Na utz kluk. Může z toho být holka?
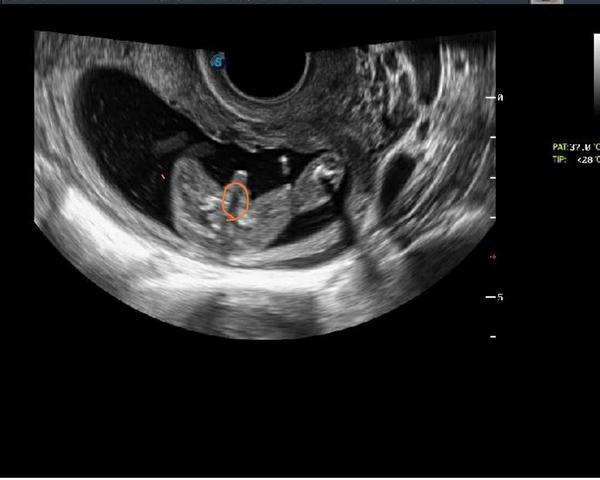
Dobrý den, podle uzt a doktorky čekáme 100%kluka. Já tam ale stejně vidím jakoby kávové zrno (co mají holky), štěrbinku 🙂) , myslíte že by byla ještě možnost, že by z toho byla holka. Jsem 16tt. Děkuji za názory 😉
Já tam vidím taky toho kluka, vy by jste přála asi holčičku viďte?
@adelaide131 Vypadá to jako kluk.... Úplně tady vidím touhu po holčičce...U mě je to stejné, čekám dvojčátka, tak jsem si říkala, že mám dvojnásobnou šanci na to mít holčičku... Na utz ve 21tt jedno na 100%kluk a druhé taky vypadá jako kluk, mě teď pomáhá jen doufat, že jedno bude holčička, to mě psychicky drží nad vodou 😕 psychika a hormony jsou totiž neovladatelné 😅 a ano jsem si vědoma toho, že teď mě tady dost maminek odsoudí 🤦♀️ Většina ti tady napíše, že je hlavní, aby bylo miminko zdravé, ale naprosto tě chápu.... Každopádně mám známou, které tvrdili na 100%i na 3D utz, že bude mít kluka,taky se s tím trošku musela smířit, jak moc chtěla holčičku a jakmile sehnala kompletní vybavicku v modré barvě, tak jí na konci šestého měsíce řekli, že bude mít holčičku a holčičku má. Takže naděje umírá poslední ☺️
Upřímně nerozumím tomu, proč u všech těchto témat je tak strašně cítit zklamání ze zjištění, že dítko nebude holčička. Až je mi to líto za ty chlapečky 😉 Vidím jasného kloučka a blahopřeji, kluci jsou super parťáci!
Naše zkušenost - chodím do rizikové poradny ve FNHK a u ultrazvuku se mi mění doktoři. Ve 13.týdnu dle doktora na 60% holčička. Byli jsme rádi - moc jsme si přáli holčičku - a to i muž. Ve 20.týdnu doktorka řekla na 99% chlapeček - měl tam to, co tam kluci mají mít :D Ve 30.týdnu opět stejná doktorka a pohlaví mužské 🙂 Já jsem od počátku, co jsem otěhotněla cítila, že to bude chlapeček, ikdyž jsme si přáli holčičku - i proto, že máme okolo sebe hlavně chlapečky a tak jsme chtěli, aby moje neteřinka měla sestřenku 🙂 . A za pár týdnů se to dozvíme (dnes jsem začala 36.týden) a už se na našeho prďolku těšíme. Muž je taky rád, že bude pokračovatel, ale zároveň si přeje další miminko a aby to byla holčička 🙂 Ze začátku jsem si nemohla zvyknout říkat bříšku klučičím jménem (od 7.týdne máme rozhodlé jména), ale nakonec jsem ráda. Bude to velký bráška jednou doufám 🙂
@prostenika85 Já jsem si naopak strašně přála kluka, a mám ho. Druhé bych chtěla holčičku, ale hlavně kvůli malému, který chce sestřičku, ale kdyby byl opět chlapeček, určitě bych zklamaná nebyla
Ja myslím že tady na tom utz je to úplně jasné že je to kluk , většinou co tu holky dávají mazanice nepoznám fakt ani prd , ale tohle je víc než jasný
@adelaide131 Mne to teda pripada jako ukazovy pindik, ale nejsem doktorka. Kazdopadme v 16tt uz bych ji verila. Ja takhle doufala ctyrikrat, ze to je jen pupecni snura 😉🙂
Děkuji všem za názor. 🙂A jen chci říct, že to není zklamání , že čekáme chlapecka. Jen doma už jednoho kluka máme a třetí už neplánujeme,tak jsme si s manželem říkali, že by bylo fajn, kdyby to bylo holčička. Samozřejmě zdraví na prvním místě, o tom žádná. Jen mě zajímal názor ostatních, popř. zkušenost, jestli se někomu stalo, že i když na utz byl kluk to pak byla třeba holčička 🙂
Myslím,ze není ostuda si přát jedno pohlaví víc než druhé..holt někdo spíše touží po růžových barvičkách,druhý hrát si s autíčkama..nebo má doma již jedno pohlaví a chce druhé..
Jasne,ze si všichni přeji ať je ditko hlavně zdrave, ale touha po určitém pohlaví není přeci sobectví..
Já mam dceru,přítel dvě dcery s ex a teď jsem těhotná..tak jasne když cely život hraje fotbal si přeje kluka..aby ho mohl učit hrát atd..když má doma babinec..tak holt radši 3holky a 1kluk než 4 holky..proč by se měl za to stydět?Holky miluje,ale kluka by proste ještě rad a na tom není nic zlého..proč se tu navzajem osočovat 😉
Ja na tom taky nevidím nic špatného, si přát to a nebo to pohlavi. Zdraví je samozřejmě nejdůležitější, ale hned jako druhou důležitou věc, jsem si přála chlapečka 😊 Tady na té fotce je to opravdu jasný chlapeček.
A ještě dodám, že každý ultrazvuk jsem se ještě kromě toho, aby byl samozřejmě zdravý, bala, aby mu famfulik neupadl 😀 Naštěstí neupadl 😀
Taky bych rekla jasny chlapecek. V tomto tydnu, pokud je takova to fotka, uz ma doktorka jasno 🙂
Když doktor v 16tt vidí na ultrazvuku na 100% kluka, tak my tady opravdu neuvidíme holcicku 😃 V dnešní době se málokdy spletou, to se stávalo před 25lety.. Jinak, ale touhu po holčičce naprosto chapu😉
@romi85 ahoj tak tohle je muj případ mam doma 3 holky nejmladší je 10 a ted cekame s manželem 4 a moc toužíme roky po klukovi v 15tt to vypadalo ze kluk to bylo radosti a ted mi stále říkají holku jsem z toho docela smutná a byla jsem za to odsouzena 🙄 jaka jsem matka ze mam byt rada a vděčná ze je decko zdravé ano to jsem ale touha je silnější tolik si přeji dát manželovi vytouženého syna
@adelaide131 to víte že může aspoň tedy muj případ tohle jsem viděla v 15tt a od té doby údajně opět holka ja bych si zase z celého srdce přála konečně syna ale neni nam dáno 😪





@adelaide131 mně to přijde jako kluk