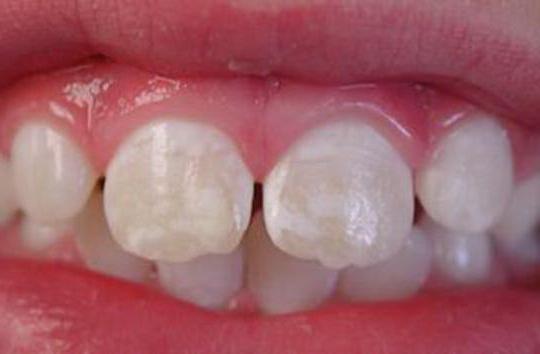
Už jste slyšeli o fluoróze? Jde o poškození buněk tvořících zubní sklovinu, které vyvolává příliš velký přísun fluoru v období mineralizace skloviny - tedy při růstu zubů. Vyskytuje se na mléčných zubech dětí, ale může se vytvořit i na druhých zubech, pokud je při jejich růstu (v prvních osmi letech života - v době, kdy se zakládá a vyvíjí stálý chrup) přísun fluoru stále nadměrný.
Proto je vhodné používat dětské pasty s přiměřeným obsahem flouru pro daný věk a u dětí, které ještě neumí správně vyplivnout přebytek zubní pasty, je dobré vybrat dětskou zubní pastu bez fluoru (např. Weleda), nebo variantu s nižším obsahem fluoru.
U nás jsme si s manželem momentálně oblíbili pastu bez flouru Stomaphyt, kterou střídáme s pastou Elmex.
Více se o fluoróze můžete dočíst ve skupině Phyteneo: https://www.modrykonik.cz/group/7961/
#phyteneo
No hele tohle ma ted vojta na dvojkach zubech a netusim cim to je?
Prosimte ta weleda se da sehnat v lekarne?
@outlaw Ale to nebude myslím spojeno s fluorózou.
K tomu krvácení - nemáš zubní kámen? Zkus navštívit dentální hygienistku - to by Ti mohlo na krvácení pomoct. Někdo má ke krvácivosti dásní sklony, ale obecně - dásně krvácí, pokud jsou v zánětu, což nejčastěji způsobuje povlak a následně zubní kámen (což je vlastně "ztvrdlý" povlak). Nechci tím říct, že si neumíš vyčistit zuby - ono vyčistit si zuby tak, aby na nich nebyl žádný povlak je téměř nadlidský úkon 🙂 Pracovala jsem 5 let jako instrumentářka v zubní ordinaci 😉
Jinak ještě můžeš zkusit zmiňovanou pastu Stomaphyt - je vhodná při potížích s krvácením dásní
@makynaeliska V lékárně nevím, ale viděla jsem ji např. v Globusu mezi dětskou kosmetikou, kartáčky atd... Nebo najdeš na netu.
@makynaeliska míváa jí DM...
@hanica83 zubní kámen naštěstí nemám. Ale je fakt že už jsem u hygienistly nebyla 2 roky 😂 Ale udělalo se mi to na pravé 1 a 2 nahoře a přijde mi že to mám právě z té pasty. Jinak bych to měla asi všude. Nebo ne jen na těchto dbou zubech. Ale zkousím teď už nějakou dobu miswak kartáčky tak uvidíme třeba se to zlepší. 🙂 Stejnak budi muset zas kvůli těhotenský príkazce zaskočit tak uvidím.

Tak mě se tohle začlo dělat až co sem začla používat pastu Zendium. Ale bohužel je to jediná pasta co mi pomáhá na krvácení takže to asi řešit nejde.