Nové snažilky 2016-2017
Ahoj holky, napadlo mě založit novou skupinu pro snažilky, protože ty skupiny, co zde jsou jsou už samé těhulky 🙂) tak pokud jste pri vzájemnou podporu, budu rada ;)
Já uz pres rok nebertu ANTIK. A porad nic, tak jsem se rozhodla uz to jit resit s doktorem, ten mi zacal zkoumat muj cyklus a pri posledni prohlidce rikal, ze mam prijit az dostanu MS, tim padem tento mesic zase nic a pritom to byl teprve 10 den po ovulaci a to si myslim ze nic nemohl videt ☹
Tak uvidime jestli se MS pristi tyden ukaze kez by ne ☹(
Tesim se na vase prispevky 🙂
@destovakapka a dneska jsi TT dělala? kdy jdeš k doktorovi? zkus hned zítra ráno TT, to už by měla být tmavší.. ale jestli krvácíš, tak jdi raději k doktorovi na kontrolu..
Ahoj holky,ja mam aktualne po revizi,tak se chci zeptat,co ze to pijete za caje- kontryhel?K cemu je?A cim jeste podporit dalsi snahy?Po kolika cyklech v pripade potratu jste se zacly snazit znova tehotnet?
@uwe ahojky, tak to mě mrzí, co tě potkalo :( já pila maliník a potom kontryhel, MS po revizi přišla krásně po 28dnech. Snažili jsme se po 2MS, ale 3.MS stejně dorazila. Teď má po ovu tak čekám, jak dopadneme tentokrát. Hlavně to chce odpočinek, klid a na nic nespěchat. Snažím se brát listovku a vitamín E. Brala jsem i gynex, ale úplně mi nesedl.
@destovakapka mne Dr. doporučila Fertipronu pred otehotnením. Teraz som sa dívala na iný web a na rozdiely medzi doplnkami a prispievateľky písali, že Fertipronu im Dr, doporučili pred otehotnením a po // nasadiť Femibion. Fertiprona obsahuje metylfolát, u ostatných aktívnych látok má Femibion rovnaké, alebo zvýšené množstvá.
@destovakapka vypadá to na pozitivní test, dej pak vědět, jak to dopadlo s tím krvácením, má s tím ještě někdo jiný zkušenost?
@aptacek Dneska jsem si TT nedelala,ze jsem si ho delala vcera.
Dneska ranno jsem si volala do car a bylo mi receno ze za 2 dny si mam udelat dalsi tehotensky test a na to krvaceni mi bylo receno ze mam pockat asi to nemam MS.Nic mi na to nedaji.
Volala jsem i na gyndu a tam mi sestricka rekla ze nevi asi neco bude vydet a ze nevi co by mi poradila,ze mam dneska do 11hod.prijit nebo zitra do 11hod.Pak tam doktorka neni.
Na gynde jsem dneska byla.Doktorka se me ptala asi chodim do car,kdyz jsem ji rekla ze ano tak mi rekla ze proc nejdu tam.Nez mi delala ultrazvuk tak mi rikala ze nic neuvidi,ultrazvuk mi delala a rikala ze nic nevidi jenom krvaceni,ze to tehotenstvi neni.Na zastaveni mi nic nedala ani nerekla ze si mam koupit neco sama.Jedine mi vzala krev,to je vsechno.Kdyz jsem se ji ptala asi chce vysledky z pruchodnosti tak mi rekla ze to ma ze ji to poslali.
@destovakapka to tě ani neposlala na krev? Rovnou řekla, že nic nevidí a že to trhu není? Vždyť je brzo, vidět ještě nic nemusí. Co je to za přístup ☹
@destovakapka promiň, krev ti vzala čtu. Uvidis, zkus ještě TT a víc budeš vědět z krve. Ještě vydrž 🙂
Ahoj holky,tak se znovu hlasim.
1) Delala jsem si dneska TT,porad pozitivni ale carka mi pripada stejna jak v nedeli.
