Sanatorium Pronatal. Jaké máte zkušenosti?
Ahojky,
nenavštěvujete náhodou někdo Sanatorium Pronatal v Praze ohledně IVF?
Ráda bych se dozvěděla nějaké zkušenosti ( přístup, ceny atd. ). Čeká mě stimulace před IVF a vybíráme centrum
🙂 díky
@briuska ahoooj🙂 Děkuju🙂 no dnes uz hCG přes tři tisíce, tak snad to bude dobry🙂 já se prave nechutně prejedla v Ambiente, využívám toho, že mi nic neni🙂 jen mě dnes trochu píchá v pravem třísle, ale to snad je normální.. To je mi líto, že je ti špatně, na drhou stranu, co by člověk nevytrpel pro miminko viď🙂
@briuska to je ta nejkrasnejsi nevolnost 😀 😝 😀 😵 😝 😉 fakt to s velkou radosti ctu 😀 moc ti to preju!! 🙂
@briuska 9.tt tyyyyyyyyjoooooooo super 😉 toto leti 😅
@briuska
@segra_bruni no já se pořád tak nějak držím při zemi🙂
@elliem ja vim holka, hrozne moc bych ti chtela pomoct ale vime ze to nejde ... tak jen vez ze mas moji podporu 😉 ... ja si zazila i mimodeloz tehu tak vim ze srdicko je dulezite mit na spravnem miste! a ze jsou stale nejake milniky /testy/ a stale neni vyhrano ... kdo vsak k tomu pristupuje s pokorou tak ma dobre vykroceno 😉 a to myslim Ty jsi, mas a budes 🙂
@sweet81 1 mimi ale stale "snazi se" 😉
gratuluji! 1 superman ... osobnost ... 1 clovicek ... preji pohodove tehotenstvi 🙂
@segra_bruni Děkuju🙂
Ahojky, zítra nás s manželem čeká 1. návštěva v CAR Pronatal v Praze, tak zjišťuji, jak to tam probíhá, jaký je personál, ceny a vůbec prostě jaké jsou vaše zkušenosti? Za veškeré informace moc děkuji 🙂
Zase budou davat muj oblibeny porad v TV 😵 ... Ct2 13.9.12 20h (opak. Ut 18.9.12 15h) ... pro netrpelive je to samozrejme mozno shlednout i z archivu 😉 ...
"Kristova leta, damy ..."
Miluji tento dokument ... pokazde se slzami v ocich ctu posledni titulky a posloucham pisnicku ... ackoliv je tam pribehu vice sleduji hlavne Lucii a jeji osobni trable s neplodnosti versus jeji povolani embryolozky /Iscare/ 🙂
@montonik ahojky, mají tam moc sympatické doktory! a vše jde celkem rychle. já tam byla před 9 dny a už stimuluji a beru hormony. 17.září na utz, jak rostou folikuly. myslím, že vám rovnou vezmou krev, na tebe se kouknou. hlavně ať to najdete, oni jsou krásně schovaní v lese 🙂
@segra_bruni díky za nápad, určitě na to taky mrknu!
@sweet81 Gratuluji a držím palečky,a by vše bylo v pořádku.
@briuska Krásná fotečka, ať mimísek pěkně roste a doufám, že se to to tu snímečku bude jen hemžit 🙂. Hlavně Ti bylo už lépe a zahnala jsi nevolnosti.
@elliem Markét, krásně Ti hodnoty rostou, držím pěsti.
@segra_bruni Díky za tp na TV pořad, mrknu na to.
@elliem Super, to už uteče jako voda do pátku 🙂. Jinak já mám hlad taky, ale je to vcelku stav, který mám tak nějak non-stop už delší dobu. Snad po tom Prednisonu moc nepřiberu. Jinak já mám ještě čekáníčko před sebou. Pobolívají prsa, v podbřišku občas píchne a mám takový pocit někdy jako před menses.
Cau holky, koukam co je tu noveho😉 ja uz statecne sama picham 3. injekci. Uz zacinam byt pekna citlivka, vcera jsem byla na svatbe a jak jsem videla nevestu uz jsem bulela, dneska jsem taky nejaka precitlivela....!! Uz aby mi to uteklo jako vam a mela v sobe mimiska a nasla //
@maximka33 jak ty to zvladas??
@lucido a co ty? Jak je?
@montonik v Pronatalu jsou super a hlavne jak muzes videt- odchazeji tam odsud tehule 😉
@briuska doufam ze ti brzy bude dobre😉
@montonik no ja prave stimuluji na druhy pokus IVF, 1.pokus nevysel a ani nebyly mrazacci, ale i presto jsem s nimi spokojena a verim, ze 2.pokus vyjde 😉
Holky chtelo by to zaktualizovat tabulku a tehule soupnout dolu pod nazev "tehule" at jsou pro nas motivaci 😉 nasla jsem posledni tabulku ale nezvladam ji upravit na mobilu☹ @briuska a @elliem a @sweet81 pro nas budou velkou motivaci 😉

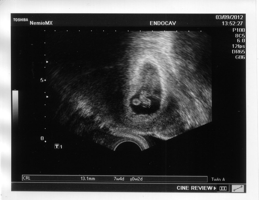
jinak tady je slíbené foto, ten den už jsem neměla sílu ho sem nahrát 😖 ....ta bublinka je žloutkový váček, který miminko vyživuje.