Femibion
Femibion – specialista mezi vitaminy pro ženy
Je tisíc a jeden dobrých důvodů, proč být ženou. Užívejte si ten pocit! Femibion může být Vaším skvělým pomocníkem v každém období. Byl vytvořený ženami pro ženy. Rozumí ženám v každém období života, v období těhotenství, kojení i v průběhu jejich aktivního života. Pomáhá a dává ženám skvělý pocit být ženou.
Můžete si vybrat, který z produktů Vám vyhovuje nejvíce a bude Vás podporovat každý den.
Vyberte si svůj Femibion.

Bakteriální vaginóza – co dělat, aby se neopakovala
Nejčastější onemocnění v gynekologii, kterým bakteriální vaginóza je, se potvrdí při vyšetření u 40 až 50 % žen, které mají výtok. V průměru 35 % žen se pak zpravidla potýká s chronickým opakováním tohoto zdravotního problému. Málokterá žena si uvědomuje, že léčba antibiotiky odstraní infekci samotnou, ale nemusí definitivně vyřešit problém. Ten totiž vzniká narušením přirozené rovnováhy poševního prostředí. Ženy trpící bakteriální vaginózou by měly završit antibiotickou léčbu užíváním vaginálního gelu s prebiotiky. Proč? Aby se dosáhlo optimálního obnovení vaginální mikroflóry a snížilo se riziko opětovného výskytu obtěžujícího onemocnění.
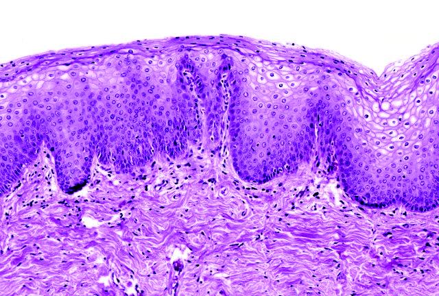
Základem je zdravá sliznice
Poševní sliznice je tvořena několika vrstvami, které tvoří tzv. dlaždicový epitel o tloušťce 3 až 4 mm. Její povrch je osídlen celou řadou bakterií, a to jak těmi prospěšnými, tak nepřátelskými tzv. patogenními, které mohou vyvolat infekci. Ty jsou samozřejmě v menšině, nebo se vyskytují ojediněle. Obě skupiny bakterií žijí v rovnováze a když je vše v pořádku, patogenní bakterie nemají prostor a podmínky na to, aby se dostatečně pomnožily a vyvolaly onemocnění. Jako „potrava“ pro zdraví prospěšné bakterie (laktobacily) slouží živočišný škrob – glykogen uložený v buňkách dlaždicového epitelu. Při jeho štěpení vzniká kyselina mléčná zajišťující kyselé prostředí, které prospívá koloniím laktobacilů a naopak škodí patogenním bakteriím. Pokud sliznice nemá zajištěnou správnou výživu, tloušťku a dostatečné množství glykogenu dochází k narušení vaginální mikroflóry.
Záškodníci
Jak vlastně k bakteriální vaginóze dochází? Příčin může být několik, od nevhodných hygienických návyků, častého střídání partnerů, nadměrného užívání vaginálních výplachů přes používání některých léků (antibiotika, antimykotika, aj.) až po různá zdravotní onemocnění, jako je například cukrovka nebo poruchy imunity. Na vině jsou též výkyvy v hladině ženských pohlavních hormonů estrogenů, které zodpovídají za kvalitu vaginálního epitelu a tedy logicky za dostatek stravy a vhodné podmínky pro pomnožení tělu příznivých laktobacilů. Hormonální nestabilita je spjata s kojením, menopauzou či užíváním antikoncepce. Ano, právě nízkodávková antikoncepce (tedy antikoncepce s nízkým obsahem estrogenů) či čistě gestagenová antikoncepce může být příčinou atrofie vaginální sliznice a následně narušení rovnováhy vaginální flóry. S menšími hormonálními výkyvy si dokáže organismus poradit. Vysoké či dlouhodobé kolísání pak vede k rozvoji poševních infekcí.
Signalizační výtok

Nově proti vaginálním infekcím
Výtok z pochvy je jedna z nejčastějších příčin návštěvy žen u gynekologa. Frekvence návštěv vyplývá především z častých opakování tohoto typu infekcí. Po narušení přirozené fyziologické rovnováhy poševního prostředí dochází k mnohem lehčímu množení různých patogenních mikroorganizmů. Co pak s tím? A proč se tak často opakují? Příčinou není samotná infekce, ale především nedostatečná schopnost obnovit bakteriální prostředí v pochvě. Pojdme si o tom říct troche víc.
Zdravá pochva (vagína) je přednostně osídlena ochrannými mléčnými bakteriemi – laktobacily, které zajišťují její samočisticí funkce a především brání růstu jiných mikroorganizmů. Při zánětlivých onemocněních však obvykle dochází k nahrazení této přirozené mikroflóry škodlivými a patogenními mikroorganismy, které vedou k poruše kyselosti vaginálního prostředí, rozvoji zánětu provázeného svěděním a pálením a produkci výtoku. A tím valstně k rozvoji onemocnění.
Poševní mikroflóra a laktobacily
Pokud žena neužívá hormonální antikoncepci, charakter poševní sekrece se mění v závislosti na stadiu menstruačního cyklu, zvláště na hladinách hormonů, které se v jeho průběhu tvoří. V době těsně před ovulací, kdy je hladina estrogenů na nejvyšší úrovni, obsahuje poševní sekret poměrně veliké množství průhledného tažného hlenu, skoro jako vaječný bílek, někdy až řídkého, s pocitem mokra. Tak je to ale správně, je to známka toho, že žena ovuluje, tj. že jí dozrávají vajíčka a je schopna počít nového potomka.
Zmnožená sekrece však může být rovněž psychosomatického nebo alergického původu (např. alergie na pryž kondomu, na složky kosmetických a pracích prostředků atd.). V naprosté většině případů se ale jedná o tzv. dysmikrobii, neboli narušení rovnováhy v poměru bakterií osidlujících povrch poševní sliznice.
Různé mikroorganismy nás doprovázejí prakticky od počátku života až do jeho konce, některé nám pomáhají, abychom naši životní pouť dobře zvládli, jiné nám mohou život a zdraví zkomplikovat.

