icon

Co je na ultrazvukovém snímku? 😃

avatar
pafca4
25. dub 2017

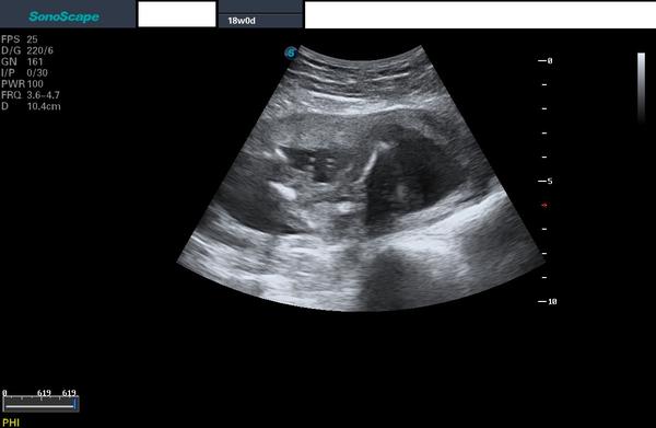
na flashku mi doktor v 18. týdnu těhotenství nahrál několik fotek z ultrazvuku a já nemůžu přijít na to, co je na téhle 😀 přijde mi to jen jako změť fleků. Co byste řekli, že to je? Nějaký detail?

Co je na ultrazvukovém snímku? 😃
avatar
petruuushkaaa
25. dub 2017

Ja bych rekla lezici miminko, vlevo hlavicka, to vyrazny rucicky, takovy to vroubkovany nahoru pupecnik a pak nozky 🙂

avatar
petruuushkaaa
25. dub 2017

Zkusila jsem to nacrtnout v mobilu, moc to nejde :D

avatar
absintka19
25. dub 2017

@pafca4
Jak rika @petruuushkaaa 🙂 presne, levo hlavicka, pak kousek doprava rucicka a pokrcena nozicka tvar ^ 🙂

avatar
absintka19
25. dub 2017

@petruuushkaaa
To je naaadherna, takto to namaloval i muj muz na muj utz 🙂

sticker
avatar
petruuushkaaa
25. dub 2017

@absintka19 no mne to malovani moc nejde 😂😂

avatar
pafca4
autor
25. dub 2017

já ještě myslela, jestli to není detail pohlaví, ale ani to se mi moc nezdálo, protože jsem tam nikde neviděla nohy 😀