Co si myslíte, že čekáme? Je to holčička nebo chlapeček?
Ahoj maminky,
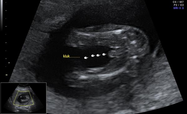
chtěla bych se s vámi poradit, co si myslíte, že čekáme 🙂, určitě máte některé zkušenější oko než my a jelikož jsme od doktorů slyšely obě varianty, ráda se poradím i s vámi, určitě jste takových obrázků už viděly spoustu 🙂. Přikládám foto z UTZ ve 20.týdnu. Moc děkuji!
Tak ja se v tehle fotce absolutne neorientuju🙂🙂
Taky vidim holcicku
Holky moc děkuji za reakce 🙂. Mně se to také spíše zdá jako holčička, pan doktor nám ale právě během této kontroly řekl, že tam vidí spíše kluka, což mě dost překvapilo 😃. Je mi jasné, že jistotu budeme mít až po porodu, ale spíš jsme prostě zvědaví 🙂.
Mně to zase přijde víc jako kluk, vpravo je tam něco jako pytlík vedle toho kávového zrna... No těžko říci 😀
U fotky ze spodu to.jde poznat asi lépe než ze předu. Hold si budu muset počkat do 2. screeningu 😐








Holčička😊 krásná buchta tam je