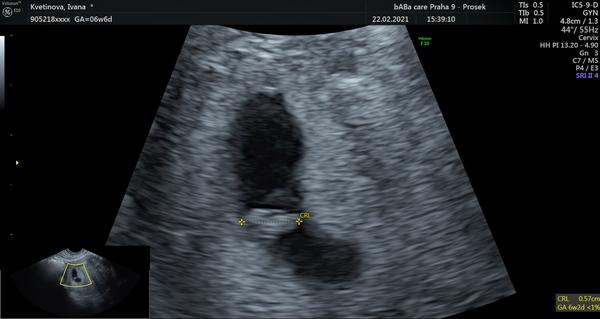
Návštěva gynekologa. Bude v 6+0 už srdíčko?
Ahoj holky, mám dotaz zítra jdu na první kontrolu v 6+0 myslíte, že už bude srdíčko?
Ja byla v 6+1 a na utz nebylo vůbec nic 😂 na utz za 2 týdny bylo vše jak má a krásně odpovídalo 👌
Tak koukám, že je to u všech hodně invidualni, děkuji všem za odpověď 🙂👍
Záleží, jestli je to opravdu 4 týdny od ovulace. Třeba když jsem byla dle ms 6+0, tak reálně jsem byla těhotná o 10 dní méně (pozdní ovulace). Nicméně 6+0 dle ovulace už tam srdíčko blikalo
Tak priste uz to bude 😊
U nas kolem toho 6tt taky jeste nic, ale me si prave pozvala hned tyden na to, aby se ty srdicka potvrdily a nastesti uz to bylo v poradku.


To je docela brzo... ja mela v 6+3 gestacni vacky a srdicka byly a bily az o tyden pozdeji.