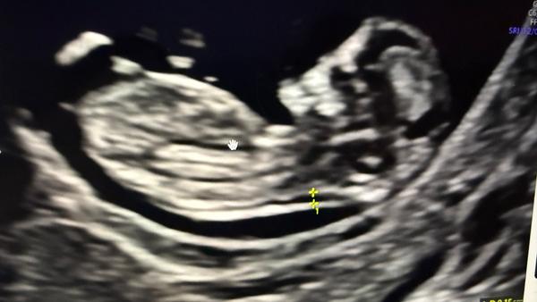
Může někdo určit pohlaví podle ultrazvuku ve 13+3 týdnu?
@1pomnenka jsem právě teď 16tt. Byla jsem u své doktorky a ta řekla že neví.Ze to spíše vidí na kluka. Právě na screeningu nám řekli že si myslí holku. Samozřejmě ne na 100%. Tak si musím počkat měsíc na další kontrolu. Mám doma dva kluky tak by jsme chtěli tu princeznu. Uvidíme no hlavně že je vše v pořádku
@hollynka těžko říct, jestli to co je vidět je pohlavní hrbolek, tak je to holčička. Já si podle něj sama určila tenkrát dceru 😁teď jsem to věděla z NIPT. Jsou lékaři, co se trefí už ve 13 tt, co to umí. A pak jsou i lékaři, kteří i kolem 20 tt vahaji.
@1pomnenka je tez znám, určil mi ve 13-14 tt dvě děti a bez váhání. Tenkrat býval vyhlášena kapacita a plno žen k němu jezdilo v tomto týdnu na určení pohlaví.
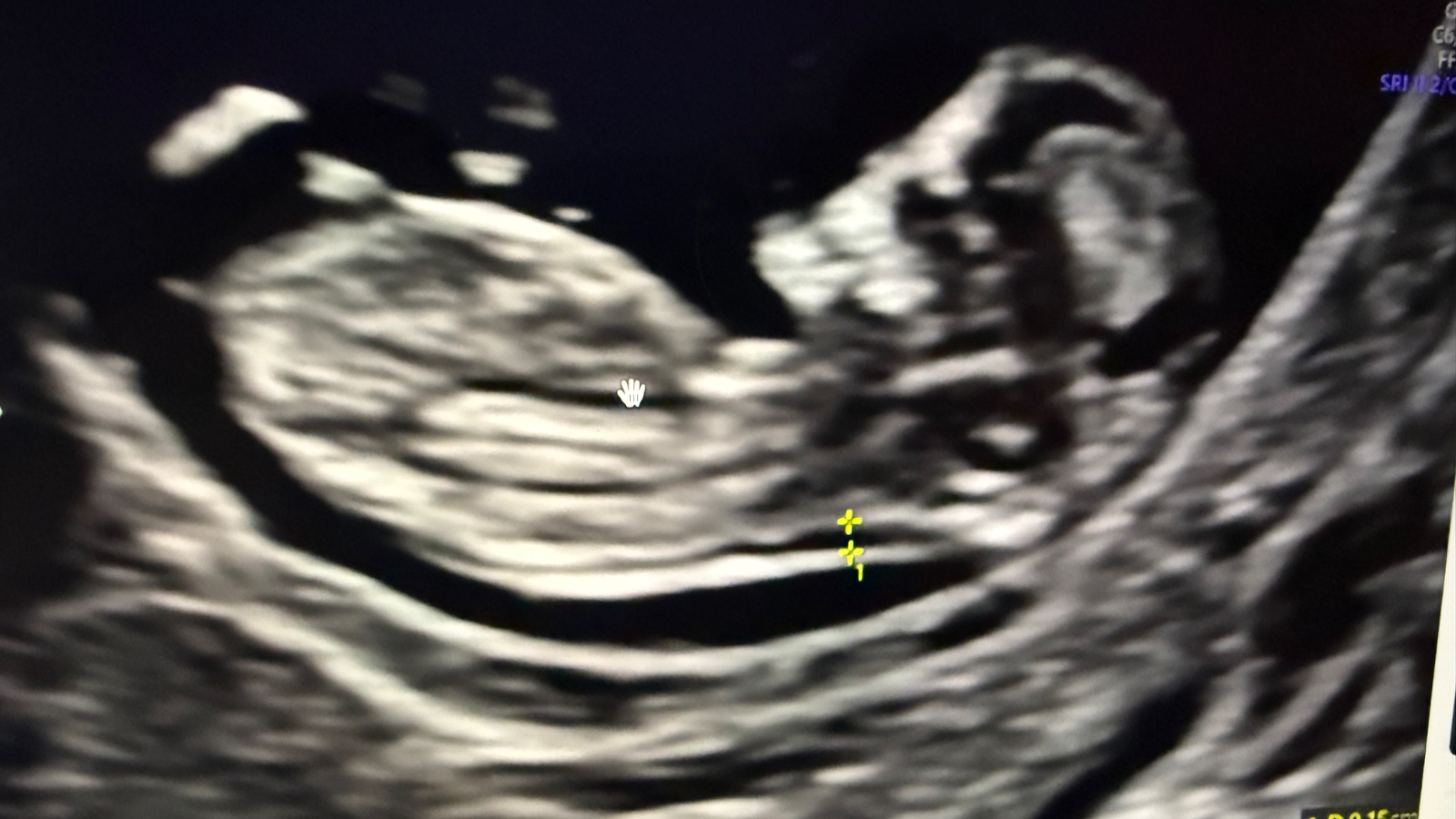
Mě přijde, ze holka.
Nám dr v lednu rekla na 100%, ze holka... bylo to ve 14tt na 1.screeningu... mela fakt dobrý UZ. Ve 21tt to napsala do papírů z 2.screeningu.
Prosím co by jste řekli u mě? 😁
@ovesova taky bych řekla, ze holka... vypadá to stejně jako z naseho UZ ve 14tt 😃
@markeetaaa24 kluk. To pod pupečníkem trčí nahoru 😉
@hollynka zdravím,nám tvrdili furt že to je holka a pak asi v 6-7 mesici se z toho nakonec vyklubal kluk😀 takze rikam dokud člověk neporodí neni si ničím jistý!😀













@hollynka myslim si, ze holka 🤗