Rozdíl mezi folikulem a cystou. Jak se pozná?
Zdravim, chtěla bych se zeptat, kdo tomu rozumí více. Snazime se s manzelem o mimco, už jsem i po jedné revizi (ZT před rokem). Byly jsme včera s manzelem u jiného doktora na konzultaci, aby zjistil kde je více problém. Jsem dnes 34 DC a bylo mi řečeno ze na levém vajecniku mám par menších folikulu, na právem vajecniku cca 1,8cm cystu a nizkou sliznici (asi 5cm). Říkal ze ta cysta způsobuje i to proč nepřišla zatím menstruace. Jak se pozná a jaký je rozdíl mezi narostlym folikulem před ovulaci a cystou? Na internetu jsem se docetla ze cysta se většinou považuje až od 3cm.
@kocila já ted prave byla několik měsíců na hormonech (femara 1-0-1). Moje doktorka se nám snažila pomoct, včetně IUI, což tento doktor považoval za blbost, když se nesnazila zjistit ani kde je příčina, resp problém. Chlap má spermiogram v pořádku. Před hormony jsem svůj cyklus měla 32-36 dni. Na hormonech 27-32. Prave na netu většinou považuji cystu až od 3cm, tak mě napadlo, jak to doktori poznají kdy je to cysta a kdy folikul před ovulaci, kor když ta moje údajná cysta je tak mala.
@vandand pokud je to fotka cysty,tak je jeji okraj dost nepravidelny (folikul je takovy cistejsi linie)..jen mi neni jasna ta sliznice,to na mestruaci jen tak nevypada,je prilis nizka...
Jinak experimenty s femarou bych resila az v centru a ne s obvodnim gynekologem.Jak pises,je treba te poradne vysetrit,nez bezhlave te cpat hormony..
Chce to rozbory krve,imunologie,genetiku a rozsireny spermiogram (DNA fragmentace spermii,zda jsou genticky v poradku),ale to je prace reprodukcnich center...
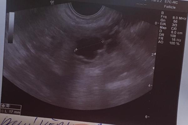
@vandand A ses si jista, ze rikal 1,8 cm dlouha cysta? Folikul totiz kdyz v tech 2,5 cm nepraskne tak se zvetsuje dal a vznikne z nej cysta. Ten obrazek tam ma napsano 6cm.. jako D, to predpokladam, ze je delka, ta teckovana cara to meri. Vypada na cystu 6cm bych rekla.. Ano a folikul je vetsinou kulaty myslim. Vse jen dohady, nejsem doktor..
@vandand Mám jen osobní zkušenost. Folikul mi dorostl až na 26mm, myslím, že pokud bych neměla ten cyklus ovitrelle, nepraskl by. Folikul vidím na utz vždycky černou barvou, pevně ohraničený a kulatý. Cystu jsem měla 2x, vždy 3cm, kulatou a na utz byla jakoby šrafovaná, šedá (ale vím, že tu psaly holky, že ony ji měly černou).
@jednaholkaa no vlevo dole vypadá jak znak toho zaměření a je tam 17mm, to bych spis tipla na tu délku. To D jsem si rikala jestli není spis výška sliznice. Nevím, uvidím. Každopádně jsem měla typickej ovulacni hlen, tak čekám na MS a raději zkouším i ovulacni test 😀 znama doktorka mi řekla ze by 1,8 nenazvala jako cystu ale ze je těžký soudit z jednoho obrázku a nevidět cely utz.
A myslím ze 6cm v břiše už by se mu asi nezdálo jako “v pohodě” a asi bych to nějak pocitovala 🤨😀
@vandand A jo, vidim dole..17mm. Tak to D bude neco jinyho..
