to zdravi je dulezte, nez si pak vycitat, ze jsou treba nedonosene, nebo ze maji nejake problemy
@flyaway citim se dobre, unavena jsem porad, koupila jsem si nutridrinky, to mi doporucila kamoska, sice pry sem mela uz od OPU, ale ja myslala, ze od ET, pry to podporuje pripravu pro miminko a dodava ti potrebne vitaminy, energii - takze to a jeste jsme dostali nejake tabletky v caru , takze ty budu mit s utrosem az do testiku, na papiru mi dali 10 den testovat....
Tak potvrzeno 150 jednotek, se stimulkou začínám zítra a v pondělí jdu na kontrolní odběr.
Konečně se něco děje... 🙂
@flyaway ty je to v lekarne, stoji to cca 50 jeden a je to na principu takovych tech mlecnych napoju, ale myslim, ze tam mleko neni - muzes mit ruzne prichute nebo neutral, zkusim to , ji to vyslo na poprve 🙂
http://www.nutriciamedical.cz/enteral/article.p...
@flyaway Tak se ještě hlásím před odjezdem na zbytek dovči 🙂 Dle dnešních výsledků jsem si ještě dopíchla dávku Menopudu a od zítřka už 3 ampule. Raději se mi ani nechce přemýšlet nad tím, jestli je to zvyšování dávek dobrá nebo špatná zpráva. Každopádně do soboty se zaměstnám procházkama a užíváním lesa, řeky, louky, zpěvu ptáků a 24 hod. společnosti manžela 😉 V sobotu další krev a ultrazvuk a hned se vám sem přijdu pochlubit co a jak 😉
S tím přesným časem píchání to osobně taky nepřeháním... mám rozptyl i skoro hodinu. Ono se zvlášť na dovolené ráno špatně vstává, když jdu do práce tak holt vím že musím. Jen jsem citovala sestřičku v CAR když jsem tam byla prve na krvi a ona mi to tak vysvětlovala, že nejlépe píchat ve stejný čas aby hladiny nekolísaly.
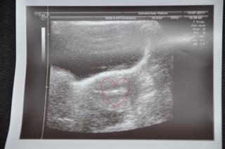
@cuddle moc děkujeme za nádhernou zprávičku o postupu a hlavně za úžasný obrázek se kterým jsi se s námi podělila. Vypadá to tam útulně... takže nevidím důvod proč by se tam prckovi nemělo líbit. 😉 Jen ať se mu tam pěkně daří a vyřiď mu (jí) že tety chystají podobné domečky pro kamarády a že musí pěkně růst, aby ho pak naši prcci nepřeprali 😉
@cuddle Do ktereho caru chodis?? tak fazolku pekne opatruj 😵
@cuddle tak já myslela,že se čeká až do konce PK,kolik jich bude schopných a oni ti už dnes jedno zavedli a zítra se dozvíš jak se vyvíjí další,..hmm,to je pro mě nové.To takhle dělají všude?Po přečtení tvého příspěvku jsem usoudila,že pro mě asi taky bude lepší jednoho dne zavést 1embryo,taky bych se bývala rozmýšlela,ale možná bych se toho bála i vzhledem k tomu,že zrovna nepatřím k těm hubenějším 😉 Prostě jsem holka krev a mlíko...jsem si myslela,že když budou dvě,že bude aspoň větší šance a ono néé 😒 .Přeji ti,ať se u tebe hezky uhnízdí a nepustí se tě 😉
@111janinka Tři ampule?! 😲 A k tomu ještě ty "brzdící" injekce? Kolik ml si teda vlastně toho menopuru pícháš? A to musíš píchnout 3x nebo si to natáhneš do jedné injekce?
No já se pokoušela spočítat, jaké množství si vlastně budu píchat toho puregonu, tak mě vyšlo na ml nějak hrozně málo oproti tomu decapeptylu - je to možný, že by to bylo jen cca čtvrtinové množství? 😨
@bublenudle Helios jako flyaway a 111janinka, sesly jsme se tu 😉
@111janinka neboj, je to dle vysledku narustu hormonu a oni prave poznaji jestli to staci nebo ne, dobre ze ti zvysuji uz na zacatku, nez kdyby to nestacilo na konci, takto ti zase muzou ubrat, ja mela taky 3 a pak dokonce pulku 4, hlavne v klidu 🙂
@luca77 no vis co oni je kultivuji max do 6 dne, cim driv je z nej blastocysta tim lip, je to znamka o kvalite, takze rovnou transferuji a nebo mrazi, zitra se rozhodne o tom zbytku, ty co nedorostou jsou holt predurceny k likvidaci , nemaji sanci prezit zmrazeni a nasledne rozmrazeni pro KET, a vic jak 6 dnu se nekultivuje - to uz neni mozne


@cuddle ano, já se dovoluji 😉 je strašně fajn být v tomhle počasí v přírodě 🙂 sice je trošku nepříjemné to ranní vstávání (proč já blbec si nezačala píchat odpoledne) ale alespoň to mám vždy na celý den za sebou 🙂
prozatím si píchám 150 Menopuru a odpoledne se dozvím nové dávkování a termín následné kontroly krve a ultrazvuku. Jupíííí na ten se těším 🙂 SNAD bude všechno v pořádku a já už budu konečně vědět víc a budu zase o kousek blíž vytouženému cíli.
Je mi líto, že se ti nedaří ty dvojčátka ☹ Musím ale přiznat, že jsi mě s touhle myšlenkou původně docela nahlodala. Tedy do chvíle, než jsem přijela na tu dovolenou kde byla mimo jiné i kamarádka se dvěma dětma cca 1,5 roku od sebe (1,5 a 3 roky). Musela tam být bez manžela a to ti teda povím, zápřah jako hrom. Jedno se rozeběhne jedním směrem, druhé druhým a člověk aby se v tu chvíli naklonoval 😉 Z toho horka byli nervózní všichni, takže neustálý pláč.... zlatý jedináček 😉
Ono .... člověk míní a život mění... a všechno zlé je pro něco dobré..... takže třeba to tak mělo být a alespoň si ušetříš ty rizika.
Každopádně na tebe dnes budu moooc myslet a přeju aby se u tebe prckovi zpátky moooc líbilo 😉