Hcg 25. Jsem na začátku těhotenství nebo je to potrat?
Ahoj,jdu si pro radu protože nevím co si o tom mám myslet.15.8.jsem měla ms,pak jsem brala clostylbegyt a podle testu,utz a z krve bylo zjištěno že ovu proběhla 31.8. nebo 1.9.Ducha na testu jsem měla 11dpo,včera jsem byla na gyndě a říkal že vysoká sliznice..pak mi vzal krev a zjistilo se,že mám jen 25 ale že je to pozitivní...takže bych měla být na začátku těhu nebo bohužel potrat...12dpo mi digi ukázal +1-2...Poradíte?díky
Holky hcg 260.podle utz 4týden juhuuuu 🙂Děkuji všem za podporu 🙂V pondělí utz.
@maminka2020
Gratuluji, četla jsem celou diskuze a držela ti pěstičky 🥰
Moc gratuluji 🙂
@petula.bir jé děkuji ti moc,vypadá to že je to na dobré cestě a my se dočkáme pátého prcka 🙂
@maminka2020 to chapu. Podle reakce mam ale pocit, ze chtene, tak drzim palce, at je vse v poradku. Kamaradka ma deti 6, prvni 3 byly nejhorsi zkoordinovat, ted uz je to pry brnkacka🙂)
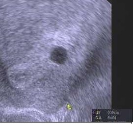
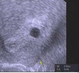
@linee jj 15měsícu snažení,předchozí těhu byli hned první nebo 2snažení..jinak dnes na utz mini flíček prý ten 5týden cca,tak v pondělí zase kontrola ráno,ale pod lfíčkem bylo trošku krve tak jak to dopadne nevím,snad dobře,
@maminka2020 to bude dobre. Pokud je krev pod je to lepsi. Pokud by byla nad, je to horsi, protoze by krvaceni mohlo vzit sebou i flicek. Takze to bude urcite dobre, neboj se🙂 odpocivej
@maminka2020 kamarádka měla později ovulaci, tak srdíčko měla skoro v 8tt 🙂 Jetšě není nic ztraceno 🙂
@maminka2020 myslíš jako ze nebyl vidět zárodek? Jen dutinka? Co ti k tomu řekl dr? Moc držím pesti
@maminka2020 Vzdyt je to brzy,muj dr.ani utz drive nez v 8tt nedela...nic se neboj,kazde.tehu je jine.Navic si mela v dobe MS jen nizke hcg,tehu je rozhodne pozdejsi,takze pristi tyden bude videt vic.
@maminka2020 Tak nějak vypadalo moje 6+2, teď relaxuji, protože na chvíli usnul 😀.
@maminka2020 mne tedy prijde, ze na tt a podle toho, jak se ti vyvijelo hcg, jak si tu psala, tak mi ten "nalez" prijde normalni. U jinych tehu si to mela jak?
@linee poslední ms byla 15.8.to si zapsal ale prý je zajímá co ukazuje utz.No u jiných těhu asi si nevzpomenu na všech 6těhu 🙂 ale třeba u druhé ,kdy jsem šla na utz 6+1tt tak bylo i srdíčko,u třetí sem tam byla až 6+5tt a bylo srdíčko.Musím čekat,nejraději bych šla dříve protože ted mám tolik stresu +tohle do toho mě ničí ☹
@linee doktor říkal,že od minula ale flíček malinko povyrostl což je asi dobré znamení..ale nevím,všechny tady co mi posílali utz už měli třeba ,,hrášek,,v 5+..





@zelenoockaa no ted už nic 🙂