Čekáme dvojčata
Ahoj holky, protože jsem tu nikde na českém koníkovi nenašla podobnou diskuzi, rozhodla jsem se jí založit sama. Doufám, že jsem špatně nehledala 🙂
Jinak já jsem po 1. IVF, už 7. den od ET jsem měla //, minulý týden na UTZ potvrzeny dvě bublinky, dneska jsem 5tt+4 a už se do ničeho nevejdu - mám dojem, že s dvojčátkama bude všechno mnohem intenzivnější a rychlejší 😀
Tak jestli máte nějaká také stejné pocity a jste na stejné lodi, budu ráda, když se přidáte do téhle diskuze, mám spoustu otázek
zatím zdravím, páček 😉 😎 😀
@chrobacek Cauda!!! Ja po vitaminech blila jak sakal!!! 😀
taky dlabu vitamínky, kor když jsou v tom bříšku dva, ale hlavně jsem vypozorovala, že kdy jsem je nejedla, byla jsem unavená
teď dojídám Calibrum, ale chystám se na GS Mamavit, ty mi vyhovovaly víc 😉
Devcata nasla jsem tu na bazarku neco uzasneho!!! Skoda, ze uz to nepotrebujem!!!!
https://www.modrykonik.cz/bazar/detska-kosmetik...
Ahoj mamči,
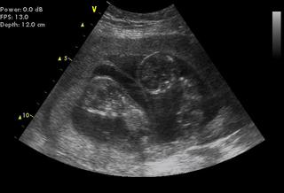
Tak hlásím screening NEGATIVNÍ ufff 🙂 mimča maj A 69,3 a B 70,00mm odpovídaj 13+2tt,srdíčka krásně tloukla, kůstka přítomná, projasnění 1,60 a 1,50mm, takže celkem výsledek negativní ale prej komplet výsledky se dají říct až s odběrem krve ve 2. trimestru... takže jsem už objednaná na 21.10. na krev a pak na konzultaci se všemi výsledky...
ale pláču 😢 zase nemám fotku v tom " blbým" Gennetu, fotky vydávaj sestry na recepci, kde si z počítače vyberu kterou chci, což by bylo super, kdyby mě tam našly...zkoušela tam zadávat jména, rč a prostě já jim tam neexistuju, přesto, že doktorka to tam prej zadávala normálně a i zprávu mi dala normálně s mojím jménem... a to by byla tak krásná fotka, bobánci tam seděli jak v autobusu úplně stejně za sebou, no hrozná prča, byli tam jak přes kopírák hlavičkama nahoru ručičky před sebou 🙂 manžel mě uklidnoval, že to není tragédie, to já vím ale oni byli tak kouzelní...
jo a vypadá to na 2 kluky ale taky to není 100% je ještě brzo
@chrobacek + @mikii Jen vám do toho vlezu ohledně vitamínů. Nemyslím, že by bylo nějak nutné jíst vitamíny v tabletách. Mně je nikdo v těhotenství ani nedoporučoval, ani nenapsal, a tak jsem žádné nebrala a všechno bylo v naprostém pořádku, těhotenství, já i kluci 🙂 . Vitamíny, které dostanete v jídle, dle mého bohatě stačí, do pilulek bych se nehnala 😉.
@monika.tdm 😀 😀 😀 tak já naštěstí od začátku nemám žádné problémy 😀
@monstri gratuluju k výsledkům 😵 😵 😵 Mě to čeká za 3 týdny... A nad fotkou nesmutni, je to jen obrázek, pár měsíců a budeš je mít in natura 😀
K vitamínům: můj názor je, že co doktor, to jiný názor 🙂 Mně doktor v CARu kladl na srdce, že důležitá je kyselina listová a pokud ženská jí normální pestrou stravu (mléčné výrobky, celozrnné, zeleninu, ovoce, maso...) - což si myslím, že já jím - tak není potřeba do sebe ládovat něco v tabletkové podobě. Ani kvůli dvojčatům není prý potřeba se cpát vitamíny. Což je názor, který je mi dost blízký. Prý jediné co mi možná doplní v tabletách bude železo, kor u dvojčat, jinak že prý opravdu není v normálním případě nic jiného potřeba.
Dnes jsem byla u svého gynekologa a ani on mi vitamíny v tabletové podobě nedoporučil.
Osobně mám k různým "komplexům" a multivitaminům nedůvěru, zaměřila bych se spíše na to, co mému tělu opravdu prokazatelně chybí (to se dá přece zjistit z krve) a pokud něco chybí, pak samozřejmě tabletama doplnit - než polykat něco preventivně 🙂
@emtu jasně věc názoru 🙂, ale jak říkám vyčetla jsem to nějakých stránkách o dvojčatech a ještě mi to doporučila moje dr. a je fakt, že já ted osobně moc zelenině nedám a popravdě ani ovoci .... opravdu v těhu se mi to nějak otočilo a nemám na to vůbec chuť, navíc z jídla nevstřebávám listovku
@monstri krásné zprávy !!! gratuluju
K tem vitaminum - prvni trimestr jsem brala kyselinu listovou, nic vic. Ve druhem trimestru mi nejaky komplex vitaminu doporucila doktorka - ze dvojcata nelze spravne vyzivovat ze stravy, i pestre. No snedla jsem jich za ty tri mesice tak 30🙂, ja porad zapominam. Ted jsem prestala, beru uz jen magnezium na krece a tvrdnuti bricha. Je to vec nazoru a opravdu co doktorka, to jine doporuceni. Snazim je jist denne trochu zeleniny, nejake ovoce a mlecne vyrobky. Ja doufam, ze to staci.
