Úspěšné početí v červnu: Nasazení conceive gelu pomůže?
@renat23 buď a nebo jedu anovulacni cyklus...je fakt že před dvěma měsíci jsem začala brát vitamíny tak třeba to špinění není díky nim....mě fakt jako odcházeli v době ovu kusy hlenu
@carolineg1 však 12DC je super ja měla 14DC ...ale výsledky se nám už blíží 🙈
@salmina s my 36 denními cykly těžko soudit dnes mě bolí břicho jak před ms ...je fakt že bych ocenila i jen to kdyby se mi upravil cyklus aspoň na 28 dní...když už by nebylo mimi tohle by mi pomohlo
@carolineg1 ja mela cykly 37dni při prvním. A ovulaci jsem mela 17.den 🙂
Jinak jsem na nervy, prvně jsem trochu spinila pár dní, spis růžová krev a maličko a dnes ráno vic. Tak zavolám zítra jestli můžu jít na kontrolu. Musím říct že jsem fakt vystresovana😒 při prvním jsem to nezažila.
@carolineg1 to chápu však uvidíš ...každopádně kéž by se nám zadařilo 😊🥰
@markiiska určitě to dobře dopadne, ale já bych mazala hned na pohotovost kdyz bych začala splnit nebo krvácet. Při prvním tehu ve 13tt krvácela jak z vola naštěstí jen hematom ale přímo nad miminkem. Týden jsem ležela v nemocnici nesměla jsem se ani hnout, odcházela jsem s tím že primář mi řekl cituji " STEJNE SI MYSLIM ZE POTRATITE " tuhle větu nikdy nezapomenu a to uz bude skoro 14 let. Doma jsem odpocivala a hned jak jsem něco začala dělat začala jsem opět krvácet takze hned k doktorovi, hematologie se naštěstí vyprázdnil a zbytek tehu uz bylo v pořádku. Takze držím palce
@janulejean zitra na tebe budeme myslet a čekat na zprávu ❤️
@renat23 tak to je hrozny,cos musela prozit...to nechapu,jak někdo může říct, to je neprofesionální. Neříkám mazat med kolem pusy,ale nějak empaticky s pacienty mluvit,ještě když je to taková situace. Ale naštěstí to dobře dopadlo.
No ja jsem byla dneska v klidu cely den. A hned ráno zavolám a pojedu. Tak snad to nic nebude. Nebylo to moc. Tak doufám,že to bude ok. Dám vědět.
@renat23 Děkuji ❤️. Zatím nejsem nervózní, furt pociťuji píchání a podbřišek tak si říkám že musí růst. Ale jak vstanu zítra tak se mnou nebude řeč a budu Mega nervózní. No ještě že jdu ráno.
@janulejean taky me občas dost píchá takze snad dobrý. Včera jsem zkoušela svatebni saty a mam to tak tak takze uz fakt nesmím nárůst za ten týden a to moc nejim 🤦♀️ tak držím palce a budu čekat na zprávy, jsem zvedava na kdy budeš mít termín ja zatím na 2.3 podle utz
@salmina budeš v úterý testovat? Mě přijde jako bych měla každým dnem dostat menzes
@carolineg1 mám to úplně stejně a testovala jsem už dnes v noci asi v 1jlh jak jsrm nemohla spát...jsem tak 9DP0 možná i 8 nemohlo zírám být ještě nic vidět ale vyjíždět testovací čárku dřív než kontrolní jsem viděla hned...ikdyz je to svetloulinke a asi to z te fotky nepozná nikdo🙈 ale me to radost udělalo je i trošku do červena...tak myslim odpovídá to tomu 9DP0 tak snad 🙏❤
@salmina Já ji vidím. Tak držím palce ať pěkně sílí ❤️.
@salmina ty vole máš to tam !!❤️ Pecka ať sílí
@janulejean Děkuji moc❤️😊
@janulejean taky držím palečky ať miminko hezky roste 😊❤️
@carolineg1 tak snad a opravdu se cítím těhotné...tak uvidíme jestli bude silit ....děkuji ti moc a držím pěsti toběeee❤️😊 kdy ty zkusíš test ???
Tak holky.. Srdíčko je tam❤️❤️❤️. Já se tak bála a ono je tam!