Těhulky, riziko vývojových vad můžete snížit i samy
Těhotenství je pro nastávající maminky obdobím těšení se na vytoužené dítě, ale přináší s sebou zvýšené zdravotní nároky. Tentokrát se zaměříme na foláty, tedy přeměněnou, lidem známější kyselinu listovou. Ta ve své základní formě pro organismus nemá vlastně žádný význam. Teprve foláty, což jsou tělem přeměněné, pro organismus hodnotnější a biologicky aktivnější formy, jsou zodpovědné za účinky v těle. A to se málokdy ví, neboť obecně se používá pouze pojem kyselina listová. Ale právě folátům, vděčíme za zdravý vývoj a růst miminka. Pojdme se tedy bavit o folátech. Ty ovlivňují dělení buněk a tvorbu tkání a orgánových soustav, tvorbu červených krvinek a tedy dýchání tkání, ale nově se ukazuje, že by mohly být též zodpovědní za správné prokrvení placenty a tím tedy i výživu dítěte. Jsou tedy stěžejním faktorem, který snižuje výskyt vývojových vad, jako jsou rozštěpy páteře či patra, vývojové vady močového a pohlavního systému nebo srdečního septa, ale i výživu dítěte v jeho nitroděložním vývoji a správný průběh těhotenství. Přinášíme jednoduchý přehled, kdy tělo během těhotenství volá po zvýšené "dávce" folátů spolu s nastíněním rizik, která vhodnou péčí můžete minimalizovat.
Co se v těle s kyselinou listovou děje
Optimálně by každá měla žena udržovat denní příjem kyseliny listové/folátů na 0,2 mg, což lze při respektování určitých stravovacích zásad dosáhnout správným jídelníčkem (tepelná úprava totiž zničí až 90% kyseliny listové a podobně je tomu i při skladování potravin). Už na startovní čáře může dojít k handikepu způsobeném vařením či skladováním zdrojů kys. listové, proto se dnes poměrně často průmyslově vyráběné potraviny touto složkou obohacují, příkladem jsou ovesné vločky, musli, nebo i některé druhy pečiva. Komplikace se však netýká pouze ideálního množství kys. listové přijímané ve stravě ale právě schopnosti těla ji přeměnit na aktivní složky, tedy ty zmiňované foláty. Neschopností této přeměny je totiž postiženo až 50 % všech žen. Jinými slovy i přestože žena přijímá dostatek kyseliny listové v potravě nebo v zelenině, její těho může trpět nedostatkem aktivních folátů. Jak se toto projevuje? V běžném životě např. únavou či chudokrevností Proč? Důvodem je genetická porucha enzymu MTHFR, který je za tuto přeměnu zopovědný. Oba problémy může pomoct řešit látka zvaná Metafolin. Metafolin je zjednodušený název pro aktivní folát, který tělo využije pro dělení buněk a jiné pochody bez nutnosti přeměny, a dává tedy maminkám vetší jistotu, že budou mít dostatečnou hladinu kyseliny listové, vlastně tedy terminologicky správně hladinu folátů.
Na tomto místě by bylo dobré připomenout, že toto postižená se netýká pouze o žen, vyskytuje se samozřejmě v celé populaci, i u mužů, ale ti jak víme nerodí a nepotřebují zvýšenou potřebou folátů v průběhu těhotenství pro správný vývoj miminka.
Bezpečné počení
Pro bezpečné početí existuje pomyslné ochranné pásmo 906 nmol/l folátů v krvi, kterého dosáhnete už po měsíčním užívání 0,4 mg Metafolinu v kombinaci s kyselinou listovou. Toto je hladina folátů v krvi, kdy je minimalizované riziko vývovjových vad z pohledu výživy až k nule. Navíc organismus profituje i s dlouhodobého užívání. "Je prokázáno, že užívá-li žena kyselinu listou více jak rok před otěhotněním a pokračuje v něm během těhotenství, znatelně snižuje pravděpodobnost předčasného porodu, a to až o 70%," říká MUDr. Michal Koucký, Ph.D. z oddělení rozikovéjo a patologického těhotenství Gynekologicko-porodnické kliniky VFN a 1.LF UK v Praze.

