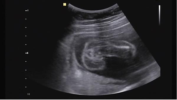
Je to holčička nebo chlapeček? Foto ultrazvuku
@kacenka1979 ahojky tak v pondeli potvrzeno že je to na 100% kluk jako buk 🙂
🙂))))) hurá tak gratulace velikááááááááááááááááááááááááááááááááááááááááááááááááááááááááááááááááááááááááááááááááááááááááááááááááááááááááááááááááááááááááááááááááááááááááááááááááááááááááááááááááááááááááááááááááááááááááááááááááááááááááááááááááááááááááááááááááááááááááááááááááááááááááááááááááááááááááááááááááááááááááááááááááááááááááááááááááááááááááááááááááááááááááááááááááááááááááááá 😀
@ivca_ch kluk...je to jak u nás...
@ujuuju takže vlastně páreček holka kluk ...no já už mám skoro 5 měsíců odrozeno 🙂 a byl to kluk taky se coural šel vyvolávaně přesně v 42+0 prevít malej...
@kacenka1979 tak to je super uz bych to taky chtela mít za sebou ještě dlouhá cesta (4 měsíce) a co prdíky trpíte na ně ?
@kacenka1979 Fakt? Máte stejnou fotku?! 😀
já si myslím že holčička 🙂 je tam kávové zrno 🙂
teda chlapeček 🙂 tohle jsem psala jinam 🙂
@ujuuju ted už měsíc dobrý ale první 3 měsíce peklo...kluci na ně trpí dost 🙂 oni ty 4 měsíce utečou neboj 😝
@ivca_ch tak podobnou 🙂...dle mě je jedno jestli kluk nebo holka🙂 stejně to jsou dohady zrovna kamarádce řekli že kluk v 19tt pak se to už neřešilo a mají doma 3týdení holku prý se jich ptali jestli jí chtěj po porodu páč oba koukali jak puci🙂 a nakonec jsou štastný uplně stejně
holky mě řekli v brně na prenatálu v 13+1 tt že si mam přežehlit růžové tak sem zvědavá jestli měl pan doktor Vlašín pravdu jedeme ještě v dubnu v 21 tt tak uvidím... 😉
@kacenka1979 ten je roztomilej ,brouček malej .-)
to máte pravdu.... hlavně aby už bylo to Brno za námi a mi věděli na 100% co to bude 🙂 at víme jak se zařídit a pak už jen čekat 😉
@whatty tak tomu bych věřila je prý skoro neomylný....
právě to "skoro" ale uvidíme v dubnu to by to mělo být už jisté.... 😵
ano pan Vlašín v Brně 🙂 ale jsme rádi že změnil pohlaví pač dračici už máme doma 🙂








Dobré ráno, tak se taky přidávám se svou troškou do mlýna - co myslíte, holčička nebo chlapeček? 😀