@kocila ovulacni testy od včera zkouším, zatím nic. Jestli v pondělí bylo 17-18 tak bych to tipla nejdřív něco zítra/pozítří...
a s tím hlenem, já jsem teď po hormonech (femara), na podzim jsme zkoušeli IUI a už je nechci, a už jsem nadavala, ze mi to rozhodilo ze nemám ani hlen a byl celej cyklus takovej “suchej”, a včera najednou úplně ukazkovej typickej ovulacni, tak jestli se neco chystá, nebo náhoda.. tak jsem fakt zvědavá co to je. Jestli fakt přijde ovulace, nebo se ukaze MS 🤨
Máme teď jezdit na konzultace k jinému lékaři, moje doktorka měla “blbej”, ač asi v dobrém myšlenej, postup. A čekám na ms ať mužem začít
@kocila no ono je to takový komplikovanější. Já před více jak 2 lety začala chodit k nove gynekolozce u nás ve městě. Od loňského roku ve stejně budově jako sídlí ona vzniklo i reprodukční centrum aka car. Takže doktorka je hned u toho takže IUI a hormony mi delala/dávala ona. Jenže teď zpětné to vidím spis jako takový hokusy pokusy patlani na koleni. Byly jsme prave za jiným specialistou v jiném městě a ten říkal ze dokud nemáme stanovenou diagnózu, nejakej problém, tak nechápe proč mě cpala hormonama a posilala na IUI když manzel má slvelej spermiogram. A jsem po ZT, před rokem revize.
Tak ovulacni testy sílí, včera a dnes takto. Cely den mě poboliva břicho jak na ms, tak jsem čekala ze přijde ta, místo toho na mě po práci vykoukla čárka na ovulaku. Tak buď jsem v tom a nebo bude ovulace, ač tak pozde 😀
@kocila víc pozitivní už to snad ani nejde 😀 ale fakt divny, včera mě fakt cely den bolelo břicho jak na ms, ne na přicházející ovulaci 🤷🏼♀️
No on to není car jako takový, nebo car to je, ale my jsme domluveni pouze s tím doktorem (doporučila mi ho znama, kterou gyndar posílal na ivf, kvůli mrtvým spermiim a oni u nej otehotneli hned první sledovací cyklus na ovulacni testy), ze k němu budeme jezdit na konzultace aby mě sledoval co se v mem cyklu děje a zjistil jestli je někde problém. Teprve jsme tam byli na konzultaci a prave se mu mám ozvat až přijde MS a zacnem. Ale místo ms bude asi ovulace 😀
@vandand to jsi dělala 2 testy po sobě? teď se snažit a třeba se podaří přirozeně...
jinak ze své zkušenosti, pokud se nedaří otěhotnět 1 rok, ihned vyhledat odborný CAR (ověřený car a né žádný nový car bez zkušeností)...těch proměnných, proč to nejde je hrozná hromada (imunologie-protilátky proti spermiím, placentě, atd., párová genetika atd., což ti žádný ala obvodní gynekolog neudělá)...že ovuluješ je dobře a pokud je spermiogram taky v pořádku, tak je problém někde jinde....
ale rozhodně nemáš cystu, ale folikul👍
@kocila jojo, zkoušela jsem dva ráno hned z první moci a pak druhej z další, když se říká ze z první by se dělat neměl.
No nám se jednou uz podařilo, asi 3-4-5 měsíců po tom co mi konečně naskocil pravidelný cyklus skoro rok po vysazeni Ha. Bohužel ZT, teď už je to rok od revize a nic.
Popravdě jsem teď i hodně nahlodana na tehotensky test. Ta čárka je ultra silná, víc jak ta kontrolní a hodně se na internetu píše ze když některým takhle ukazoval těhotenství ovulacni test.




@vandand a jak dlouhé cykly mas?,mne to teda spis pripada dle sliznice 5mm,ze mas pred ovulaci,nez ze mas cystu..ale nevim,zda na prcni pohled vypada jinak cysta nebo folikul..
Folikul je ovalny tvar s ostrymi rysy a nebyva vetsi nez 23-25mm (to uz pak praskne)..mne cystu oznacili utvar vetsi 30mm