Co znamená čárka na ultrazvuku? Prosím o radu
6. srp 2024
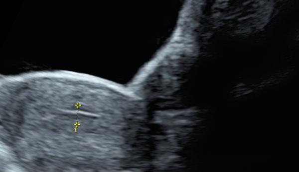
Víte prosím někdo co to je ta čárka? Díky


Delozni dutina?
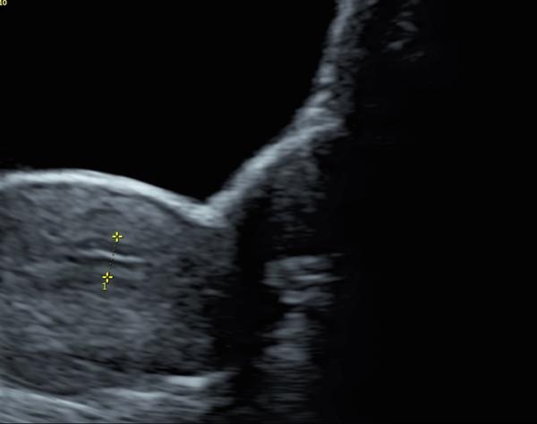
Víte prosím někdo co to je ta čárka? Díky


Delozni dutina?
Každý týden dostaneš nejdůležitější info do e-mailu
Zjisti víc o svém těhotenství: Těhotenství týden po týdnu. Neznáš týden těhotenství? Vypočítej si ho v Těhotenské kalkulačce.
Modrý koník ti poradí v každém trimestru.
Zjisti víc o prvním trimestru.
Zjisti víc o druhém trimestru.
Zjisti víc o třetím trimestru.
Jak se zjišťuje pohlaví dítěte?.
Důležitá jsou různá vyšetření v těhotenství.
Určitě tě nemine 3D ultrazvuk.
Nebo také screening v 1. trimestru.
Někdy se může objevit i streptokok v těhotenství.
Závažná pak je preeklampsie.

Jedná se o ultrazvuk dělohy, břicha to černé je močový měchýř zřejmě