Zamlklý potrat, jak se z nás stávají těhulky a maminky II
Holky vítám Vás v novém tématku 🙂
Snad v tomto tématku najdu všichni štěstíčko a budeme nadále dobrá partička 😵
Doufám,že tu bude zas hodně těhulek jako v předešlém tématu.Samozřejmě nesmíme zapomenout i na snažilky a nově přicházející dušičky.
Všem držím palečky aby brzy zahlásily // a těhulky pokračovaly tak jak mají 😵
Tak prcek už zase spí, v rychlosti nakukuju a pak půjdu něco dělat. přišel Lukymu objednanej novej koberec do pokojíčku, tak to chci udělat nějak jinak, aby to tam měl pěkný. Teď jsou tu dvě válendy, aby měli kde přespat mí rodiče, když přijedou, a mě tohle uspořádání maximálně nevyhovuje 😝 šoupla bych je někam jinam. Mám ještě jednu místnost,která v budoucnu bude ložnice, teď se mi tam nevejde postýlka, tak je tam jen vestavná skříň, a manža se tam převlíká,m má tam jak říkám svůj butik 😀 holky víc hadrů než kterákoli z vás, a všechno na hromadě, já už jsem vzdala mu to přebírat, akceptuju pouze špínu na praní v koupelně v koši. Tak bych ty válendy nejradši šoupla tam a ten jeho binec mu zlikvidovala, jenže za pár dní budou válendy zandaný jeho hadrama a moje práce bude zase vniveč. Tak nevím, jestli se do toho mám vůbec pustit... a mám hlad, od rána jsem nestihla nic sníst, malej se poprvé blbě vzbudil tak byl ukňouranej a musela jsem mu bejt pořád za zadkem😀 No tak jsem se zas vykecala a jdu něco dělat.
@sarlotta já ti nevím, která to byla, jedna z nic určitě, já u dr nebyla, jen jsem volala známý doktorce jestli s ním musím do ordinace,když vlastně už je v pohodě... ptala se jen na příznaky, ale jestli je to pátá nebo šestá neříkala. Pátou mi řekla švagrová, prej to měla její malá taky. Tak bůhví co to měl😀
@mirax a co budeš podnikat teď? Zase věci pro dětičky, nebo něco jinýho? 😉
@majjka24 mě se taky motala hlava na začátku těhu 😉 a test jedině mamatest, ale to teda už ti nepovím tu citlivost...
jooooooooo a ještě bych zapomněla na berušku @maendy 😉 koukejte se snažit, za chvíli jsi v tom a bude miminkoooo většinou to po tý laparce jde dobře. Myslím jedna známá měla to samý co ty, dlouho jim to nešlo, po roce a něco laparka, odstranění endometriozy a šup, do měsíce byla těhu a za pár týdnů bude rodit 🙂 Tak přeju ať je to u vás taky natošup 🙂
Tak a jdu honem si udělat něco k jídlu nebo zhebnu. A taky stahuju Kukyho, tak pak budem s Lukym koukat 🙂
Tak to si musím taky stáhnout, dobrý nápad🙂)) malý ho má 😉 a chrupe s ním.. sme sbírali nálepky z flašek 😀
No a my spinkali druhou 30ti minutovku na chodbě, takže si dem hrát a pak půjdem pro prcka do školky 😉
@tercie...terci, budu mít omezenější sortiment a hlavně dovážet z Anglie, abych měla vyšší marži a taky mít vše skldem, ať pořád nemusím objednávat a tratit z apoštovné a pořád lítat pro balíky jak pakoš...
stránky ještě nemám naplněné (jen částečně), grafika taky není celá hotová, al emůžeš mrknout na polotovar (do týdne stránky spustím)
www.capacek.cz
@tercie děkuju za pěkné slova,po nich jsem ještě víc optimistická... 😉
Už o tom s přítulou mluvíme jako bych už skoro mimčo čekala....jen me napadla myšlenka aby to zase nebylo jen plánování a ono nic.....ale vyhnala jsem to hned z hlavy.... 😀
@katyna6.....super volba....na Zlín nedám dopustit..... 🙂takže tfuj tfuj 😉
Dneska me probudilo sluníčko,bricho už žloutne a zelená,ještě krvácím ale ta chut na meho miláčka se tak stupnuje že už se nemužu dočkat až na sebe hupsneme..... 😀 😀 😀
Nemyslím hned na snaženíčko,ale na milováníčko......a tak bych chtela aby to zustalo......a pak //
Ahoj,
@mirax, Mareček byl také vymodlené dítko.....i když tam stačila jen stimulace hormony a dát výpověď v práci...a po letech snažení to bylo raz dva 🙂 .
