Může se ještě miminko ukázat na ultrazvuku?
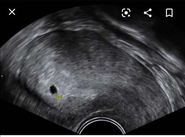
Ahoj, prosím poraďte, dnes jsem byla u dr.posledni ms 1.10.-5.10., 21.10.uvulace. testy pozitivní, ale na utz nic nešlo videt, nejaka pidi mala cerna tecka a pry mam delohu zklonenou dozadu a nějakou tekutinu... ma s tím někdo zkušenost? Mám přijít za týden a docela se bojim ;( testy pekne sílily...

Kdyby bylo mimodelozne, silila by carka?
S tim zkusenost bohuzel nemam , ale myslim ze jestli videl pidi midi tecicku v deloze ze to bude o.k. jen vazne uplnej zacatrk zacatku a kdyby bylo mimodelozne ze tam nevidi nic..... vic asi neporadim
@karolinasvetla111 četla jsem, že pravděpodobně ne, že nesílí.. ale není to vyloučeno.. neboj, bude to v pořádku, ty začátky jsou ale šílený ☹
@karolinasvetla111 při zakloněné děloze je možnost, že hned není zárodek vidět, ale pokud lékař tečku viděl.. a mohla být ovulace dýl, na ultrazvuku je zárodek vidět při 1000 jednotkách hcg, vydrž 🙂
@babovka_babovicka nesílí při biochemickém, jinak sílí normálně, ale při mimoděložním je prvním příznakem vysoká hladina hcg.
Tak snad se pristi pondeli ukaze ;) a co ta tekutina? Dr.rikal ze kdybych mela krece v brise ze mam hned prijit anebo do nemocnice a rict ze tam byla tekutina o velikosti svestky... ale ze klidne mohla byt cysta a prasknout a z toho ta tekutina...
Ovu jsem mela 20.-21.10. A posledni ms 1.5.10
@karolinasvetla111 ahoj, mne az do 5tt nebolo vidno nic oktem vysokej sliznice a mala som volnu tekutinu pred aj za delohou (taky mam zaklonenu a hned po zisteni dvoch II , sa mi zacala otacat, bolelo to poriadne :O )
@karolinasvetla111 oprava, az v 6tt sa zjavilo embryo, tyzden predtym len naznak dutinky
@vladienka děkuju za odpověď, doufám, že v pondělí už půjde vidět, ja tam včera měla jen malinkatou černou tecicku ze ani dr nevěděl zda muže potvrdit těhotenství
@karolinasvetla111 drzim palce, daj vediet 🙂 ja myslim ze to bude v poriadku ked tam nasiel aspon bodku,
@nikinnna tak nejak jsem to taky mela , ale fotku nemam, nebylo co fotit 🙂
@karolinasvetla111 já ležela týden v nemocnici kvůli podezření na mimoděložní. Když se ten puntík ukázal, tak jsem potřebovala hmatatelný důkaz, že se mi to nezdálo 🙂
@nikinnna a v kolikatem tydnu jsi byla na utz kde byl jen puntik? 🙂
@karolinasvetla111 podle menstruace to měl být 6tt, ale byl to jen 4tt. Později jsem ovulovala 🙂
@karolinasvetla111 další fotka je dělána jen o 5 dní později 🙂
@nikinnna tak to je krásné 🙂 snad to tak bude i u me
@karolinasvetla111 určitě bude 🙂
@vladienka prosim te, kdyz se ti ta deloha otacela kde te to bolelo? A cemu bys tu bolest prirovnala? Dnes me trochu boli brisko :(
Bolelo ma to hodne dole, stydka kost a napojenie na slabiny. Ide o to ze deloha je nejakymi uponmi napojena na okolie a taha to. Mozes to pocitovat aj ako tlak, ja som myslela ze mi odpadne pipka s prepacenim :D
V 5+3 jsem měla jen 5mm dutinku, v 6+3 už miminko se srdíčkem




Je to tam 🙂 bude mimi a gratuluji