Ahoj holky jste se nějak rozpovídaly, takže gratuluji frodo k miminkám a monstri ke kontrole. Máte krásná bříška, koukám že je máme všichni dopředu do špičky. Já mám teda pěkně hnusný břicho. Popraskalo mi už v prvním těhu a teď praská vesele dál.
Ke kombinézkám, já budu kupovat 56 a malou dám do fusaku. Mě se o malé osvědčilo mít ji v kombinézce a pod tím jenom lehčí dupačky a tak, že nemusí být navlečená do svetrů ap. Když pak jste třeba někde v nákupním centru tak jenom rozepnete fusak a kombinézku. S velikostma to mám tak, že mám pár (max 10 kousků mix) velikosti na nedonošence a potom od 56. Oni do toho dorostou. S počtem bodyček a overálků, ty jsme využily maximálně, ale moc bych jich do začátku nekupovala, pak se dají dokoupit vždy. Můžeš mít "blinkající" děti a to jich budeš potřebovat dost a nebo můžeš mít dítka v pohodě a nebudeš jich potřebovat tolik. Super jsou body a overalky z teska, super cena a i dobrá kvalita.
No a vitamíny, já jsem brala listovku, když jsem se snažila otěhotnět, na 12 týdnu jsem ji vysadila. Vitamíny mi nebyly doporučeny doktorem, řekl mi, že se po nich rodí větší děti a tím pádem se tím může způsobit předčasný porod. Že jsou děti větší a mají míň místa tak se na svět derou dřív. Je to opravdu názor doktora od doktora. Já osobně jsem ráda, že je brát nemusím. Nemám tady ty věci ráda, radši se snažím mít pestrou stravu a ne se ládovat chemií.
Ještě přidám dotaz já? Jaké si kupujete plíny? Jako velikost, chtěla jsem si už koupit do porodky a nevím jesti mám koupit normální od 4 kg a nebo ty nedonošenecký od 2 kg (dělají je pampers a haggis myslím).
holky, já jím akorát kyselinu listovou a jodid... dok. mě taky nutila k vitamínům, ale nechtěla jsem... a dětičky jsou zdravý jak řípy, veliký akorát, nic jim nechybí. Ale je pravda, že v prvním trimestru jsem měla žravou hlavně na ovoce a zeleninu, takže míma asi měly všechno, co potřebovaly 🙂
@monika.tdm jéé 🙂 když nám by se to nevešlo domů ☹ ale ta barvička je suprová
jo a ještě vlastně chřoupu vápník v tabletkách, jelikož se bojím, aby se mi neodvápnily kosti... Když jsem si přečetla, kolik mg vápníku bych při dvojčatech denně měla sníst, odpovídá to asi 1 kg jogurtu + nějakej ďobec sýra 😀
broukb,betina-holciny ahooj,jak se vam dari?uz vite kdy budete mit cisare?nebo broucek se rozhodla jit do prirozeneho porodu?moc na vas v nemocnici vzpominam.doufam,ze mi zitra na velke vizite reknou kdy pristi tyden to propukne.pisu z mobilu,tak aspon ted budu s vami trochu ve spojeni.zatim papa
Holky,
tak v Gennetu asi viděli ten můj zoufalej výraz, že nemám obrázek, tak hledali a hledali až našli 😀 a před chvilkou mi přišel fotka mailem,nevybrala sice nejhezčí ale aspoň něco… 😉
@annamat9 my budeme kupovat pampers premium care č.1 - asi dva balíky (pak se uvidí): http://www.mimi-klub.cz/produkty/nabidka-mesice...
no a potom už máme nějaké Pampersky č.2 - po ségře a manža už pár dalších taky koupil. Pak jsme ještě po kámošce podělili pár Huggies, tak uvidíme
@monstri jé monstri, ti jsou tam krásně srovnaní 🙂 Ale jsou hodní, že ti to takhle pošlou. Moje dok. by se na mě vyprďánkovala 😖
holky, k těm plínkám. Chcete některá používat látkovky? Já jo, už mám i nějaké koupené, jsou krásně barevňoučké 😵 Podle propočtů by to mělo vyjít o dost levněji a je to ekologičtější. Jen budeme imrvére bydlet se sušákem na prádlo 🙄
Ahoj holky, takjsem zpátky z kontroly. Čípek se nezkracuje, jen ho mám prosáklý, takže mám co nejvíc odpočívat, polehávat, no prostě to co dělám ted. Jenže tenhle poslední týden kdy jsme skoro všichni lehli s virozou včetně babičky byl pro mě dost náročnej, právě proto, že babička nemohla být s Martínkem a tím mi výrazně ulehčit. Doufám, že od příštího týdne už bude fit a budu se moct na její pomoct spolehnout.
Bavili jsme se o případném stehu na čípku, kdyby se rapidně zkrátil, prý se to může dělat i kolem 30 tt, tak nevím 😕
Dostala jsem léky na křečové žíly mezi 😀 tak snad pomůžou. Ty jo, fakt si to druhé a navíc dvojčecí těhu užívám 🙄
Za 14 dní opět na kontrolu, jestli se nález nezměnil a zároven ten den na test na cukr, no už se fakt těšim 😒
@monstri krásní bobískové 😉
@kathy.skal do látkovek nejdu, na to nemám čas. Už takhle jsem zvědavá kolik času mi zbyde pro Martínka ☹
@annamat9 já si chci nakoupit ty huggies newborn a někdo tu dával odkaz na Happy ty úplně majinkatý 😉


holky já jsem teda dostala doporučené vitamíny hned od začátku a i někde jsem to předtím vyčetla, že prostě pro ty dvě děti to z jídla nestačí ty vitamíny, že je lepší je doplnit