2) Volala jsem si na gyndu na vysledky krve,sestricka ze me preda pani doktorku.Doktorka mi rekla ze to mam lehce zvysene HCG mam 74.Jestli krvacim,jsem rekla ze spinim ale mam to porad na 1 vlozku za den,na to mi rekla se to bud rozjede a odende to a kdyz by to pretrvavalo i pristi tyden,ze mam jit na kontrolu do Car ze tam volala.Takze vlastne nevim asi jsem tehotna nebo ne.
3) Po pohovoru s doktorkou na gynde,jsem teda volala do Car asi tam pristi tyden teda jsou,ze tam mela moje gyndarka volat.Vzala to sestricka ktera dneska prisla do prace po dovolene,tak tam vcera nebyla tak nevedela o co se jedna.Tak si nasla moji kartu.Ja jsem ji rekla ze jsem tam byla 25.listopadu na kontrolnim ultrazvuku u pani doktorky,dostala jsem pichnuty pregnyl.26.listopadu ze bylo snazeni.14.,16., a 18 prosince ze jsem si delala tehotensky test a mam to pozitivni.V sobotu 17.prosince vecer jsem zacla slabe krvacet.Od nedele ze uzivam ascorutin.Vcera ze jsem si volala do car,kde se mam hlasit kdyz mam pozitivni tehotensky test.Bylo mi receno ze u nich.Ze za 2 dny si mam zkusit dalsi tehotensky test,prasky nemam vysazovat a ze mam pockat jestli to nemam MS.Ze tam jsou do ctvrtka.Vcera ze jsem byla na gynde u svoji doktorky a ta mi udelala ultrazvuk a vzala krev.Na krev ze jsem si dneska volala a rekla jsem ji to co mi rekla doktorka.Sestricka mi na to rekla ze jsem od nich nic na spineni nedostala ze me to pozistuje,ze pani doktorka tam neni ale je tam pan doktor a ze mi zavola ale ze ja jsem u nich byla poprve na pregnylu a ze by se mela o mne tedka postarat moje obvodni gyndarka a ta by me pry mela neco napsat na to spineni.Me rikala ze pokud to nemam intezivni krvaceni ze to je povazovano za spineni.Tak cekam az to pozistuje a bude mit cas mi zavolat.
@destovakapka tak pošli fotky TT z neděle a dneška, na posouzení, jestli chceš.. hrozný čekání teda, buď silná!
Tedka mi volala sestricka z car,ze zitra mam k nim prijit na krev.
@aptacek Vsechny testy co jsem delala,dnesni test neni popsany dnem.
@destovakapka asi budeš moudřejší z krve. Přijde mi ten dnešní ale slabší ☹ pořád spinis?
@aptacek Od nedele to mam porad stejny,vubec to nesily a mam to na 1 vlozku na cely den.Na toaletaku mam krev ale na vlozce spineni.
@destovakapka no uvidis co hcg z odběru. ale jestli máš i krev, ne jen špinění ...
