Kaz na zubu, i když jsem byla na kontrole. Je možné, že to pan doktor neviděl?
Zodpovězené22. bře 2022
Dobrý den,
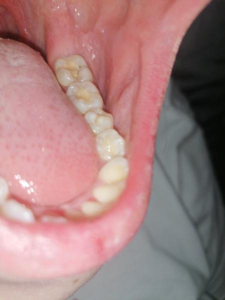
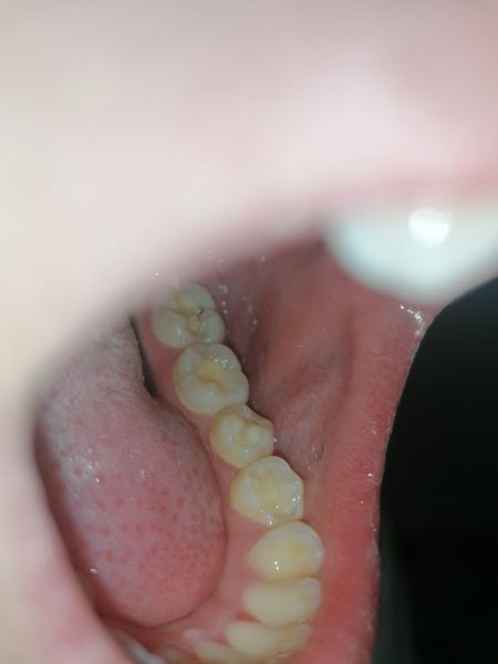
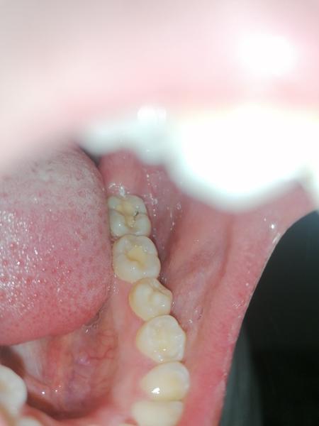
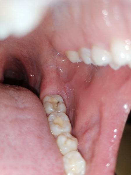
dnes ráno jsem byla u zubaře po půlroční prohlídce. Kromě čištění zubního kamene pan doktor řekl, že je vše v pořádku. Po čištění jsem objevila takový zvláštní povlak na zubu.
Mohla bych se zeptat, jestli to prostě pan doktor jenom neviděl a není to třeba kaz?
Zkoušela jsme to seškrábnout, ale úplně mi nepřijde, že by to šlo.
Děkuji za odpověď.




Dobrý den,
z fotky samozřejmě nemohu soudit, může to být pigment nebo taky spára mezi výplní a Vaším zubem. Pokud máte pochybnosti, zkuste se objednat k Vašemu lékaři, aby to s Vámi zkonzultoval.
Přeji Vám krásný den.
Magda Kováčová