Je to holčička nebo chlapeček? Foto ultrazvuku
Ahoj maminky a budoucí maminky 😉 Prosím, poradila byste mi některá, co vidíte na fotce z ultrazvuku ve 20. týdnu za pohlaví? Určitě jste foteček viděly už mraky, proto vás žádám o radu...Nechci nikoho ovlivnit, proto svůj tip řeknu později 🙂 Děkuju moc!!!

nám řekli v 11+6 na 90% holčičku..přijde mi to nějak brzo, ale kdyby si doktorka nebyla jistá tak nám to snad neříká 🙂
ok, tak snad ano 🙂 věci co jsem měla růžové jsem prodala a nkoupila modré, tak s klukem počítám. jen sem se chtěla spíš ujistit.
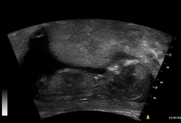
Rozhodně bych tipla děvčátko, to co vypadá jako ,,pindík,, je pupečník.. teda podle mě
asi před 2 měsíci jsem psala tady v diskuzi, že ve 13tt nám dr. na NT screeningu odhadoval pohlaví. Řekl, že si je téměř jistý, že je to holčička - a měl pravdu 🙂 Začínám věřit tomu, že zkušený dr. s dobrým UTZ přístrojem je schopný poznat pohlaví už takto brzo
Já u durhýho kloučka věděla pohlaví od 12+4 a bez nějakých pochybností. v 13+5 jsem si nechala dělat ultrazvuk a chlapák tam ležel s rukama za hlavou a vystrkoval na nás pindíka na celou obrazovku 🙂 přijde mi divný aby dr ani v 18 týdnu nebyl schopný říct pohlaví
Ahojky,taky jsem věděla už od 13.týdne,co to bude 😉
@ezenduska On pan dr asi špatně vidí 😀 😀 ,nebo prcek nespolupracuje 😀
Holky co byste si tiply? Holčička nebo chlapeček? Necháváme si překvápko, ale zvědavá samozřejmě jsem ;)
Ahoj, chtěla jsem taky holčičku, celou dobu jsem si to myslela, že to tak je a taky jsem koupila i něco růžového do výbavy. Pak mi řekli, že je to chlapeček a nejdříve jsem byla zklamaná, ale teď mu je rok a já jsem nadšená a šťastná, že ho mám. 😀 Teď jsme znovu těhotná a vůbec to už neřeším, je mi úplně jedno, co to bude. 😉
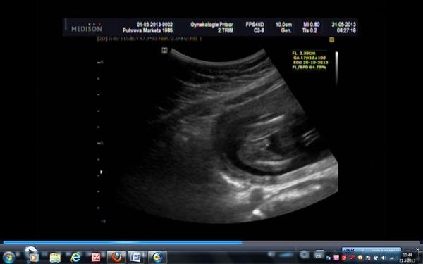
Ahoj holky, měla bych na vás dotaz.Byla jsem na 2.screeningu, kde nám doktor udělal i pohled zespod na mimi a říkal, že to je holčička, já se v tom rychle neuměla rozientovat a ani fotku nemám.O tu si řeknu ve středu, jak půjdu na poradnu.Mě jen fascinovalo, že jsem mezi nožkama nad pohlavím viděla bílé kolečko.Nevíte co to mohlo být?
Tak jen pro info - na původní fotce k tématu - je to kluk! 🙂 Zakladatelka
@nik123 PORADÍTE MI?? Holka nebo kluk???
@jajajajajaja my mame podobny obrazek a je z toho kluk 🙂 Otazka jestli je to to, co to ma byt, nebo pupecni snura 🙂
Holky včera jsem byla na ultrazvuku fotku nemám protože to bylo neplánovaně...měla jsem bolesti břicha tak jsme jeli na pohotovost...naštěstí je mimi oukej a jsem jen přistydlá...ale viděla jsem na ultrazvuku kávové zrno...nevíte zda to jsou spíš kluci nebo holky???
jinak jsem slyšela,že když je mimčo na pravé straně je to holka a když na levé straně tak je to kluk...co jsem zjištovala od kámošek tak to zatím vše takhle vychází....jak jste na tom vy??
@lubinkova já právě když jsem tady četla ty začátky této diskuze a holky dali fotky tak jsem tam ty kávová zrna taky viděla a mají chlapečky..dneska jsem 15+2 a doktorka řekla že tam výklenek je,ale že to ještě neznamená,že to to bude pindík...tak si holt budu muset ještě pár týdnu počkat 😖 jsem strašně nedočkavá už to chci vědět 😵
@antymania666 Dobrý den a co tahle fotečka, je to holka???







Podle mě prostě UTZ zkresluje a není třeba hned denulins děsit, že je to nějaká deformita. 😝 Pokud člověk není lékař, tak pozná prd a může se jenom dohadovat co to je. 🙄