☹
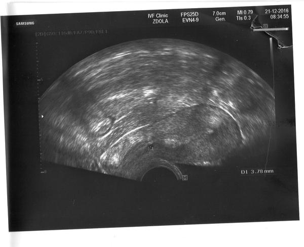
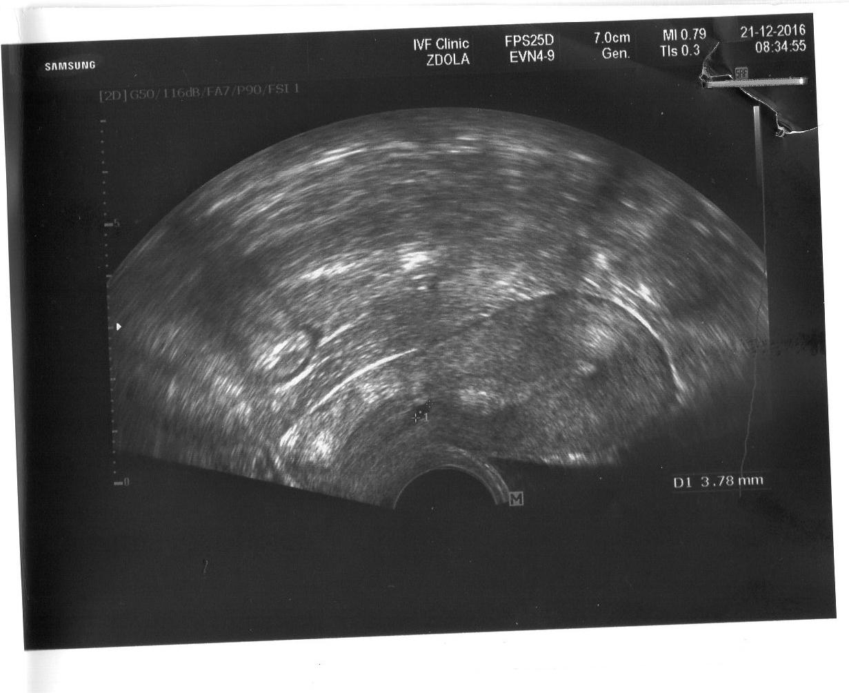
Ahoj,tak dneska jsem mela odber krve + i necakanou prohlidku.Ober krve na HCG mam 30,v pondeli jsem mela 74 takze mi to klesa.Z ultrazvuku jsem se dozvedela ze delohu mam sekrecni bez projasneni,v hrdle deloznim drobne projasneni 4mm-zlazka nebo GS.Nevim co to znamena to projasneni a ta zkratka GS.V patek mam jit na odber krve a na kontrolni ultrazvuk do nemocnice.Ze v patek v car nejsou.Fotka z delohy.
@destovakapka klesa, to je mi líto ☹ těm zkratkám taky nerozumím ☹
Ahoj všem v novém roce, doufám, že nám přinese to, co si přejeme nejvíc.
My si svátky užili, všichni měli radost, když jsme jim to oznamovali, manžel zapíjel 🙂 Těšila jsem se na leden, protože jsem dneska šla poprvé k doktorce, řekla, že je všechno v pořádku, malé odpovídá velikostí stáří a srdíčko mu krásně tluče 🙂 Tak mám hroznou radost. Za 14 dní jdu znovu. Zítra začínám osmý týden.
Také doufám, že nám všem rok 2017 bude přát více než ten předchozí.
Ahoj holky ... tak se znovu ozývám. Dnes je 29.DC - takže čekám, jestli to přijde, nebo ne. MS mívám pravidelně po 28 dnech, a když už, tak 26 dní. Na 31dní se mi protáhla poslední rok jen jednou. Asi tak 3 a 2 dny zpátky slabé vytrvalé pobolívání podbřišku. Teď odpoledne jsem usla, i když jsem celou noc spala. Pokud MS do zítřejšího rána nepřijde, tak budu po dlouhé době testovat.... Co myslíte? 🙂
@lucie7411 jaké máš příznaky na endometriozu? Je ti něco,bolí te něco? snažíme se s manželem 2 roky,rok jezdíme na reprodukční kliniku. Manžel měl zánět v těle, spermiogram total v háji. Teď jsou výsledky lepší. Ja jsem 2 dny nedostala MS a test negativní 😢😢😢 uz pár let mne bolí v pravém vajecniku, picha,svirajici bolest. Chtěla jsem laparo a prý proc.Teď hledám new gynekologa a opet budu žádat laparo. Mam strach z endometriozy ☹
@be_ruska Tak jsem včera večer udělala test...bála jsem se, že je prošlý, byl půl roku u topení. A byly na něm 2 čárky!! 🙂 Další test jsem dělala dnes ráno, čárka byla trochu slabší. Tak snad se to udrží. Je paradox, že tento měsíc jsme na snažení úplně zapomněli ... vůbec žádné vitamíny, žádný kontryhel, apod. 🙂
@deenise89 držím palečky, dobrý nápad s tou skupinou. Já prodělala kiretáž v listopadu a teď jsme se začali snažit. Tak snad to klapne.




Ahoj holky,co je lepsi femibion nebo fertiprona?