@tercie Tercíku, stav Máry ťukám a raději nic neříkám....teď má nějakou imunoléčbu, zatím to testují na těch hodně oslabených dětech, co mají kromě imunity ještě i další slabší orgány...jako plíce atd. Tak snad to bude lepší a bude moct na jaře do školky....hodně by mu to pomohlo....chybí mu děti ☹ .
Jak jsi psala, že máte doma suchý vzduch....tak z toho krbu to musí být opravdu pro malého na sliznice suché...určitě budeš spokojená, ten zvlhčovač je fakt dobrý. Mě to také pomohlo, pořád jsem měla štípání v nose a teď nic...
Tak malý je vzhůru, dneska jsem doma...tak pozvu sousedku na kávu.....
Vroninka...............chlapeček Petr
Bobinka................chlapeček Vojtíšek
Kupinka................chlapeček Matyášek
Murynka................holčička Sofinka..................... nar. 2.11.2009
Kelly.......................holčička Kristýnka
Lucierob................holčička Anička
Kagatkaga............holčička Vanessa
Martina76.............chlapeček Mikuláš
Jitie........................chlapeček Filípek
Venuska................holčička Natálka
Amynka ................chlapeček Gabriel
Kerrie.....................holčička Ema
Květinka.............................chlapeček Adámek
Samsa ..............................holčička Sabinka .........................2800g, 49cm
Mirax.....................................holčička Alžbětka .........................3320g, 51cm
Wergina ..............................holčička Sofie ...............................3500g,51cm
Martinkal...............................holčička Lucinka ............................4240,54cm
Aronek...................................chlapeček Honzík .........................3600g,50cm
Mabe......................................holčička Anička ...............................3560,49cm
Markytaj..................................chlapeček Honzík.............................
Tercie ....................................chlapeček Lukášek ........................nar. 14.4. 3450g, 48cm
Wlladka..................................chlapeček Šimonek....................... nar.29.5.... 990g (29tt+2)...21.7. váha 1960g, 44cm
Flair .........................................holčička Melisa ...............................nar. 7.6.....3960g ,51cm
Sarlotta ...................................holčička Šarlotka, ...........................nar. 23.7.,... 3600g, 48cm
Petroska ...............................chlapeček Filípek ............................nar.3.8...1900g (35tt), 43 cm
Hanana...................................chlapeček Oliver .............................nar.13.8. 3290g
Mari...........................................holčička Laurinka ..........................nar. 29.8. 3600g ,50cm
ee.liska....................................chlapeček Matyáš ..........................nar. 1.9. 2950g, 46cm
Handm .....................................chlapeček Mareček .......................nar.14.9. 3890g, 53cm
miru.j..........................................holčička Vivien Viktoria ..................nar.14.9. 3450g,50cm
Sirella........................................holčička Verunka ............................nar.21.9. 3600g,53 cm
kytiii............................................holčička Eliška ................................nar.25.9. 2960g, 48cm
Kopa..........................................chlapeček Vítek................................nar.20.10.3900g, 51cm
Zlababa ....................................chlapeček Michal ............................nar. 13.11. 3170g 50cm
Maarrtina ..................................holčička Adélka.......... ....................nar.16.11. , 4300g 53cm
veve.b........................................chlapeček Ondrášek .....................nar.13.12, 3910g a 51 cm
Paajaa ......................................chlapeček Oliver ............................nar. 17.12, 2880g a 49cm
Farmarska 33tt.........................KO ................................................čeká chlapečka......Michal
Ikopretinka 23tt ........................KO .
cajori17......................7 tt, KO 17.1.
