Už zítra ❤️ transfer
Tak po 3 letech snažení a ani náznaku jakéhokoliv úspěchu, jdu zítra na transfer.
Nějak to zatím v té hlavě nedokážu zrealizovat, že se dostáváme do fáze,, buď a nebo,,.
Držím všem, kteří tohle podstupují, palce a přeji hodně sil <3 jednou se snad všechny dočkáme! Teď doufám, že snad konečně přijde řada na nás...
@zuzicek2013 chodila jsem normálně do práce a dělala běžné veci,jen netahala tezke veci...
Dnes druhy pokus ket v nativnim cyklu .. moc verim a doufam ze vse proběhne uz jak ma 😊
@bluehorse2020 ahojik.. jak pak se dari? Vse v poradku s prdolou 😉
@haluzska drzim moc moc palce, aby se povedlo! 🍀
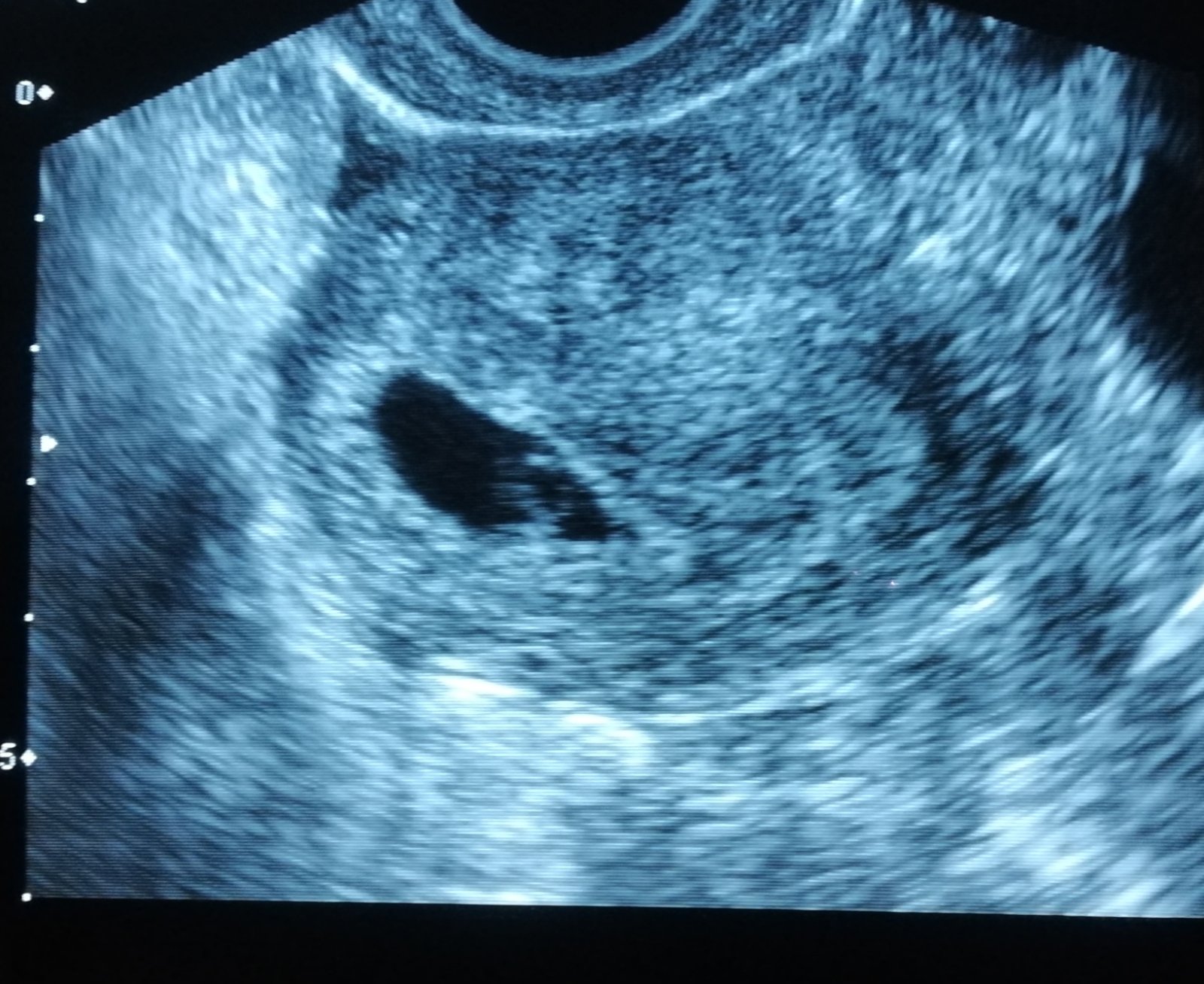
Jinak u nas vse v poradku, dneska jsem byla na UTZ a byl tam budouci mimisek <3 ale je to vse stres, aby vse bylo jak ma
@bluehorse2020 dekuji 😊clovek je jak na jehlickach ... takze vse v poradku .. to jsem moc rada.. drzim palecky at vse pokracuje dal bezproblemu 🥰


@zuzicek2013 ja jsem jen lezela, mela jsem zvetsene vajecniky a bolesti bricha, takze pohyb nic moc... Gauc to jistil