icon

Potrat. Jak nastartovat a začít znovu?

avatar
leheckova
3. dub 2010

V prosinci 2009 jsem potratila v 9tt měla jsem zamlké těhu a když jsem konečně po všech vyšetření a vím že jsem zdravá můžeme se s manžou začít znovu snažit ale někdy to nejde tak jak si to člověk představuje a neni to jako když člověk luskne prsty....chce to vytrvalost a pevné nervy ...pokud se tu najde někdo kdo by se chtěl přidat a sdílet společné začátky a cestu k vytouženému miminku připojte se ...budu ráda

avatar
kolino
28. kvě 2013

@matysikovad no tak Danko kde sí!!!!!
já musím zachvíli odjet a budu tu až k večeru, já na tebe táááák myslím, a potřebuji to vědět jak si dopadla! ♥

avatar
matysikovad
28. kvě 2013

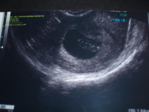
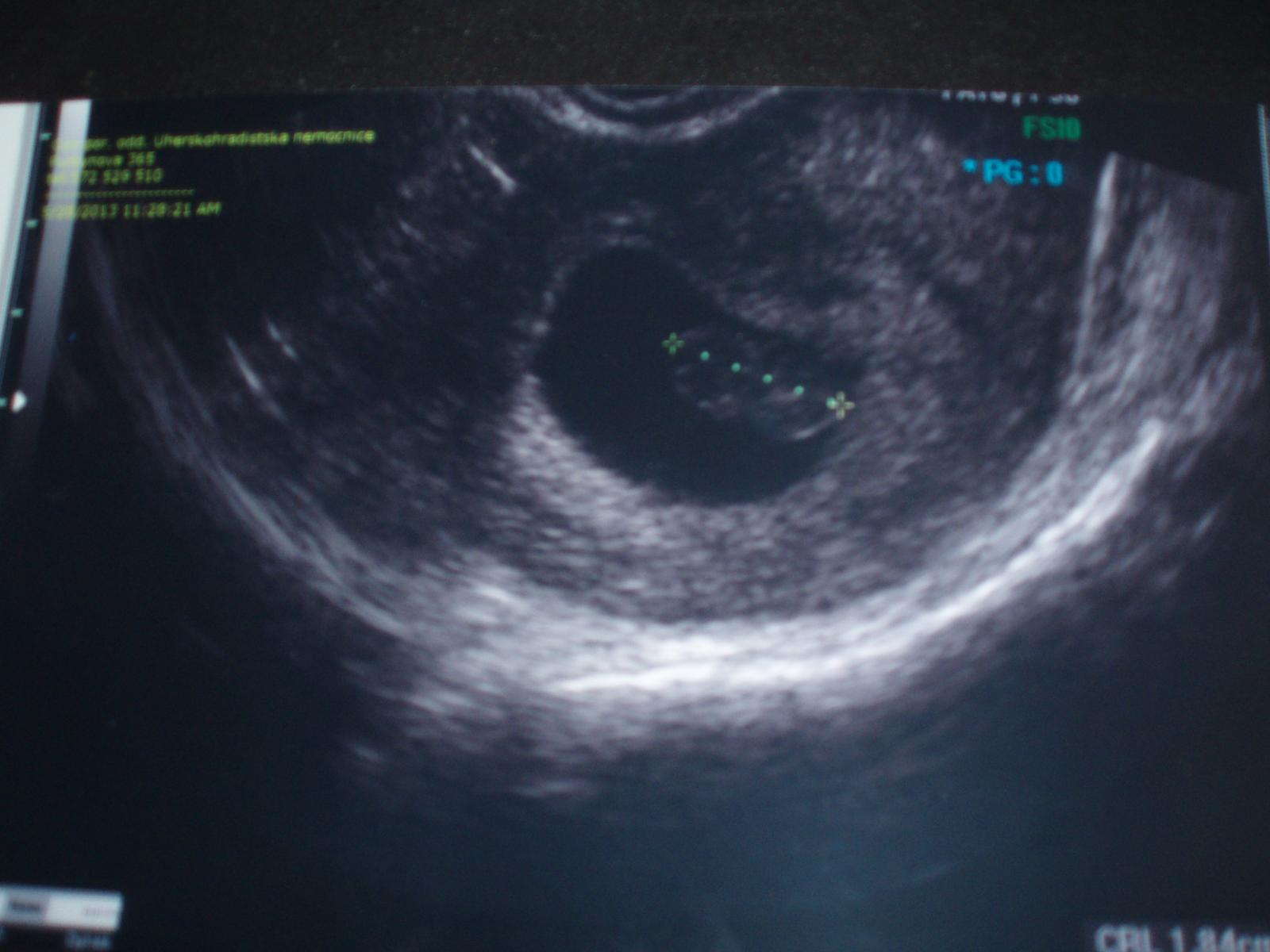
Čau miláčci, tak mám i fotku ( byla jsem ještě nakoupit 🙂 ) malý má 1,82 cm - souhlasí s PM 8+2 tt, srdíčko náádherné - fotku dodám později. děkuji za držení palečků 🙂

avatar
kolino
28. kvě 2013

@matysikovad luxus!!!!!!!!!!! ááááááááá já to věděla!!! tak teď už můžu povolit palečky, mám je dobře modré, nervózni jsem byla i za tebe snad! uff no jo jste zlatíčka šikovné! ♥ hurááá snad pro dnešek trošku klídečku ti mimoušek poskytne 🙂