nicollka.......................6tt
Madormi.................. .. 7 tt
Aja............................. 31.12. našla // , 6tt+2
M.aa.b ...................... .45 DC
majjka24 ...................27 DC
Ivomal......................... 21 DC
Katyna ........................ 19DC
Natalie77 ......................14DC
Martasek ................ . 12DC
nikissek28.................12DC
lenik_25................... ..8DC
maendy................ ...zákaz těhulkování,laparoskopie 5.1.11
ahojte holky nestíhám dočítat, jen sjem hodila tabulku tk snad je ok, jdu se najíst, teď jsem přišla z kontroly a máme srdíčko 😀 😀 tak snad už bude vše ok, ale zarazil mľ mudra chce mě vidět až 22.2. to mi přijde straŠně pozdě to nevydržím 😒
jo jinak dnes jsem poprvé objímala mísu záchodovou 🙂
ahoj holky 🙂
jen jsem se přišla nahlásit 😉 a taky hlásím, že se mi bacilák nevyhnul, ale usadil se u mne 🙄 Není to nic tragického, teploty naštěstí nemám, ale chrchlám, bolí mne naprsou a mé průdušky vydávají při dýchání ošklivé hvizdy 😝 Taky jsem utahaná, třeba jen zvednout ruku 😝 takže manža nejen, že dělá ještě na té ložnici, ale u toho ještě nakupuje, vaří, atd.. 😅 a já to pěkně řídím z pelechu 😎 😉 Snad ho to brzy neomrzí 😅 Jen mne štve, že jsem po malování chtěla vyprat, pořádně vydrbat koberec a pokud se nedám dokupy, tak to asi nezvládnu a bojím, že to manža odflinkne 😠
Jo a Robča je už druhej den u babičky a po dobu přestavby a mé nemoci (abychom si to zase nepředali) tam asi ještě bude, ale můžu říct, že i když spolu denně mluvíme po telefonu a vím, že se má dobře (babička mu podstrojuje a do školy to má od ní 5minut) tak se mi po něm už pěkně stejská 😢 Je to děsnej nezvyk, když tu nikdo neprudí 😅 😖 😢
Jo holky myslíte, že můžu třeba stodal, na ten kašel? 😕 Zatím se léčím lipovo-šípkovým čajem, medem, citronama, vitamínama, jitrocelovým sirupem, echinaceou, vincentkou a propolisovým sprejem, ale teda zatím nif moc učinek 😕
Jdu vás dočíst a pak poprosit manžu, slíbil mi, že mi udělá pařížskou šlehačku..děsně mě honí mlsná 😅
a pak asi okoukneme nějakej ten staženej filmeček 😉 Kuký to nebude, toho už jsme stáhli a očíhli dříve 😉
ahoj holky,v rychlosti nacumuju.
natalie77 drzim ti palecky 🙂
😉
@madormi gratuluji k srdicku 🙂
@maendy jsem rada,ze jsi tak optimisticka,urcite to brzy vyjde,jsi moc statecna 🙂
Farmi,bacilak jeden hnusnej,snad to bude brzy dobry...
holky jinak ja mam strasnej strach,vite jak jsem mela ty sileny nevolnosti a bolesti prsou?tak vcera jako kdyz utne,zadne tehu priznaky,proste vymizeli a ja uz silim.na kontrolu jdu v pondeli ale do te doby se asi zblaznim.mam strasny strach 😔
Jen v rychlosti, jdeme koupat, ale holky ten Kuky teda nic moc, taková kravina, myslela jsem,že to bude vtipnější. Je to spíš pro děti. Ještě jsem stáhla Valkýru, na to se těším, to zkouknem s manžou večer. A taky bych ráda nějakej tip na fajn filmek 😉 chci něco natahat než mi stáhnou rychlost netu..
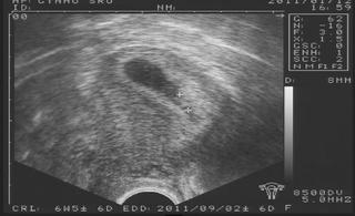
furt kukám na fotečku, tak jsem tam vyčetla, že dle utz to je 6tt+5 takže o 3 dny starší než počítal mudra 🙂
avoj holky, du se nahlásit a koukam že du akorát, Madormi krásnej flíček 😵 😵 😵 gratuluju 🙂
Mne Laurinka tři noci moc nespala, furt si "papá" ručičky asi ji už pěkně bolej dásně občas je taková nevrlá ale teď dve noci už hajala hezky jen dneska už je zas nervózní. Dneska hlídala babička s tetou a ja jsem musela do Ústi vyřizovat zas papíri, no děs, jsem z toho KO než jsme to našli, furt to stěhujou. No bylo mi za ní takl smutno až se mi chtělo brečet, jeli sme v 10:30 a vrátili se v 19:00 ach jo, celej den sem jí nevyděla. Jinak prej byla hodná jen nechtěla papat tak jí to babička dávala na třikrát 😒 no ale zvládli to


@natalie77 Držím palečky 🙂
@majjka24 Já bych si nový nekupovala, mamatest 10 je náhodou moc dobrý. Ukáže ti těhotenství třeba už 10 DPO, teda mě v srpnu ukázal. Ale on je hodně citlivý i ten mamatest 25, taky je schopný to ukázat i tři dny před MS. A co? Máš podezření, že jsi těhulka?
@mirax Souhlas, Best 2 jsou šílený šmejdy!