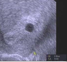
Foto z UTZ v 5. týdnu. Máte někdo?
@maminka2020 nemusí bejt, kamarádka měla bijící srdíčko skoro v 8tt, měla později ovulaci
@maminka2020 Ten první trimestr je spíše o čekání, v dubnu jsem měla SP a v červnu jsem zase otěhotněla
@jituli84 jak všude koukám na fotky,vidím ta takovou bublinku malinkou a já tam nemám vůbec nic.
Tak budu dál věřit,že se prcek ještě ukáže.Nebudu se zbytečně stresovat.Už at je pondělí...
@maminka2020 jj nestresujete se, ono co má být to bude, budu vám držet palce, to čekání je vždycky nekonečné 🙂
@jituli84 a na to že je to mé 7těhu(2potraty,4porody),ta je to celé vše jiné,komplikované.U dětí jsem byla těhotná hned,ted 15měsícu volný pruběh z toho 4měsíce snažení na plno(víc sexu)na bytě to moc nešlo kvůli dětem...Něco uháčkuju,ušiju at na to nemyslím 🙂
@maminka2020 mam stejnou fotku, bublinku jsem sice mela, ale malo viditelnou, skoro zadnou, taky jsem byla 6+1, srdicko jsem videla az za tyden a pul.
@maminka2020 z ty fotky je vidět, ze jde o ně moc kvalitní Uz 🙂 takže rozhodně klid 🙂 je ještě dost casu na to, aby bylo něco pořádně vidět 🙂
@adel_si děkuji,já jsem ted fakt dost vystresovaná i když se snažím moc na to nemyslet,bojím se..sice už 4děti mám,ale tohle bylo vymodlené nu.
@maminka2020 jj i to jde pochopit a přeji vám aby to dopadlo dobře, já si moc přeju abych donosila aspon to jedno konečně 🙂
@jituli84 určitě donosíte,držím všechny palečky co máme 🙂Snad ano,děkuji
@maminka2020 Tak já měla dva týdny zpět úplně stejný obrázek (prázdný gestační váček - 5. týden). Objednali mě moc brzy a dva týdny jsem se zbytečně stresovala. Min. týden jsem byla na kontrolním ultrazvuku a bylo tam krásně vidět i srdíčko. Prostě jsem měla ovulaci později. Držím pěsti, ať to dobře dopadne.
@pannda děkuji,věřím že se prcek ukáže,ale musím počítat i s horší variantou,ale to nějak neumím no .
@julinecka24 držím palce,já jdu zase v pondělí ale nejraději bych šla hned..










@maminka2020 Mám z 6+2