avatar
antana123
28. kvě 2013

@matysikovad nááádhera moc gratuluju 🙂

avatar
eva518
28. kvě 2013

@matysikovad no paráda!! Moc moc gratuluju, Dani 😵 😵 😵 a co ta fotka? 😉

avatar
matysikovad
28. kvě 2013

fotka bude, ale musím pojest, umírám hlady 🙂

avatar
cital
28. kvě 2013

@matysikovad Mám z tebe radost holka 🙂. Doufám, že tě kontrola na dlouhou dobu uklidní 😉

avatar
terulin
28. kvě 2013

@matysikovad Hurajráááááá, velká gratulace!!!!!!!!!!!!!!!!! A kam si dáš ten kámen, kterej z tebe spadnul?

avatar
matysikovad
28. kvě 2013

@cital
@terulin
@eva518
@antana123
@kolino Děkuju holky a teď jdu na tu fotku 😉

avatar
petulaho
28. kvě 2013

@matysikovad suppppppppppppppééééééééééééééééééééééérrrrrrrrrrrrrrrrrrrrr mám obrovskou radost:-*

avatar
matysikovad
28. kvě 2013

@petulaho děkujiiiiiiii 😀

avatar
matysikovad
28. kvě 2013

Tak tady je 🙂

avatar
petulaho
28. kvě 2013

@matysikovad WAU🙂FEŠÁK🙂CHCI TAKYYYYYYYYYYYYYYYYYYYYY🙂moc ti to přeju,takže prodloužení neschopenky až do porodu🙂 a TP máš kdy?

avatar
antana123
28. kvě 2013

@matysikovad krása 😵 😵 už se těším na příští týden

avatar
matysikovad
28. kvě 2013

@petulaho no tak TP zatím vychází dle PM na 4.1., za 14 dní už poradna a těhu průkazka, pokud bude všechno v pořádku... Dočkáš se Petruško 🙂

avatar
petulaho
28. kvě 2013

@matysikovad super,to uteče a budeš mít za chvíli za sebou první trim🙂to je jasný že se dočkám,včera jsem byla na kinezioterapii rozebírat sebe🙂 a musím pozitivně myslet🙂

avatar
matysikovad
28. kvě 2013

@petulaho Tak pozitivně - bys mě měla vidět ještě před 3 hodina - hromádka neštěstí!! !! A coto je ,,kinezioterapie"

avatar
cital
28. kvě 2013

@matysikovad Krasavec 😉 .

avatar
matysikovad
28. kvě 2013

@cital děkuji 🙂

avatar
nessik
28. kvě 2013

@matysikovad zlatíčko, to je nádherný bobeček 😵 , až mám slzy v očích. Velikánská gratulace. Já už chci takyyyyy.

avatar
matysikovad
28. kvě 2013

@nessik děkuji, dočkáš se i ty 🙂

avatar
antymania666
28. kvě 2013

na vsechny z vas tu moc myslim a vsem preji hodne stesticka at se zadari co nejdrive jako nam 🙂 verte ze to jde a cim driv se zacne tim driv to bude 🙂

avatar
petulaho
28. kvě 2013

@matysikovad no vlastně mi rozebírá problém,které si s sebou táhnu z minulých životů,potom ukazuje pomocí čaker,kde je problém, pracuje s kyvadýlkem,je to úžasný....

avatar
eva518
28. kvě 2013

@matysikovad krasavec, Danuš 😉 já ani takovou fotku nemám, první mám až z první poradny 😕 Teď už 14 dní uteče jak voda a pak hned budou odběry a ult a už to poběží 😵 😵

avatar
kacernice
28. kvě 2013

@matysikovad jééééééé, to je krásné 😅 My už zítra taky konečně toho našeho Tomáška uvidíme 😵 😵 😵 Už se na něj těším 😅 😀

avatar
aagnes
28. kvě 2013

@matysikovad nádherný prcek, taky moc gratuluju 🙂

avatar
m_artasek
28. kvě 2013

Ahoj holky, zapla jsem PC až teď večer. Na kontrole vše v pořádku, ultrazvuk mi opět pan doktor nedělal, takže pořád nevím, co čekáme a další poradnu mám 18.6..
@matysikovad Mooooooc gratuluji, vidíš, že vše je dobré a bude!

avatar
berusinka1
28. kvě 2013

Ahoj holky, tak vás po delší době zdravím. V práci jsem v jednom kole, tak Vás sotva stačím dočítat....
@matysikovad Tak to je paráda, super zprávy a moc krásná fotka. 🙂

avatar
kolino
29. kvě 2013

Ahoj holky tak jsem skoncila na pohotovosti....krev se me sla jak z kohoutku voda. Tak jsme valili. Na utz mimi v poradku odpovida 7+3 tak jak ma. Ale byl tam hematom a 3x vetsi jak mimi. Zadne leky ani kapacku nic....ted ani usnout nemuzu furt to se me jde....ach jo ja se tak bojim!!!!! Tak to jen aby jste vedely jak to u me je. V posteli se radsi ani nehybu. A ten ascorutin pry nemam brat....tak nevim vsem ho doporucuji ale me ne?!

avatar
cabalkova
29. kvě 2013

@matysikovad To je krasny medanek, moc gratuluju. 🙂