Malý váček v 8. týdnu těhotenství: Je to problém?
Dobry den. 🙂 prosím nemá zde některá zkušenosti s malým váčkem? Jsme nyní 8tt , na ultrazvuku byla vidět srdeční akce. Plod velký 11mm a váček 14mm. Doktor říkal že to není vůbec dobře. Že by měl váček být 2x větší než nyní je... Dnes odběry HCG a za týden zase a prý se uvidí... Máte někdo podobné zkušenosti?
@lucahv já si právě nikdy ovu nepočítala ... Ono miminko je vidět, i srdeční akce je . Ale doktor mě straší protože gestacni váček je prý malý. Vůbec nevim co si o tom mám myslet... Teď čekám na ty hladiny HCG... Tak snad to bud v pořádku.
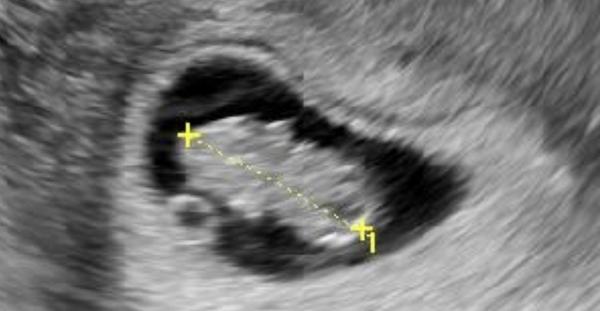
@jajajungmannova aha tak to nevím. Posílám pro představu jak vypadalo naše mimi v 8tt. Ta malá kulička je zloudkovy vak a velké mimco
@lucahv ano takto mám také ale ten velký váček jak tam máš ( ten obal miminka ) , tak já mám menší a Mimi tam nemá tolik prostoru ☹ tak snad se to zlepší a vše bude v pořádku 🙂
@jajajungmannova Snad to bude v poradku, pro porovnani, toto je moje v 7+4 (1 cm velke embryo, tj spis 7 +0).
@jajajungmannova Mohu se zeptat, jak jste dopadla s miminkem? Bylo to v pořádku? Moc děkuji 🙂
@zana_horakova bohužel v 9tt jsem samovolně potratila. Naštěstí vše odešlo samo a na čištění jsem nemusela. Nyní se stále snazime a pořád nic ☹



@jajajungmannova neměla si ovulaci později? To by pak vše vysvětlovalo. Pokud ne tak bohužel 8tt už je vidět pěkne miminko. Držím palce!