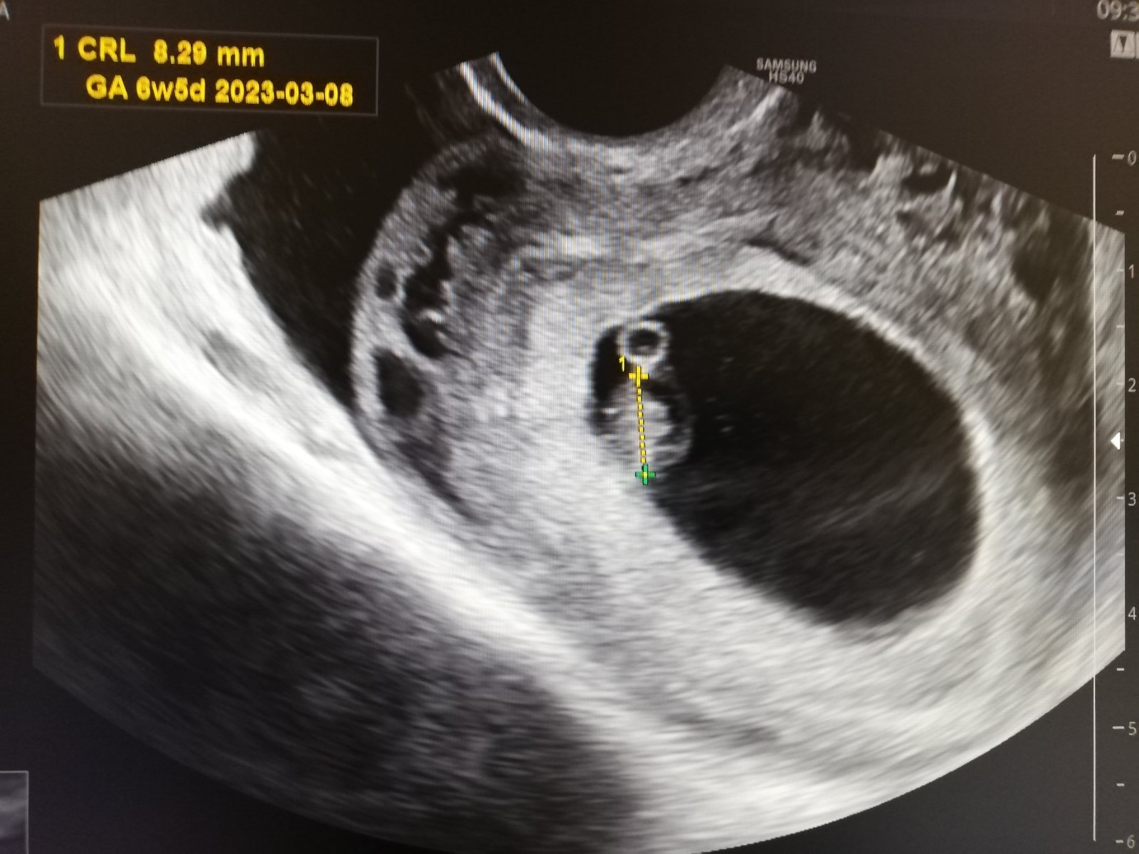
@renat23 termín mi dal 8.3. Ale u každého těhu mi dal termín o týden pozdější a pak se to srovnalo, takže těch 4.3 bude odpovídat. Dneska podle něj 6+5 a má 8mm. Na kontrolu jdu až 23.8, těsně před screeningem. Zdá se mi to jako šíleně vzdálená doba. Ale zítra si ještě skočím nakrev kvůli štítné žláze.
Jinak za týden určitě nějak extra nepoporosteš tak to ti šaty určo sednou❤️.
@janulejean tak to jsou krásné zprávy gratuluji moc❤️😍😊
@janulejean nádhera ja to věděla ❤️ je to krásný, mam radost. Ja jdu 8.8 na krev a kontrolu takze utz a pak asi za těch 14 dni na screening to vyjde. No řeknu ti ze kdyz jsem si saty kupovala tak šněrování bylo úplně utáhne a ted v oblasti bricha to mám povolené že mi tam zbývá tak 2 cm ty látky takze se jen modlím. Ono to bricho roste docela rychle a každý týden je znát
@janulejean jeee gratuluji to je super😍 krásné jde vidět...to se pak porad jen čeká a člověk je nervozni, to chápu.
Ja byla u dr a vypadá vše jak má být,srdíčko ale ještě nebylo,mela bych být 6+0 ale asi jsem otěhotněla později. Kontrola až 2.8. Mám být v klidu, bez styku a dostala jsem utrogestan. Skrz to krvácení. Ale neví proč to tak je. Tak uvidíme.🙂 už se taky tesim na srdíčko.




@salmina u mě to právě na ovulaci vypadalo 12 DC 😂😂 normálně ji mívám teď někdy ale teď to tak nevypadá... Výtok nikde,...